You are here

ОГК. Полости в лёгких.

Пол пациента: 
Тип патологии: 
Методы исследования: 

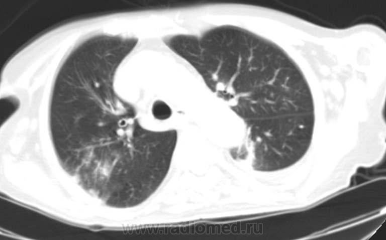
Прошу коллег высказать мнение о возможном генезе полостей в легких (туберкулезные? другие?). Б-я, 80 лет. Состояние тяжелое. Доставлена по 03. КТ,  рентгенограмма ОГК представлены. Жду Вашей помощи. С уважением Nik

             

  • https://radiomed.ru/sites/default/files/styles/case_slider_image/public/user/7898/0041427b.png?itok=fqho6PO5
  • https://radiomed.ru/sites/default/files/styles/case_slider_image/public/user/7898/0041f233.png?itok=ZXF76AAZ
  • https://radiomed.ru/sites/default/files/styles/case_slider_image/public/user/7898/0042fc60.png?itok=BPzn5J3T
  • https://radiomed.ru/sites/default/files/styles/case_slider_image/public/user/7898/00438e20.png?itok=sWPg8u7Y
  • https://radiomed.ru/sites/default/files/styles/case_slider_image/public/user/7898/0043f094.png?itok=EoSUS53F
  • https://radiomed.ru/sites/default/files/styles/case_slider_image/public/user/7898/0044b73f.png?itok=LOEmDD47
  • https://radiomed.ru/sites/default/files/styles/case_slider_image/public/user/7898/00444ef0.png?itok=MDc4Pd2B
  • https://radiomed.ru/sites/default/files/styles/case_slider_image/public/user/7898/00453b44.png?itok=uClVny7l
  • https://radiomed.ru/sites/default/files/styles/case_slider_image/public/user/7898/00455e8b.png?itok=YCXjoRgu
  • https://radiomed.ru/sites/default/files/styles/case_slider_image/public/user/7898/0058e60e.jpg?itok=0aYn_VdY
  • https://radiomed.ru/sites/default/files/styles/case_slider_image/public/user/7898/0059221d.jpg?itok=P0R-PbrV
  • https://radiomed.ru/sites/default/files/styles/case_slider_image/public/user/7898/00596679.jpg?itok=ZDLbK069
  • https://radiomed.ru/sites/default/files/styles/case_slider_image/public/user/7898/0059d34c.jpg?itok=54SWQk2Q
  • https://radiomed.ru/sites/default/files/styles/case_slider_image/public/user/7898/00599c7d.jpg?itok=EDz30ffQ
  • https://radiomed.ru/sites/default/files/styles/case_slider_image/public/user/7898/005a0f7b.jpg?itok=2QvgJ9LK
  • https://radiomed.ru/sites/default/files/styles/case_slider_image/public/user/7898/005a5ca1.jpg?itok=XpBP7Zoy
  • https://radiomed.ru/sites/default/files/styles/case_slider_image/public/user/7898/005a946a.jpg?itok=xJcG9GNB
  • https://radiomed.ru/sites/default/files/styles/case_slider_image/public/user/7898/00590761.jpg?itok=3VHsB71M
ID:21199
ЛГ's picture
Offline
Last seen: 9 years 4 months ago
Joined: 06.01.2010 - 12:31
Posts: 3523

Нужны сканы верхних отделов, мягкотканные изображения по средостению и сканы контрастирования для исключения ТЭЛА. 

И клиника.

И.Бондаренко's picture
Offline
Last seen: 2 days 18 hours ago
Joined: 13.09.2011 - 22:55
Posts: 9214

Мне кажется, что здесь ТЭЛА. Но не большой специалист. Есь ли сердечные проблемы, хотя в таком возрасте должны быть. Варикоз на ногах?

Nikolas's picture
Offline
Last seen: 2 months 1 week ago
Joined: 21.12.2010 - 20:37
Posts: 4560

не имею. Спасибо за вопрос коллега И.Бондаренко. Сканы верхних отделов и другой режим, ув. Людмила Григорьевна, представлю обязательно, но не сейчас. С уважением Nik.

Nikolas's picture
Offline
Last seen: 2 months 1 week ago
Joined: 21.12.2010 - 20:37
Posts: 4560

Людмилы Григорьевны сканы верхних отделов.

федя's picture
Offline
Last seen: 12 years 3 weeks ago
Joined: 25.06.2011 - 20:28
Posts: 260

посчитал количество синдромов:множественные кольцевидные тени(там несколько вариантов течения -в инфильтрате -распад,с толстыми стенками-сформировавшийся или реактивация , с тонкими стенками-старые ),уплотнение по типу инфильтрации с распадом  ,перибронховаскулярное уплотнение ,симптом "дерева в почках",ацино-нодулярные очаги (можественные ) местами слившиеся ,кальцинированные очаги ,интерстициальные изменения,в S10 справа субплеврально участок уплотнения по типу консолидации ,широким основанием прилежащий к плевре со сближением сосудов (исключить инфаркт).мое мнение -явный туберкулез без сомнений !!но необходимо контрастное исследование для исключения тэла -возможно сегментерной ветви S10

igorkrym's picture
Offline
Last seen: 13 years 8 months ago
Joined: 21.03.2012 - 21:46
Posts: 14

Имхо! Мнение за ТЭЛА не складывается (по представленным КТ сканам) в базальных отделах вообще ближе к каким то фиброзным делам, полости на фоне инфильтрации - при наличии достаточно развернутой клиники за туберкулез не складывается (хотя судить в данном случае по первому и не в полном объеме исследованию достаточно затруднительно) Контроль, клиника и средостенный режим.

ЛГ's picture
Offline
Last seen: 9 years 4 months ago
Joined: 06.01.2010 - 12:31
Posts: 3523

федя: +1 (частично))

Туберкулез (да и микоз тоже) исключить не могу. ТЭЛА - тем более.

Консолидация с воздушной бронхограммой в S4-5 слева не связана с полостями там же (мне полости кажутся тонкостенными - кисты?); думаю, что эти процессы параллельны. На цирроз не похоже, не видно объемного уменьшения. Если острая клиника, то больше шансов, что консолидация острая. Т.е. либо пневмония, либо инфаркт, либо инфарктная пневмония. Плюсом выпот.

Справа в S6 две полости, одна с уровнем жидкости, вторая с неравномерной толщиной стенки. Вроде как очаги есть. Но сканы с дыхательными артефактами, о какой-то тонкой интерпретации лично мне говорить сложно. 

И.Бондаренко's picture
Offline
Last seen: 2 days 18 hours ago
Joined: 13.09.2011 - 22:55
Posts: 9214

Людмила Григорьевна! +1 за ТЭЛА или за инфаркт?

ЛГ's picture
Offline
Last seen: 9 years 4 months ago
Joined: 06.01.2010 - 12:31
Posts: 3523

За их возможное сочетание. ТЭЛА косвенно есть (еще и малый гидроторакс слева), но доказать - контрастирование. Думаю, что есть инфаркт в язычковых сегментах.

Nikolas's picture
Offline
Last seen: 2 months 1 week ago
Joined: 21.12.2010 - 20:37
Posts: 4560

обещал, выставил. См рисунки. Ваши заключения очень важны.  Nikolas.

Приложения: 
0054eb70.jpg0055bb53.jpg0056b8ed.jpg0056d435.jpg0056eaea.jpg00553b27.jpg00555ce7.jpg00559bf4.jpg00567bf4.jpg00569ac6.jpg00564573.jpg00566128.jpg
Катенёв Валентин Львович's picture
Offline
Last seen: 7 years 6 months ago
Joined: 22.03.2008 - 22:15
Posts: 54876

Как интересно - полный джентельменский набор, и "каверкоты", и "рычаги"...

Nikolas's picture
Offline
Last seen: 2 months 1 week ago
Joined: 21.12.2010 - 20:37
Posts: 4560

установлен на секции. Туберкулеза нет. Справа деструктивная пневмония. Слева инфарктная пневмония с распадом. К  врачам сайта. Какие признаки позволили Вам столь уверенно и правильно поставить диагноз ТЭЛА справа.  Жду ответ. С уважением, Nik

ЛГ's picture
Offline
Last seen: 9 years 4 months ago
Joined: 06.01.2010 - 12:31
Posts: 3523

Пневмонии на КТ выглядят либо как участки помутнения по типу матового стекла, либо как консолидация, т.е. уплотнение. Характерен симптом воздушной бронхограммы, т.е. видны просветы бронхов на фоне уплотнения, как в приведенном случае слева в язычковых сегментах.

Без контрастирования сосудов и визуализации тромба в просвете ЛА и её веток, можно лишь предполагать инфаркт по треугольной форме консолидации, широким основанием к плевре, верхушкой к корню, без уменьшения объема пораженной анатомической области. Косвенные признаки ТЭЛА: увеличение диаметра сосуда, к которому направлена верхушка треугольника; выпот; зона просветления (central lucencies) в толще инфракта превосходящая диаметром бронхи (правда, в данном случае в "язычках" больно четкие и ровные контуры для этого симптома). Клиника +/-, поскольку не все инфаркты сопровождаются клиникой.

http://translate.googleusercontent.com/translate_c?hl=ru&langpair=en%7Cru&rurl=translate.google.ru&u=http://radiology.rsna.org/content/244/3/875.full&usg=ALkJrhhvsmtkLGRdDafRs8t9UoWN6xgJ3A

Пример двустороннего инфаркта с центральным некрозом:

 

http://translate.google.ru/translate?hl=ru&langpair=en%7Cru&u=http://www.ncbi.nlm.nih.gov/pmc/articles/PMC2092472/

То, что справа, может тоже быть последствием инфаркта и некроза.

На секции выставлена деструктивная пневмония справа, а кто (какой микроорганизм) её вызвал - это известно? 

 

 

Nikolas's picture
Offline
Last seen: 2 months 1 week ago
Joined: 21.12.2010 - 20:37
Posts: 4560

не туберкулёз. Других сведений  на сегодня нет. Благодарю  за обстоятельный ответ. С уважением ,NIK