You are here

Ваше мнение..

Пол пациента: 
Тип патологии: 
Методы исследования: 

 

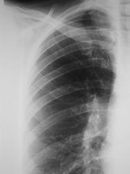
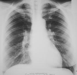
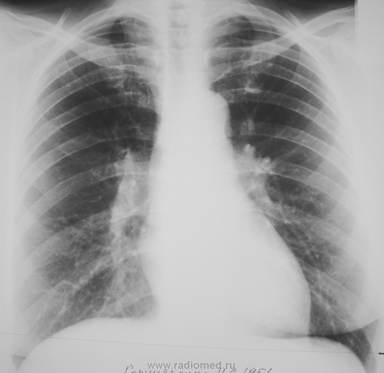
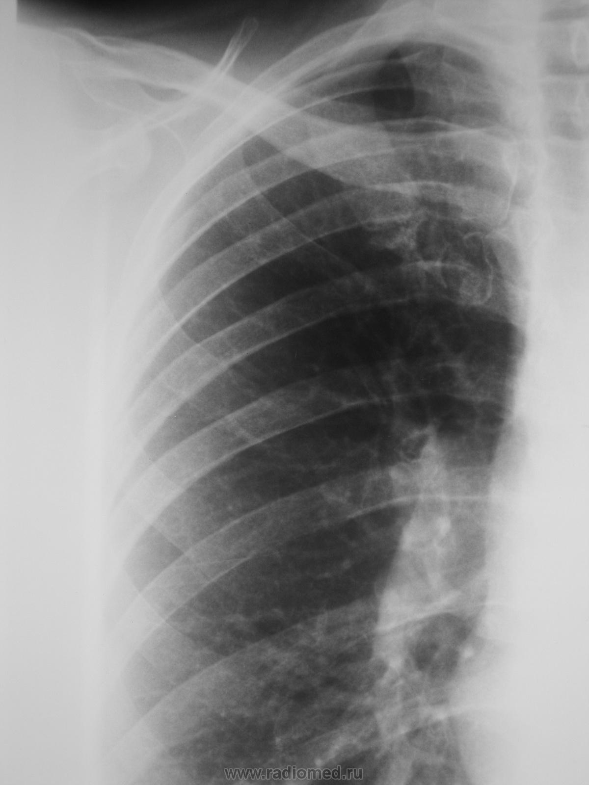
Извините коллеги забыл откопировать обычную сегодняшнюю обзорную прямую..- томограммы от 14.04.2011 вашему вниманию. Обзорка за июнь прошлого года . В анаменезе в 2010 июль опрерирована Sa в фиброзном узле матки.

  • https://radiomed.ru/sites/default/files/styles/case_slider_image/public/user/1787/dsc01624.jpg?itok=Bohg4qx6
  • https://radiomed.ru/sites/default/files/styles/case_slider_image/public/user/1787/dsc01625.jpg?itok=ufwDymEl
ID:13367
Nikolas's picture
Offline
Last seen: 1 month 3 weeks ago
Joined: 21.12.2010 - 20:37
Posts: 4560

заполненную ретенционную бронхиальную кисту легкого

stovbav's picture
Offline
Last seen: 2 years 5 months ago
Joined: 20.12.2009 - 17:28
Posts: 7066

Ретенционные кисты должны иметь "свою историю", они за год не растут...тут годы и годы нужны. В первую очередь исключайте метастатическое поражение.

Nikolas's picture
Offline
Last seen: 1 month 3 weeks ago
Joined: 21.12.2010 - 20:37
Posts: 4560

Уважаемый доктор Vikkur! Народ безмолвствует!! В чем дело? С уважением Nik

Kat's picture
Kat
Offline
Last seen: 12 years 9 months ago
Joined: 19.04.2011 - 19:10
Posts: 365

Nikolas wrote:

заполненную ретенционную бронхиальную кисту легкого

+1.Возможно,она имела историю и в данном случае: зачастую на Rg виден только фиброз.к-ый можно пропустить,а уж Tg приоткрывает слои))) Типичная заполненная ретенционная киста

Временно отсутствую на сайте...

Vikkur's picture
Offline
Last seen: 4 years 10 months ago
Joined: 24.09.2009 - 14:34
Posts: 1749

Судьба пока не известна....

Виктор.

Nikolas's picture
Offline
Last seen: 1 month 3 weeks ago
Joined: 21.12.2010 - 20:37
Posts: 4560

Уважаемый коллега Vikkur! Под народом я имел ввиду врачей сайта. Мало высказано мнений по поводу изменений в легких. С уважением Nik