Пол пациента:
Тип патологии:
Область исследования:
Методы исследования:
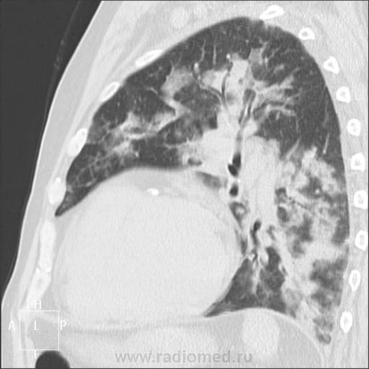
По "скорой помощи" 8.03.2011 поступил пациент 64 лет, инвалидность по хроническому обструктивному бронхиту и ИБС (мерцательная аритмия, стенокардия, постинфарктный кардиосклероз от 2002г). Удушье, кашель малопродуктивный, анасарка. Температура 38,6, в крови незначительный сдвиг формулы влево, лейкоциты 8,7, СОЭ 18, гемоглобин 118 г/л. Обзорный снимок сидя за 8.03 на описание предоставили вчера, заказала оба боковых.
Пациента сегодня в рентгенотделение привезли в кресле, с большим трудом удалось сделать один плохо читаемый боковой (пять снимков, один другого краше, все с динамической нерезкостью, кашель, тремор). С 8 по 11 марта увеличение одышки в покое с 20 до 25 в минуту. Ваше мнение, уважаемые коллеги?
КТ 11.03.2011:
- https://radiomed.ru/sites/default/files/styles/case_slider_image/public/user/2841/sdc10010aa.jpg?itok=qMRVqWCM
- https://radiomed.ru/sites/default/files/styles/case_slider_image/public/user/2841/sdcab10011.jpg?itok=tWtb-rpZ
- https://radiomed.ru/sites/default/files/styles/case_slider_image/public/user/2841/sdc10011aa.jpg?itok=XjLywKpi
- https://radiomed.ru/sites/default/files/styles/case_slider_image/public/user/2841/ya.64.jpg?itok=jrsB6cGs
- https://radiomed.ru/sites/default/files/styles/case_slider_image/public/user/2841/ya.g.m.640001.jpg?itok=c0ng6mwP
- https://radiomed.ru/sites/default/files/styles/case_slider_image/public/user/2841/ya.g.m.640002.jpg?itok=WssEQLO9
- https://radiomed.ru/sites/default/files/styles/case_slider_image/public/user/2841/ya.g.m.640003.jpg?itok=F_BAbRWL
- https://radiomed.ru/sites/default/files/styles/case_slider_image/public/user/2841/ya.g.m.640004.jpg?itok=gPGd1qnm
- https://radiomed.ru/sites/default/files/styles/case_slider_image/public/user/2841/ya.g.m.640005.jpg?itok=0aXN7hTG
- https://radiomed.ru/sites/default/files/styles/case_slider_image/public/user/2841/ya.g.m.640006.jpg?itok=6RbbYt7i
- https://radiomed.ru/sites/default/files/styles/case_slider_image/public/user/2841/ya.g.m.640007.jpg?itok=OAuaVIK8
- https://radiomed.ru/sites/default/files/styles/case_slider_image/public/user/2841/ya.g.m.640008.jpg?itok=gAvZbcPM
- https://radiomed.ru/sites/default/files/styles/case_slider_image/public/user/2841/ya.g.m.640009.jpg?itok=xpVBkKHr
- https://radiomed.ru/sites/default/files/styles/case_slider_image/public/user/2841/ya.g.m.640010.jpg?itok=Z_JTiywY
- https://radiomed.ru/sites/default/files/styles/case_slider_image/public/user/2841/ya.g.m.640012.jpg?itok=gIUdlDZQ
- https://radiomed.ru/sites/default/files/styles/case_slider_image/public/user/2841/ya.g.m.640013.jpg?itok=utBxLTNj
- https://radiomed.ru/sites/default/files/styles/case_slider_image/public/user/2841/ya.g.m.640014.jpg?itok=3NfVTKlf
- https://radiomed.ru/sites/default/files/styles/case_slider_image/public/user/2841/ya.g.m.640015.jpg?itok=M1Pe6G4Z
- https://radiomed.ru/sites/default/files/styles/case_slider_image/public/user/2841/ya.g.m.640016.jpg?itok=t8ZJ50Kk
- https://radiomed.ru/sites/default/files/styles/case_slider_image/public/user/2841/ya.g.m.640017.jpg?itok=7gjBisIh
- https://radiomed.ru/sites/default/files/styles/case_slider_image/public/user/2841/ya.g.m.640018.jpg?itok=fNpunyqG
- https://radiomed.ru/sites/default/files/styles/case_slider_image/public/user/2841/ya.g.m.640019.jpg?itok=844q7nN9
- https://radiomed.ru/sites/default/files/styles/case_slider_image/public/user/2841/ya.g.m.640020.jpg?itok=P5Ykbwt5
- https://radiomed.ru/sites/default/files/styles/case_slider_image/public/user/2841/ya.g.m.640021.jpg?itok=XBImHQby
- https://radiomed.ru/sites/default/files/styles/case_slider_image/public/user/2841/ya.g.m.640022.jpg?itok=a9u4oR7y
- https://radiomed.ru/sites/default/files/styles/case_slider_image/public/user/2841/ya.g.m.640023.jpg?itok=q2Wd-Vjr
- https://radiomed.ru/sites/default/files/styles/case_slider_image/public/user/2841/ya.g.m.640024.jpg?itok=l1K9CpEt
- https://radiomed.ru/sites/default/files/styles/case_slider_image/public/user/2841/yank64.jpg?itok=Mfhtgh4E
ID:12443
Застой в малом круге кровообращения, застойная пневмония, расширение сердечной тени, возможен малый гидроторакс справа.
Андрей Юрьевич
По мне, так и добавить нечего.Динамика покажет.У нас таким обычно 3-4 раза делают за время лечения,а то и больше.
Вот только хронический бронхит???
Андрей Юрьевич вероятно прав. Но подожду: вдруг появятся изображения получше...
Неоднозначно всё
Дилятация сердца, признаки левожелудочковой недостаточности. На боковых R-граммах от 11.03. признаки альвеолярного отёка легких. Не вижу убедительных признаков пневмонии, там более застойной, для которой характерны изменения в нижних полях, что не определяется на представленных снимках.
Заинтриговало несоответствие бокового снимка прямому. Тоже первая мысль была, что отек. Хрипы есть дистантные, но жужжащие, сухие. Кашель непереставаемый. Лучше снимков нет. КТ есть.
https://www.youtube.com/channel/UCBGxoBUOqUT_bFhSeUgtWEw
1 литр жидкости справа
https://www.youtube.com/channel/UCBGxoBUOqUT_bFhSeUgtWEw
Комментировать специалисты по КТ будут?
Потому как не знаю, интерстициальная полисегментарная пневмония или отек легких.
https://www.youtube.com/channel/UCBGxoBUOqUT_bFhSeUgtWEw
Вновь порадовала Людмила Григорьевна очерствевшие сердца служителей конвенциональной рентгенологии. Всё же хочется не просто радоваться, но и выразить признательность доброй и щедрой Фее нашей. По рентген снимкам и КТ-ушкам, на мой взгляд, получается альвеолярный отёк лёгких. Однако, пневмонию двустороннюю это не исключает. И развиться ей на таком фоне (не забудем и хронический обструктивный бронхит) ничто не мешает. Если пациент проживёт ещё неделю, и за это время Добрые доктора не сумеют выписать его домой, на вскрытии пневмония, думаю, найдётся. Ну, само собой справа выпот плевральный.
Полости сердца, сильно расширенные, контрастированы, или это чистая кровь?
А почему Вы считаете, что пневмония непременно интерстициальная должна быть?
Неоднозначно всё
Еще раз убеждаюсь в профессионализме Людмилы Григорьевны и по-хорошему завидую, что у меня так не получается.
Может и лучше получиться. Магниторадиолог - интересная профессия. Не всем предоставляеся возможность в зрелые лета освоить новую специальность. Но надо постараться)).
Неоднозначно всё
Это теперь дело принципа."Взялся за гуж..."
Исследование без контраста.
Интерстициальная пневмония - по презентации Марио интерстициальных заболеваний легких, похоже. Но и на отек похоже. А КТологи - КТшники молчат...
Обещаю завидовать со страшной силой, нам МРТ в ближайшие 50 лет не светит. Хотя.. какие наши годы)). Останется УЗИ, ПЭТ... И тихонько застрелиться, если не добавят нам врачей))
https://www.youtube.com/channel/UCBGxoBUOqUT_bFhSeUgtWEw
Людмила Григорьевна, не стреляйтесь, Вы нам дороги!Надеюсь освоить еще и КТ-так что, если что вдруг-зовите-приеду!
Кто о чем, а я как тот вшивый, о бане)). Я пока в информационном вакууме, завтра появлюсь на работе, узнаю новости о пациентке, напишу.
Клянусь, Елена Юрьевна, хотя ген зависти у меня дефективен, но буду стараться))
https://www.youtube.com/channel/UCBGxoBUOqUT_bFhSeUgtWEw
Я сама уже готова застрелиться, причем громко.
давайте обе еще поживем)), Елена Юрьевна.
В отличие от пациента
... Скончался вчера, на секции полисегментарная пневмония, отека нет, гидроторакс справа.
https://www.youtube.com/channel/UCBGxoBUOqUT_bFhSeUgtWEw
Все это еще раз доказывает, что отек легких-диагноз клинический, а не рентгенологический.
А человека жалко.
А вообще-то, все диагнозы - всегда клинические, ренгенологических диагнозов нет, только заключения.
Андрей Юрьевич
+1. Не согласен с позицией коллеги Helios- можем и должны мы по снимкам, выносить заключение об отёке лёгких, но к сожалению, можем и ошибаемся, как я в данном случае. Спасибо автору за представление и верификацию случая. Насколько точно сбылся прогноз Петровича ( смотри его препоследний пост).Респект и уважуха!
Глубоко уважая коллегу Петровича, напоминаю, что подтвердился как раз мой первый пост
С чем и коллега Петрович согласен.
Андрей Юрьевич
И коллега Helios права по своему: то что мы пишем, действительно, зовётся рентген заключение. Да ведь и коллега Almo употребляет именно слово, «заключение», а не «диагноз». Хотя в диагноз оно порой включается терапевтами слово в слово. И Андрей Юрьевич, конечно, прав: на первом снимке, как утро туманном, картина застоя видна вполне ясно. Застойная пневмония в нижнемедиальных отделах, особенно слева, при наличии достаточного опыта и фантазии угадывается, а вот "малый гидроторакс справа", который Андрей Юрьевич с самого начала предположил, мне моя фантазия не показала. И коллега Almo, разумеется, прав, увидев после относительно спокойной рентгенограммы в прямой проекции от 8 марта, боковую проекцию от 11 марта и КТ с грозными изменениями в верхних долях, ранее невидимыми и я охотно с ним согласился, учитывая такую быструю динамику в лёгких и скорбные дела сердечные. Надо ещё учесть, что мы с ним в КТ-ушках неискушенные. Вот и Людмила Григорьевна к вечеру согласилась: "Интерстициальная пневмония - по презентации Марио интерстициальных заболеваний легких, похоже. Но и на отек похоже". А то, что патологоанатом отёк лёгких на вскрытии не увидел…, так это состояние ИМХО может быть обратимо при успешности соответствующей терапии.
И в связи с последними обстоятельствами у меня вопрос, больше теоретический: насколько легко и уверенно патологоанатомы распознают отёк лёгких вообще и при наличии полисегментарной пневмонии в частности? И нет ли соблазна, все изменения списать на пневмонию? И почему молчит энциклопедист М.А. Бородулин?
Неоднозначно всё
Отек легких- принципиально делится на 2 типа.
1. отек при нормальной сосудистой проницаемости ( пример острая левожелудочковая недостаточность)
2. отек при повышенной сосудистой проницаемости ( пример отравление хлором)
Состояния качественно разные и требующие разного терапевтического подхода.
( о порошках не буду)
Морфологи определяют наличие отека просто: стекет жидкость, не стекает. Тонет кусочек не тонет. Лишь потом гистологическое исследование.
Диагноз не должен быть патологоанатомическим, а должен быть клиникопатологоанатомическим. Тоесть морфолог обязан разьяснить весь выявленный симптомокоплекс.
В данном случае несомненно имела место сочетание патологии.
Как пневмонии собьемом поражения несовместимым с жизнью ( не знаю, что писал д-р Марио об интерстициальных пневмониях. ПНЕВМОНИЯ - ПРЕИМУЩЕСТВЕННОЕ ПОРАЖЕНИЕ АЛЬВЕОЛ) и хронической бивентрикулярной сердечной недостаточностью.
Причиной смерти послужила острая дыхательная недостаточность. Все изменения были изложены Андреем Юрьевичем.
Ну а хронического бронхита, тут и рядом не стояло.
Но вот проявлялась ли в данном случае хроническая бивентрикулярная сердечная недостаточность (возможно ставшая уже острой) отеком легких? Как думаете, коллега?
Неоднозначно всё
[/quote]
Но вот проявлялась ли в данном случае хроническая бивентрикулярная сердечная недостаточность (возможно ставшая уже острой) отеком легких? Как думаете, коллега?
[/quote]
Существует термин Синдром взаимного отягощения.
<<Морфологи определяют наличие отека просто: стекет жидкость, не стекает. Тонет кусочек не тонет. Лишь потом гистологическое исследование.
Диагноз не должен быть патологоанатомическим, а должен быть клиникопатологоанатомическим. Тоесть морфолог обязан разьяснить весь выявленный симптомокоплекс.>>
Мне кажется, это несколько сложно для обычных районных патологоанатомов. Надо бы уточнить у Автора случая, ставят ли в каких-то случаях их патологоанатомы именно такой диагноз: «Отёк лёгких». И ставят ли сразу или после гистологическоого исследования?
Неоднозначно всё
Отек легких -Это не диагноз, а осложнение.
...лежит у нас в терапии! Еле спасли вчера от отека легких! Дядя реаниматолог приходил, брать не собирается! Лечите, типа, мочегонными...
Да мне ведь важно другое: пишут ли патологоанатомы в каких-то случаях в своём заключении такие слова. Или мы зря спорим.
Неоднозначно всё
Наши патанатомы, уважаемый Петрович, пишут в осложнении и определяют отек легких визуально и надавливанием на легкое в разрезе - вытекает ли жидкость. Плюс стёкла. В данном случае отека не было.
При пневмонии вовлечены исключительно альвеолы? Строма и бронхи интактны? Забавное представление... А как по мнению Михаила Анатольевича называется вовлечение в процесс интерстиция? Отек легких делится на альвеолярный, интерстициальный и смешанный. Рентгенологически. А почему Вы считаете, что при острой левожелудочковой недостаточности нет повышенной проницаемости сосудов? Просвятите по поводу механизма пропотевания в таком случае., любопытно... И стоит ли в протоколе применять не рентгеновские, а морфологические и патанатомические термины? Есть конкретные рентгенпризнаки, остальное - от лукавого и желания показать знания
. А хронический обструктивный бронхит - тут вся амбулаторная карта, значит, сфабрикована, раз Вы бронхита не видите (нет ли противоречия о КЛИНИКО-рентенологическом диагнозе???). Кстати, при бронхиальной астме далеко не всегда есть изменения на рентгенограмме.
https://www.youtube.com/channel/UCBGxoBUOqUT_bFhSeUgtWEw
Упомянутая статья доктора Марио: http://www.radiomed.ru/publications/luchevaya-diagnostika-diffuznykh-interstitsialnykh-zabolevanii-legkikh-dizl-obshchie--0
https://www.youtube.com/channel/UCBGxoBUOqUT_bFhSeUgtWEw
В написанном преимущественное поражение.
Вотношении астмы
. исходя из определения ОБРАТИМОЙ обструкции.
По моему рентгенолог и клиницист должны разговаривать на ОБЩЕМ языке.
Спасибо, Вам за заботу, Добрая женщина. Но Яблочко на сей раз, видно, никому не достанется.
Неоднозначно всё
Яблочко присуждаю Андрею Юрьевичу
. Второе, чуть поменьше, Вам, Петрович. От доброты моей и за точность предвидения
. Мытые)))...
https://www.youtube.com/channel/UCBGxoBUOqUT_bFhSeUgtWEw
Гран-мерси!)) Вы, кстати не указали пишут ли патологоанатомы о ЗАСТОЙНОЙ ПНЕВМОНИИ, которую предположил Андрей Юрьевич, или о какой-то другой!
Неоднозначно всё
Пост № 18. Пневмония двусторонняя полисегментарная, постинфарктный кардиосклероз. Большего мне не сказали, сама на вскрытии не присутствовала. Так что всё со слов патанатома и лечащего терапевта.
https://www.youtube.com/channel/UCBGxoBUOqUT_bFhSeUgtWEw