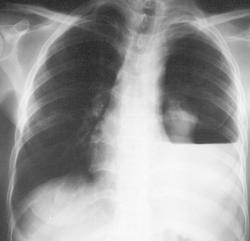
Женщина Т. 62 года. 18 дней назад была успешно оперирована по поводу рака левой молочной железы, выполнена резекция по Пити. Выписана 12 дней назад домой без ремарок. Сейчас поступила с выраженной одышкой.
Левосторонний гидропневмоторакс, м.б. даже пиопнемоторакс. Смещение средостения вправо м.б. обусловлено либо клапанным механизмом, либо активным газообразованием. Российское здравоохранение частично реабилитировано.
А теперь, уважаемый доктор, выкатывайте рояль из кустов, и говорите, что это на самом деле и на что я попался?
Уважаемый Доктор Марио! Конечно, без сомнения левосторонний гидропневмоторакс. Горизонтальный уровень жидкости. Значит имеется сообщение плевральной полости с внешним атмосферным давлением. Два вывода:
А может быть "сыграла подключичка"? Можно допустить, что была выписана с левосторонним пневмотораксом, а при присоединении инфекции "затяжелела".
Мы наблюдали случай, уогда пациентка была выписана из "Х" отделения, но перед уходом из отделения была направлена на флюорографию, при помощи которой был выявлен пневмоторакс. Даму нашли, госпитализировали и выписали только после полного расправления лёгкого.
Коллеги, а почему вы считаете что это ошибка хирурга? Тем более надо сильно постаратся что бы так "проткнуть" грудную клетку, и это осталось незамеченным в ближнем пост-операционном периоде.
Уважемый Андрей Юрьевич, простите за вопрос, но почему вы счиатете что предположительная ятрогения или ошибка зарубежных врачей, частично реабилитирует Российское здравоохранение?
Уважаемый Доктор Марио! Постараюсь изложить свою логическую цепочку. У пациентки имеется левосторонний гидропневмоторакс с наличием горизонтального уровня жидкости. Следовательно имеется сообщение плевральной полости с внешней средой через бронх или через отверстие в грудной стенке. В ближайшем периоде было большое оперативное вмешательство именно на левой половине грудной клетки. И в первую очередь думается о травме передней стенки грудной клетки во время операции. У меня два вопроса. 1. Проводилось ли рентгенологическое исследование легких до оперативного вмешательства, каковы его результаты? 2. Проводилось ли рентгенологическое исследование легких после оперативного вмешательства, до выписки пациентки из стационара? По поводу хирургов я думаю, что шаловливые руки встречаются и у отечественных (сообщение в наших СМИ, как мохно забыть в животе зеркало 20 см в длину?) хирургов, так и зарубежных.
Третье ребро слева, по-моему, Люшка. Для оценки инфильтрации снимочки жестковаты, мне кажется, ничего определенного не скажешь. Я не вижу. Еще не будем забывать, что справа молочная железа есть, а слева нет, уже прозрачность половин грудной клетки разная!
А мне кажется, что с третьим ребром все нормально, это просто какая то дугообразная линия идет параллельно внутреннему краю ребер, возможно, обусловленная тенью мягких тканей или еще чем-то.
Уважемый Доктор Марио, прошу Вас, не относиться столь серьезно к болтовне во всемирной паутине, и на Ваш вопрос: "но почему вы счиатете что предположительная ятрогения или ошибка зарубежных врачей, частично реабилитирует Российское здравоохранение?", отвечаю, что еще раз убедился в унивесальности Пушкина: "Нет правды на земле, но правды нет и выше"
А вот, что мне действительно хочется узнать, так это: "Остров или материк" (шучу), "Пиопневмоторакс или гидропневмоторакс другой этиологи", короче: "Что там плещется?".
Уважаемый Доктор Марио! Если не ставить под сомнение заключение рентгенологов по поводу состояния легких до операции, то, прошу прощения, даю 95%(100% только БОГ) за ятрогению во время операции. Клапанный пневмоторакс. УЗИ плевральных полостей Вы уже наверное выполнили. Пункцию и дренирование плевральной полости коллеги то же уже выполнили. Вопрос- каков результат?
Конечно сдренировали, получили транссудат. Трубку поставили, лёгкое расправилось более менее.... От КТ пациентка отказалась... Мне самому очень интересно знать как так могло получится... И почему так поздно аукнулось. Я предполагаю так-во времы аоперации, когда удаляли часть грудных мышц, повредили груднуую стенку. Так как в пост-оп. регионе оставили дренажи на 4-5 дней, появилось сообщение с наружной средой, когда на 5ый день убрали дренажи-сформировалась как бы фистула.... Пациентка выписалась, дома что то усугубило её состояние и вот результат... Или другой вариант, был метастаз в бронхе-некроз-прорвалось в плевральную полость. Но это уже фантазии....
Уважаемый Андрей Юрьевич! Я люблю юмор, и очень люблю Пушкина! И вполне Вас понимаю.. Простите меня пожалуйста, но я очень болезненно воспринимаю любые проблемы, ошибки или "несуразности" в отношении пациентов... Бывает очень обидно за людей, которые обращаются к тебе за помощью, а результат получается наоборот..
Спасибо, Доктор Марио, что удовлетворили мое любопытство! Практически, что предполагал-подтвердили. Прошу снова прощения, но поставлю под сомнение слово "транссудат". На таком сроке и этиологии минимум должен быть экссудат. И кровь была или нет?
Макро-нет. Прозрачная жидкость, немного с жетоватым оттенком. На микроскопии конечно нашли пару эритроцитов, но лаборатория дала заключение транссудат... Мне этот случай на даёт спать спокойно, жаль что пациентка отказалась от КТ, для меня многое бы прояснилось.
Вспомнил! Сделал я ему пункцию (ТАБ), морфологи написали: миксома (плеоморфная аденома). Хотя для такого возраста более характерны Warthin Tumor, но для них характерно наличие кистозного компонента.
Pleomorphic adenomas (benign mixed tumors) are the most common tumors of the salivary gland and are most often located in the tail of the parotid gland. When found in the minor salivary glands, the hard palate is the site most frequently involved, followed by the upper lip.
These tumors were termed pleomorphic because of the epithelial and connective tissue components that compose them in varying degrees. Their gross appearance is a round, smooth mass with a thin, delicate, incomplete capsule. Of note, pleomorphic adenomas that arise in the minor salivary glands usually lack a capsule. These tumors grow slowly, although they may become larger than other SGTs. The thin, delicate capsule may have projections into the surrounding parotid tissue. This is of particular clinical significance because obtaining clean margins and avoiding spillage are mandatory to minimize recurrence.
Microscopically, benign mixed tumors are characterized by variable, diverse, structural histologic patterns. Frequently, they have growth patterns of sheets, strands, or islands of spindle and stellate cells, with a myxoid configuration occasionally predominating. Treatment of benign neoplasms involves the complete surgical excision of the affected gland. If the parotid gland is involved, superficial parotidectomy with standard facial nerve dissection and preservation is the procedure of choice. Enucleation is contraindicated because of the tendency towards tumor spillage that can lead to tumor recurrence.
Опухоли слюнных желез согласно Международной гистологической классификации разделяют на эпителиальные и неэпителиальные. К эпителиальным опухолям относят аденомы, мукоэпидермоидные и ацинозно-клеточные опухоли, карциномы. Аденомы, в свою очередь, делят на полиморфные и мономорфные, последние — на аденолимфомы, оксифильные аденомы, другие типы аденом. Среди карцином выделяют аденокистозные (цилиндромы), аденокарциномы, эпидермоидные карциномы, недифференцированные карциномы и карциномы в полиморфной аденоме. Неэпителиальные опухоли включают гемангиомы, гемангиоперицитомы, лимфангиомы, неврилеммомы, нейрофибромы, липомы, а также ангиогенные саркомы, рабдомиосаркомы, веретеноклеточные саркомы (без уточнения гистогенеза).
Среди доброкачественных опухолей наиболее часто встречается полиморфная аденома (смешанная опухоль, полиморфная аденома). В большинстве случаев она локализуется в околоушной, реже в поднижнечелюстной и подъязычной железе. Нередко поражается область мягкого и твердого неба, наблюдаются опухоли малых слюнных желез в щечной области, очень редко в области верхней челюсти и др. Опухоль характеризуется медленным (в течение многих лет) ростом, может достигать больших размеров, безболезненна. Возможно рецидивирование (повторное появление опухоли после удаления), при этом опухоль не дает метастазов. Малигнизация (озлокачествление) наблюдается в 3,6—30% случаев.
Мономорфные аденомы встречаются в 6,8% всех опухолей слюнных желез. В связи с тем, что мономорфные аденомы клинически протекают так же, как полиморфные, диагноз в большинстве случаев устанавливают только после патогистологического изучения удаленного новообразования. Возможно рецидивирование, как правило, только после нерадикального выполнения операции. Неэпителиальные доброкачественные опухоли слюнных. встречаются редко, по микроскопическому строению они не отличаются от неэпителиальных опухолей другой локализации. Чаще наблюдаются сосудистые опухоли - гемангиомы, лимфангиомы, реже - неврогенные опухоли - невриномы, нейрофибромы, и очень редко – липомы (опухоли из жировой ткани).
Вот теперь, Доктор Марио, еще раз огромное спасибо! И снова вопрос. Почему образование слюнной железы лоцировалось ЗА УХОМ? Еще раз прошу, пожалуйста, все что касается медицинской терминологии и постов, пишите на русском языке. Могу объясниться на английском, немецком, французском и даже китайском языке на бытовом уровне (100-200 слов). Но специальная (медицинская, в частности) терминология для меня темный лес. Спасибо, Доктор Марио!
Левосторонний гидропневмоторакс, м.б. даже пиопнемоторакс. Смещение средостения вправо м.б. обусловлено либо клапанным механизмом, либо активным газообразованием. Российское здравоохранение частично реабилитировано.
А теперь, уважаемый доктор, выкатывайте рояль из кустов, и говорите, что это на самом деле и на что я попался
?
Андрей Юрьевич
Уважаемый Доктор Марио! Конечно, без сомнения левосторонний гидропневмоторакс. Горизонтальный уровень жидкости. Значит имеется сообщение плевральной полости с внешним атмосферным давлением. Два вывода:
1. Ятрогенная операционная травма передней стенки грудной клетки (случайно вскрыли плевральную полость)?
2. Что то проглядели в легких перед операцией?
dok
Владимир Васильевич, присоединяюсь, скорее первое.
Зри в корень!
Уважаемые коллеги, если это ятерогения, то, выходит, не только случайно вскрыли плевральную полость, а еще и легкое повредили?
Андрей Юрьевич
А может быть "сыграла подключичка"? Можно допустить, что была выписана с левосторонним пневмотораксом, а при присоединении инфекции "затяжелела".
Мы наблюдали случай, уогда пациентка была выписана из "Х" отделения, но перед уходом из отделения была направлена на флюорографию, при помощи которой был выявлен пневмоторакс. Даму нашли, госпитализировали и выписали только после полного расправления лёгкого.
Коллеги, а почему вы считаете что это ошибка хирурга? Тем более надо сильно постаратся что бы так "проткнуть" грудную клетку, и это осталось незамеченным в ближнем пост-операционном периоде.
Уважемый Андрей Юрьевич, простите за вопрос, но почему вы счиатете что предположительная ятрогения или ошибка зарубежных врачей, частично реабилитирует Российское здравоохранение?
Let me see...
radiographia.ru
Уважаемый Доктор Марио! Постараюсь изложить свою логическую цепочку. У пациентки имеется левосторонний гидропневмоторакс с наличием горизонтального уровня жидкости. Следовательно имеется сообщение плевральной полости с внешней средой через бронх или через отверстие в грудной стенке. В ближайшем периоде было большое оперативное вмешательство именно на левой половине грудной клетки. И в первую очередь думается о травме передней стенки грудной клетки во время операции. У меня два вопроса. 1. Проводилось ли рентгенологическое исследование легких до оперативного вмешательства, каковы его результаты? 2. Проводилось ли рентгенологическое исследование легких после оперативного вмешательства, до выписки пациентки из стационара? По поводу хирургов я думаю, что шаловливые руки встречаются и у отечественных (сообщение в наших СМИ, как мохно забыть в животе зеркало 20 см в длину?) хирургов, так и зарубежных.
dok
Ермолаев В.В.:
"1. Проводилось ли рентгенологическое исследование легких до оперативного вмешательства, каковы его результаты?
2. Проводилось ли рентгенологическое исследование легких после оперативного вмешательства, до выписки пациентки из стационара?"
Хорошие вопросы коллега, с учетом плановой госпитализации, по поводу планового оперативного вмешательствав. Интересно услышать ответ.
До операции рентгенография ОГК (не у нас, в частном центре); заключение-норма.
После оперативного вмешательства рентген лёгких не делали, не было показаний.
Let me see...
radiographia.ru
Конечно, это неблагодарное дело "анализировать изображения", а не снимки.
У меня есть вопрос.
1. Что с 3 ребром слева? Мне кажется, что передний фрагмент весьма утолщен.
2. Имеет - ли место инфильтрация легочной ткани справа в 3 межреберье?
Третье ребро слева, по-моему, Люшка. Для оценки инфильтрации снимочки жестковаты, мне кажется, ничего определенного не скажешь. Я не вижу. Еще не будем забывать, что справа молочная железа есть, а слева нет, уже прозрачность половин грудной клетки разная!
Век живи - век учись...
А мне кажется, что с третьим ребром все нормально, это просто какая то дугообразная линия идет параллельно внутреннему краю ребер, возможно, обусловленная тенью мягких тканей или еще чем-то.
https://www.instagram.com/pediatricradiology/
Уважемый Доктор Марио, прошу Вас, не относиться столь серьезно к болтовне во всемирной паутине, и на Ваш вопрос: "но почему вы счиатете что предположительная ятрогения или ошибка зарубежных врачей, частично реабилитирует Российское здравоохранение?", отвечаю, что еще раз убедился в унивесальности Пушкина: "Нет правды на земле, но правды нет и выше"
А вот, что мне действительно хочется узнать, так это: "Остров или материк" (шучу), "Пиопневмоторакс или гидропневмоторакс другой этиологи", короче: "Что там плещется?".
С неизменным уважением,
Андрей Юрьевич
Уважаемый Доктор Марио! Если не ставить под сомнение заключение рентгенологов по поводу состояния легких до операции, то, прошу прощения, даю 95%(100% только БОГ) за ятрогению во время операции. Клапанный пневмоторакс. УЗИ плевральных полостей Вы уже наверное выполнили. Пункцию и дренирование плевральной полости коллеги то же уже выполнили. Вопрос- каков результат?
dok
Конечно сдренировали, получили транссудат. Трубку поставили, лёгкое расправилось более менее.... От КТ пациентка отказалась... Мне самому очень интересно знать как так могло получится... И почему так поздно аукнулось. Я предполагаю так-во времы аоперации, когда удаляли часть грудных мышц, повредили груднуую стенку. Так как в пост-оп. регионе оставили дренажи на 4-5 дней, появилось сообщение с наружной средой, когда на 5ый день убрали дренажи-сформировалась как бы фистула.... Пациентка выписалась, дома что то усугубило её состояние и вот результат...
Или другой вариант, был метастаз в бронхе-некроз-прорвалось в плевральную полость. Но это уже фантазии....
Let me see...
radiographia.ru
Уважаемый Андрей Юрьевич! Я люблю юмор, и очень люблю Пушкина! И вполне Вас понимаю.. Простите меня пожалуйста, но я очень болезненно воспринимаю любые проблемы, ошибки или "несуразности" в отношении пациентов... Бывает очень обидно за людей, которые обращаются к тебе за помощью, а результат получается наоборот..
Let me see...
radiographia.ru
Спасибо, Доктор Марио, что удовлетворили мое любопытство! Практически, что предполагал-подтвердили. Прошу снова прощения, но поставлю под сомнение слово "транссудат". На таком сроке и этиологии минимум должен быть экссудат. И кровь была или нет?
dok
Макро-нет. Прозрачная жидкость, немного с жетоватым оттенком. На микроскопии конечно нашли пару эритроцитов, но лаборатория дала заключение транссудат... Мне этот случай на даёт спать спокойно, жаль что пациентка отказалась от КТ, для меня многое бы прояснилось.
Let me see...
radiographia.ru
Доктор Марио! Пожалуйста, удовлетворите мое любопытство по поводу УЗИ околоушной слюнной железы. Пост неделю назад. Спасибо.
dok
Гм, напомните мне пожалуйста или дайте ссылку?
Let me see...
radiographia.ru
Доктор Марио! Ваш пост от 3 апреля сего года. На 4 странице в разделе "новое на сайте"
dok
Вспомнил! Сделал я ему пункцию (ТАБ), морфологи написали: миксома (плеоморфная аденома). Хотя для такого возраста более характерны Warthin Tumor, но для них характерно наличие кистозного компонента.
Pleomorphic adenomas (benign mixed tumors) are the most common tumors of the salivary gland and are most often located in the tail of the parotid gland. When found in the minor salivary glands, the hard palate is the site most frequently involved, followed by the upper lip.
These tumors were termed pleomorphic because of the epithelial and connective tissue components that compose them in varying degrees. Their gross appearance is a round, smooth mass with a thin, delicate, incomplete capsule. Of note, pleomorphic adenomas that arise in the minor salivary glands usually lack a capsule. These tumors grow slowly, although they may become larger than other SGTs. The thin, delicate capsule may have projections into the surrounding parotid tissue. This is of particular clinical significance because obtaining clean margins and avoiding spillage are mandatory to minimize recurrence.
Microscopically, benign mixed tumors are characterized by variable, diverse, structural histologic patterns. Frequently, they have growth patterns of sheets, strands, or islands of spindle and stellate cells, with a myxoid configuration occasionally predominating. Treatment of benign neoplasms involves the complete surgical excision of the affected gland. If the parotid gland is involved, superficial parotidectomy with standard facial nerve dissection and preservation is the procedure of choice. Enucleation is contraindicated because of the tendency towards tumor spillage that can lead to tumor recurrence.
Let me see...
radiographia.ru
Огромное спасибо, доктор Марио! Особенно за пояснения на английском! НЕ ВЛАДЕЮ! Прошу прощения.
dok
Сорри! Не знал... попробуем так, это пост моего коллеги и хорошего друга, он работает в Беларуси:
Re: УЗИ правой околоушной слюнной железы.
http://www.ultrasound.net.ua/page/frameset?right=http%3A%2F%2Fwww.ultrasound.net.ua%2Fpage%2Ftext%2Fname%3D589.
Опухоли слюнных желез согласно Международной гистологической классификации разделяют на эпителиальные и неэпителиальные. К эпителиальным опухолям относят аденомы, мукоэпидермоидные и ацинозно-клеточные опухоли, карциномы. Аденомы, в свою очередь, делят на полиморфные и мономорфные, последние — на аденолимфомы, оксифильные аденомы, другие типы аденом. Среди карцином выделяют аденокистозные (цилиндромы), аденокарциномы, эпидермоидные карциномы, недифференцированные карциномы и карциномы в полиморфной аденоме. Неэпителиальные опухоли включают гемангиомы, гемангиоперицитомы, лимфангиомы, неврилеммомы, нейрофибромы, липомы, а также ангиогенные саркомы, рабдомиосаркомы, веретеноклеточные саркомы (без уточнения гистогенеза).
Среди доброкачественных опухолей наиболее часто встречается полиморфная аденома (смешанная опухоль, полиморфная аденома). В большинстве случаев она локализуется в околоушной, реже в поднижнечелюстной и подъязычной железе. Нередко поражается область мягкого и твердого неба, наблюдаются опухоли малых слюнных желез в щечной области, очень редко в области верхней челюсти и др. Опухоль характеризуется медленным (в течение многих лет) ростом, может достигать больших размеров, безболезненна. Возможно рецидивирование (повторное появление опухоли после удаления), при этом опухоль не дает метастазов. Малигнизация (озлокачествление) наблюдается в 3,6—30% случаев.
Мономорфные аденомы встречаются в 6,8% всех опухолей слюнных желез. В связи с тем, что мономорфные аденомы клинически протекают так же, как полиморфные, диагноз в большинстве случаев устанавливают только после патогистологического изучения удаленного новообразования. Возможно рецидивирование, как правило, только после нерадикального выполнения операции. Неэпителиальные доброкачественные опухоли слюнных. встречаются редко, по микроскопическому строению они не отличаются от неэпителиальных опухолей другой локализации. Чаще наблюдаются сосудистые опухоли - гемангиомы, лимфангиомы, реже - неврогенные опухоли - невриномы, нейрофибромы, и очень редко – липомы (опухоли из жировой ткани).
Let me see...
radiographia.ru
Вот теперь, Доктор Марио, еще раз огромное спасибо! И снова вопрос. Почему образование слюнной железы лоцировалось ЗА УХОМ? Еще раз прошу, пожалуйста, все что касается медицинской терминологии и постов, пишите на русском языке. Могу объясниться на английском, немецком, французском и даже китайском языке на бытовом уровне (100-200 слов). Но специальная (медицинская, в частности) терминология для меня темный лес. Спасибо, Доктор Марио!
dok
Прошу прощения, я наверно неправильно выразился, образование было лоцировано за углом нижней челюсти, ниже уха, в околоушной слюнной железе.
Let me see...
radiographia.ru
Спасибо, Доктор Марио! Теперь все стало ясно и понятно.
dok