Пол пациента:
Тип патологии:
Область исследования:
Методы исследования:
- https://radiomed.ru/sites/default/files/styles/case_slider_image/public/user/12/2.p4110002.jpg?itok=A_EjolD0
- https://radiomed.ru/sites/default/files/styles/case_slider_image/public/user/12/3.p4110003.jpg?itok=F5PpB2b3
- https://radiomed.ru/sites/default/files/styles/case_slider_image/public/user/12/4.p4110006a_0.jpg?itok=uqeRbnvW
- https://radiomed.ru/sites/default/files/styles/case_slider_image/public/user/12/5.p4110006b_0.jpg?itok=cvm5gg0p
- https://radiomed.ru/sites/default/files/styles/case_slider_image/public/user/12/6.p4110006bv_0.jpg?itok=tLGbdtrg
ID:13691
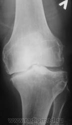
Как бы артроз, то артрозом, а дополнительное образование - костный фрагмент ?, инородное тело?, остеофит !? Он вообще сгибается?
Интереснейшая и редкая картинка! Первое впечатление, что это инородное тело в таком футляре из соединительной ткани. Валентин Львович, расскажите, будьте любезны, что же тут такое????
Даже когда уверен на 100%, непременно подвернется исключение из правил...
Инородного тела нет, не было травмы в ближайшее время. В настоящее время пациент находится в ОКБ, лежит в травматологии.
Да такой "футляр" ... десятилетия копится. Явно не в последние годы повреждение. Не вижу места, откуда бы оторвался фрагмент, и на остеофит явно не тянет. Очень любопытно, что на артроскопии... Если узнаете дальнейшие перипетии пациента, то отпишитесь, пожалуйста!
Даже когда уверен на 100%, непременно подвернется исключение из правил...
Пациенту в области делали толи КТ, толи МРТ сустава, точно не знаю, но он (пациент) еще не возвратился.
Будем подождать!
Даже когда уверен на 100%, непременно подвернется исключение из правил...