Локализация типичная верхушечная (облаковидный инфильтрат). по нашему стандарту - томограммы верхушек в "типичных среза" в прямой проекции. Сам довольно часто предпочитаю томографию в боковой проекции, в ряде случаев больше информации.
И как КТ поможет дифференцировать туберкулёз от банальной инфекции? На флейм разводите? Этот тема даже не для лекции. Есть монографии, одна из них Тюрина, в них многое написано.
К тому же исходный вопрос звучал не: "Как отдиференцировать?", а: "Что делать дальше?"
В.Б. Серов: "В цивилизованных условиях, КТ при подозрении на туберкулез - золотой стандарт".
Уважаемый Владимир Борисович! с Вашим утверждением невозможно не согласиться.
Но у нас, в наших условиях стандартом (обычным, серебряным или золотым) должно быть признано то, что может быть применено в любом ЛПУ, где имеется рентгенодиагностический кабинет. По всей видимости, этим стандартом, в наших условиях еще долгое время будет оставаться для диагностики туберкулёза именно рентгенография + линейная томография. Конечно, ХОРОШО БЫЛО-БЫ, ЧТОБЫ В КАЖДОМ ЛПУ БЫЛ КТ, если "это будет признано стандартом". Но мы прекрасно понимаем, что этого не будет в ближайшие 3-5 лет, и не только с учетом финансовых проблем, но и с более значимой проблемой - отсутствием специалистов, эксплуатирующих данную аппаратуру.
Мне весьма горько сознавать ломку именно этого стандарта (для диагностики туберкулёза легких), с учётом роста заболеваемости туберкулёзом в Российской Федерации, когда предлагается произвести рентгенографию ОГК в стандартных проекциях, не производя линейной томографии, а направить пациента "туда-то и туда-то" для производства КТ.
А может быть стоит тоже обратить внимание на классическую рентгенологию, подумать об расширении её возможностей благодаря внедрению цифрового формата. Мы прекрасно знаем, что в свое время, прекрасно решались вопросы диагностики туберкулёза, и заболеваемость была снижена до весьма "хорошего уровня", я уже не говорю об аппаратуре, которая использовалась в 70 - 80 годах, но стандарт работал весьма хорошо. Возможно сейчас не работает другой стандарт - организационный, или еще какой-то другой?
Прошу прощения что задержался с публикацией КТ. Последняя реконструкция в сагиттальной проекции специально для Валентина Львовича! Я кстати тоже ценю сагитталы больше чем корональные реконструкции, они более "анатомичны". На КТ, мы вдобавок к легочным изменениям, нашли небольшой плевральный выпот на стороне поражения.
Валентин Львович, зачем такая тирада для меня, Марио? Или так.., наболело... Абсолютно с вами согласен, насчет наших условий, цифровая технология вполне может справиться с диагностикой туберкулеза, в подавляющем большинстве случаев может быть достойной альтернативой КТ.
Quote:
Возможно сейчас не работает другой стандарт - организационный, или еще какой-то другой?
Гм, вопрос конечно интересный. Если бы не два дополнительных очага в правом 6-м сегменте, написал бы пневмония, рентген контроль через 3 недели. А с такими очажками-написал подозрение на TBc. пациентке сделали бронхоископию, взяли материал, сделали ПЦР, и ответ пришёл сегодня положительный: ТУБЕРКУЛЁЗНАЯ ИНФЕКЦИЯ.
Будем спорить! на КТ выпот задний базальный; спереди не видно.
Даже учитывая что пациент при рентгенографии стоял; жидкость под силой тяжести должна была "стечь" кзади. Если бы этот выпот был осумкован, на КТ он не должен бы; изменять свое положение. До 100 мл жидкости в плевральных полостях могут не визуализироватся на при рентгенографии, в этом вопросе приоритет за УЗИ. ИМХО.
2. Меня очень радует общение с Вами Доктор Марио, ибо у нас пока еще не возможно увидеть достойного изображения "туберкулёзной патологии" на КТ, МРТ, СКТ - идет притирка. Ваши иллюстрации, представленные к данному случаю позволяют провести параллели между изображениями на КТ и на рутинных томограммах.
С точки зрения классической рентгенологии представленные Вами рентгенограммы
Я никогда и ни с кем не спорю, тем более, что мы общаемся профессионально на самом демократичном сайте (это моя точка зрения), а следовательно общаясь учимся "стараясь услышать друг друга". Я получил определенные знания с учетом представленного Вами случая и доволен. Позволю себе продемонстрировать свой случай (инфильтративный туберкулёз), кстати верифицированный - в настоящее время лечится в обл. тубе.
Спасибо Валентин Львович, взаимно. Вы относительно правы. На КТ определяются микст изменения: алвеолярная консолидация, плотности по типу матового стекла, микро-кавитации и сохранённая воздушная бронхограмма. Учитывая два очага в шестёрке и локализацию: TBc должен быть обезательно включён в диф. диагноз. Тактика далее: 1. бронхоскопия-промывные воды (или другой материал)-лабаратория-ПЦР. 2. пункция выпота под УЗИ-лабаратория-ПЦР.
Спасибо за случай "близнец".
N.B. Когда я пишу будем спорить, я имею в виду общение по теме радиология, но с более повышенным интересом!
Д-р Марио, в рамках обучения, не считаете ли Вы что увеличен лимфоузел также и в левом корне: последний, из представленных Вами, аксиальный срез и корональная реконструкция
А мне почему-то позитив больше нравится есть мнение, что на мониторе физиологичнее смотреть позитив Надо Евгения Ивановича Николаева попросить высказаться по этой (позитив/негатив) теме.
Андрей Юрьевич Патологически увеличеных лимфоузлов не было; Вы наверно приняли попавший в срез ветку пульмонарной артерии за лимфоузел. Лимфозулы надо всегда оценивать на медиастинальном окне, если пытатся их расмотреть на легочном окне, можно запутатся. Кстати; изолированную находку л/узлов средостения до 12-15 мм в наибольшем размере, а прикорневых до 10 мм; трактовать как однозначно патологию нельзя. Альвеолярная консолидация: термин использующиеся в высокоразрешающей КТ лёгких: при заполнение алвеолярных (НЕ бронхов!) пространств мяглотаканными плотностями-пишем консолидация или alveolar consolidations. Когда алвеол. пространства заполнены жидкостью или пено-образным материалом (при контакте жидкости с сурфактантом); возникают так называемые "плотности по типу матового стекла" или по английски: GGO ground glass opacities.
Повторюсь; данная терминология справедлива в отношении высокоразрещающей КТ, у себя в отделение мы делаем КТ лэкгих при заданной толщине среза 2 мм; с реконструкцией по 1 мм.
В.Б. Серов: Не знаю, мне крайне не привычно смотреть рентген изображения в позитиве, у нас как то не принято что-ли.
Правда, рентгеновской симптоматологии в этом случае "было больше". Инфильтративная тень неоднородной структуры на левой верхушке, с "дорожкой" к корню левого лёгкого, облитерация левого косто-диафрагмального синуса, утолщение костальной плевры, "изменения" по 2 межреберье справа. Конечно, в данном случае, "дифференциально-диагностических колебаний" было меньше.
Конечно в данном случае фтизиатры НЕ молодцы, но очень хотелось бы узнать что конкретно они писали, и какие рекомендации писались для терапевтов. Неужели только: "Активного ТВС нет". Но и участковый терапевт тоже не доработал. Даже если фтизиартры и лопухнулись, почему у него на участке гуляет пациент с неразрешившейся инфильтрацией (считай пневмонией) в легком. У нас тоже такое бывает: у человека на ФГ пневмония, а он ни на контроль не приходит, да и уч. терапевта посылает: типа, не мешайте деньги зарабатывать. В таких случаях уч.терапевты делают соответствующие записи в амб. картах.
1. Именно фтизиатры "написали", что данных за активный процесс нет. Пациент проживает в сельской местности, где имеется ФАП. Семья ведет довольно разгульный образ жизни, и ФАП, по всей видимости решил "а оно мне нужно".
2. У нас тоже "болезнь", заключающаяся в том, что терапевты "довольно не всегда" направляли пациентов для контрольного рентгенологического обследования после пневмонии. "Некоторое количество случаев", которые фактически являлись не пневмониями, а пневмонитами (или парапроцессом), которые плавно без проведения контроля "стали" онкологией или спецификой "научили часть" клиницистов.
3. Самая страшная болезнь у нас - плановая госпитализация без флюорографии в стационар, и как правило - "хороший прокол".
Угу, особенно в хирургию, на плановую операцию (было такое около месяца назад). Кстати, у нас на прошлой неделе диагностирован туберкуллез с распадом у 15-летней школьницы. Все стоят на ушах. На моей памяти это впервые. Так что, с почином-с.
Локализация типичная верхушечная (облаковидный инфильтрат). по нашему стандарту - томограммы верхушек в "типичных среза" в прямой проекции. Сам довольно часто предпочитаю томографию в боковой проекции, в ряде случаев больше информации.
Что делать дальше? В Ваших условиях - компьютерную томографию. А обычную, т.е. линейную, у вас делают?
Андрей Юрьевич
И как КТ поможет дифференцировать туберкулёз от банальной инфекции?
И как КТ поможет дифференцировать туберкулёз от банальной инфекции? На флейм разводите
? Этот тема даже не для лекции. Есть монографии, одна из них Тюрина, в них многое написано.
К тому же исходный вопрос звучал не: "Как отдиференцировать?", а: "Что делать дальше?"
Андрей Юрьевич
если ко мне прийдет такой пациент, то делаем линейные томограммы и направляем на конс. к фтизиатру.
Если бы она болела 1-2 недели: тогда поставила бы пневмонию.обозначила тубнастороженность и назначила контроль после
лечения. А дальше или излечение ,или ,опять же, на конс. к фтизиатрам.
На мой взгляд, даже несколько мелких распадов имеют место быть.
Зри в корень!
В.Б. Серов: "В цивилизованных условиях, КТ при подозрении на туберкулез - золотой стандарт".
Уважаемый Владимир Борисович! с Вашим утверждением невозможно не согласиться.
Но у нас, в наших условиях стандартом (обычным, серебряным или золотым) должно быть признано то, что может быть применено в любом ЛПУ, где имеется рентгенодиагностический кабинет. По всей видимости, этим стандартом, в наших условиях еще долгое время будет оставаться для диагностики туберкулёза именно рентгенография + линейная томография. Конечно, ХОРОШО БЫЛО-БЫ, ЧТОБЫ В КАЖДОМ ЛПУ БЫЛ КТ, если "это будет признано стандартом". Но мы прекрасно понимаем, что этого не будет в ближайшие 3-5 лет, и не только с учетом финансовых проблем, но и с более значимой проблемой - отсутствием специалистов, эксплуатирующих данную аппаратуру.
Мне весьма горько сознавать ломку именно этого стандарта (для диагностики туберкулёза легких), с учётом роста заболеваемости туберкулёзом в Российской Федерации, когда предлагается произвести рентгенографию ОГК в стандартных проекциях, не производя линейной томографии, а направить пациента "туда-то и туда-то" для производства КТ.
А может быть стоит тоже обратить внимание на классическую рентгенологию, подумать об расширении её возможностей благодаря внедрению цифрового формата. Мы прекрасно знаем, что в свое время, прекрасно решались вопросы диагностики туберкулёза, и заболеваемость была снижена до весьма "хорошего уровня", я уже не говорю об аппаратуре, которая использовалась в 70 - 80 годах, но стандарт работал весьма хорошо. Возможно сейчас не работает другой стандарт - организационный, или еще какой-то другой?
Прошу прощения что задержался с публикацией КТ. Последняя реконструкция в сагиттальной проекции специально для Валентина Львовича! Я кстати тоже ценю сагитталы больше чем корональные реконструкции, они более "анатомичны". На КТ, мы вдобавок к легочным изменениям, нашли небольшой плевральный выпот на стороне поражения.
Let me see...
radiographia.ru
Валентин Львович, зачем такая тирада
для меня, Марио? Или так.., наболело... Абсолютно с вами согласен, насчет наших условий, цифровая технология вполне может справиться с диагностикой туберкулеза, в подавляющем большинстве случаев может быть достойной альтернативой КТ.
Это уже совсем другая тема.Зри в корень!
Владимир Борисович!
Я просто высказал свою точку зрения.
Доктор Марио!
Поймите меня правильно. К чему Вы склоняетесь после проведенного КТ?
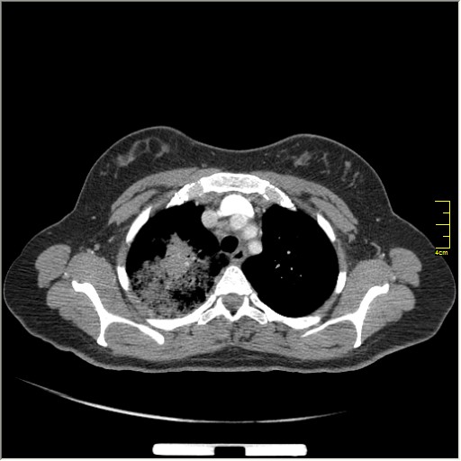
Гм, вопрос конечно интересный. Если бы не два дополнительных очага в правом 6-м сегменте, написал бы пневмония, рентген контроль через 3 недели. А с такими очажками-написал подозрение на TBc. пациентке сделали бронхоископию, взяли материал, сделали ПЦР, и ответ пришёл сегодня положительный: ТУБЕРКУЛЁЗНАЯ ИНФЕКЦИЯ.
упомянутые очаги в S6:
Let me see...
radiographia.ru
Большое спасибо Доктор Марио за данный случай и сразу прошу простить мне мою совершенную некомпетентность в КТ.
НО
1. Я полностью согласен с Вами, ЧТО ТАКЖЕ НАЛИЧИЕ ОЧАГОВ В ШЕСТЕРКЕ весьма склоняет мысли в сторону туберкулёза.
Будем спорить! на КТ выпот задний базальный; спереди не видно.
Даже учитывая что пациент при рентгенографии стоял; жидкость под силой тяжести должна была "стечь" кзади. Если бы этот выпот был осумкован, на КТ он не должен бы; изменять свое положение. До 100 мл жидкости в плевральных полостях могут не визуализироватся на при рентгенографии, в этом вопросе приоритет за УЗИ. ИМХО.
Let me see...
radiographia.ru
Если я правильно Вас понял, вы имели ввиду это:
Let me see...
radiographia.ru
2. Меня очень радует общение с Вами Доктор Марио, ибо у нас пока еще не возможно увидеть достойного изображения "туберкулёзной патологии" на КТ, МРТ, СКТ - идет притирка. Ваши иллюстрации, представленные к данному случаю позволяют провести параллели между изображениями на КТ и на рутинных томограммах.
С точки зрения классической рентгенологии представленные Вами рентгенограммы
Марио!
Я никогда и ни с кем не спорю, тем более, что мы общаемся профессионально на самом демократичном сайте (это моя точка зрения), а следовательно общаясь учимся "стараясь услышать друг друга". Я получил определенные знания с учетом представленного Вами случая и доволен. Позволю себе продемонстрировать свой случай (инфильтративный туберкулёз), кстати верифицированный - в настоящее время лечится в обл. тубе.
Спасибо Валентин Львович, взаимно. Вы относительно правы. На КТ определяются микст изменения: алвеолярная консолидация, плотности по типу матового стекла, микро-кавитации и сохранённая воздушная бронхограмма. Учитывая два очага в шестёрке и локализацию: TBc должен быть обезательно включён в диф. диагноз.
Тактика далее:
1. бронхоскопия-промывные воды (или другой материал)-лабаратория-ПЦР.
2. пункция выпота под УЗИ-лабаратория-ПЦР.
Спасибо за случай "близнец".
N.B. Когда я пишу будем спорить, я имею в виду общение по теме радиология, но с более повышенным интересом!
"истина где-то рядом" X-Files
Let me see...
radiographia.ru
Я думаю нам целесообразно продолжить обговаривать данную тему - о возможности диагностики туберкулёзного процесса различными лучевыми методами.
Спасибо за общение Доктор Марио.
Кстати, Ваше пожелание учтено - представлен негатив.
Спасибо! Я оценил!
Let me see...
radiographia.ru
Д-р Марио, в рамках обучения, не считаете ли Вы что увеличен лимфоузел также и в левом корне: последний, из представленных Вами, аксиальный срез и корональная реконструкция
Андрей Юрьевич
Еще раз в рамках ликбеза: по заглавию темы - если "банальная инфекция" - это пневмония, то что такое "альвеолярная консолидация"?
Андрей Юрьевич
А мне почему-то позитив больше нравится
есть мнение, что на мониторе физиологичнее смотреть позитив
Надо Евгения Ивановича Николаева попросить высказаться по этой (позитив/негатив) теме.
Зри в корень!
Андрей Юрьевич Патологически увеличеных лимфоузлов не было; Вы наверно приняли попавший в срез ветку пульмонарной артерии за лимфоузел. Лимфозулы надо всегда оценивать на медиастинальном окне, если пытатся их расмотреть на легочном окне, можно запутатся. Кстати; изолированную находку л/узлов средостения до 12-15 мм в наибольшем размере, а прикорневых до 10 мм; трактовать как однозначно патологию нельзя.
Альвеолярная консолидация: термин использующиеся в высокоразрешающей КТ лёгких: при заполнение алвеолярных (НЕ бронхов!) пространств мяглотаканными плотностями-пишем консолидация или alveolar consolidations. Когда алвеол. пространства заполнены жидкостью или пено-образным материалом (при контакте жидкости с сурфактантом); возникают так называемые "плотности по типу матового стекла" или по английски: GGO ground glass opacities.
Повторюсь; данная терминология справедлива в отношении высокоразрещающей КТ, у себя в отделение мы делаем КТ лэкгих при заданной толщине среза 2 мм; с реконструкцией по 1 мм.
В.Б. Серов: Не знаю, мне крайне не привычно смотреть рентген изображения в позитиве, у нас как то не принято что-ли.
Let me see...
radiographia.ru
Cпасибо, доктор
.
Андрей Юрьевич
2 года тому после расшифровки флюорограмм пациент взят "на контроль"
Правда, рентгеновской симптоматологии в этом случае "было больше". Инфильтративная тень неоднородной структуры на левой верхушке, с "дорожкой" к корню левого лёгкого, облитерация левого косто-диафрагмального синуса, утолщение костальной плевры, "изменения" по 2 межреберье справа. Конечно, в данном случае, "дифференциально-диагностических колебаний" было меньше.
И эти люди запрещают ковырять нам в носу! (с)
Конечно в данном случае фтизиатры НЕ молодцы, но очень хотелось бы узнать что конкретно они писали, и какие рекомендации писались для терапевтов. Неужели только: "Активного ТВС нет". Но и участковый терапевт тоже не доработал. Даже если фтизиартры и лопухнулись, почему у него на участке гуляет пациент с неразрешившейся инфильтрацией (считай пневмонией) в легком. У нас тоже такое бывает: у человека на ФГ пневмония, а он ни на контроль не приходит, да и уч. терапевта посылает: типа, не мешайте деньги зарабатывать. В таких случаях уч.терапевты делают соответствующие записи в амб. картах.
Андрей Юрьевич
1. Именно фтизиатры "написали", что данных за активный процесс нет. Пациент проживает в сельской местности, где имеется ФАП. Семья ведет довольно разгульный образ жизни, и ФАП, по всей видимости решил "а оно мне нужно".
2. У нас тоже "болезнь", заключающаяся в том, что терапевты "довольно не всегда" направляли пациентов для контрольного рентгенологического обследования после пневмонии. "Некоторое количество случаев", которые фактически являлись не пневмониями, а пневмонитами (или парапроцессом), которые плавно без проведения контроля "стали" онкологией или спецификой "научили часть" клиницистов.
3. Самая страшная болезнь у нас - плановая госпитализация без флюорографии в стационар, и как правило - "хороший прокол".
Угу, особенно в хирургию, на плановую операцию (было такое около месяца назад). Кстати, у нас на прошлой неделе диагностирован туберкуллез с распадом у 15-летней школьницы. Все стоят на ушах. На моей памяти это впервые. Так что, с почином-с
.
Андрей Юрьевич
Сие бывает и у нас, и весьма нередко.