You are here

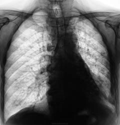
Пациент не проходил «флюшку» с 2007 года. Сегодня направлен на рентгенографию ОГК с подозрением на наличие хронического бронхита.

Пол пациента: 
Тип патологии: 
Методы исследования: 

Пациент не проходил «флюшку» с 2007 года. Сегодня направлен на рентгенографию ОГК с подозрением на наличие хронического бронхита.

  • https://radiomed.ru/sites/default/files/styles/case_slider_image/public/user/12/2.p8240041.jpg?itok=fN8-0DUg
  • https://radiomed.ru/sites/default/files/styles/case_slider_image/public/user/12/3.p8240042.jpg?itok=pWGx_ZzJ
  • https://radiomed.ru/sites/default/files/styles/case_slider_image/public/user/12/4.p8240042a.jpg?itok=Ey1KSVcb
  • https://radiomed.ru/sites/default/files/styles/case_slider_image/public/user/12/5.p8240043.jpg?itok=HVX5jpAH
  • https://radiomed.ru/sites/default/files/styles/case_slider_image/public/user/12/6.p8240043a.jpg?itok=Pw-XQ6CD
ID:14952
skos72's picture
Offline
Last seen: 14 years 7 months ago
Joined: 29.06.2011 - 17:36
Posts: 37

Уж больно тут много всего и пневмосклероз с эмфиземой и выраженной лёгочной гипертензией, и очаговые тени различной плотности, и органы средостения смещены влево  (хотя слева выраженные плевральные шварты и, вероятно, плевро-перикардиальные сращения). Справа в нижнем лёгочном поле какая-то кольцевидная тень (фиброз?, бронхоэктазы?). В такой ситуации лучше всего конечно раздобыть архив. Ну и конечно сделать томограммы, что бы убедиться что смещение средостения связано со спайками, а не с ателектазом нижней доли, а потом уже разобрать с очагами

Катенёв Валентин Львович's picture
Offline
Last seen: 7 years 5 months ago
Joined: 22.03.2008 - 22:15
Posts: 54876

Аржив один - флюшка за 2007 год - "возрастная норма".

Катенёв Валентин Львович's picture
Offline
Last seen: 7 years 5 months ago
Joined: 22.03.2008 - 22:15
Posts: 54876

Томограммы сегодня.

Приложения: 
p8240044.jpgp8240045.jpgp8240046.jpgp8240047.jpgp8240048.jpgp8240049.jpg
skos72's picture
Offline
Last seen: 14 years 7 months ago
Joined: 29.06.2011 - 17:36
Posts: 37

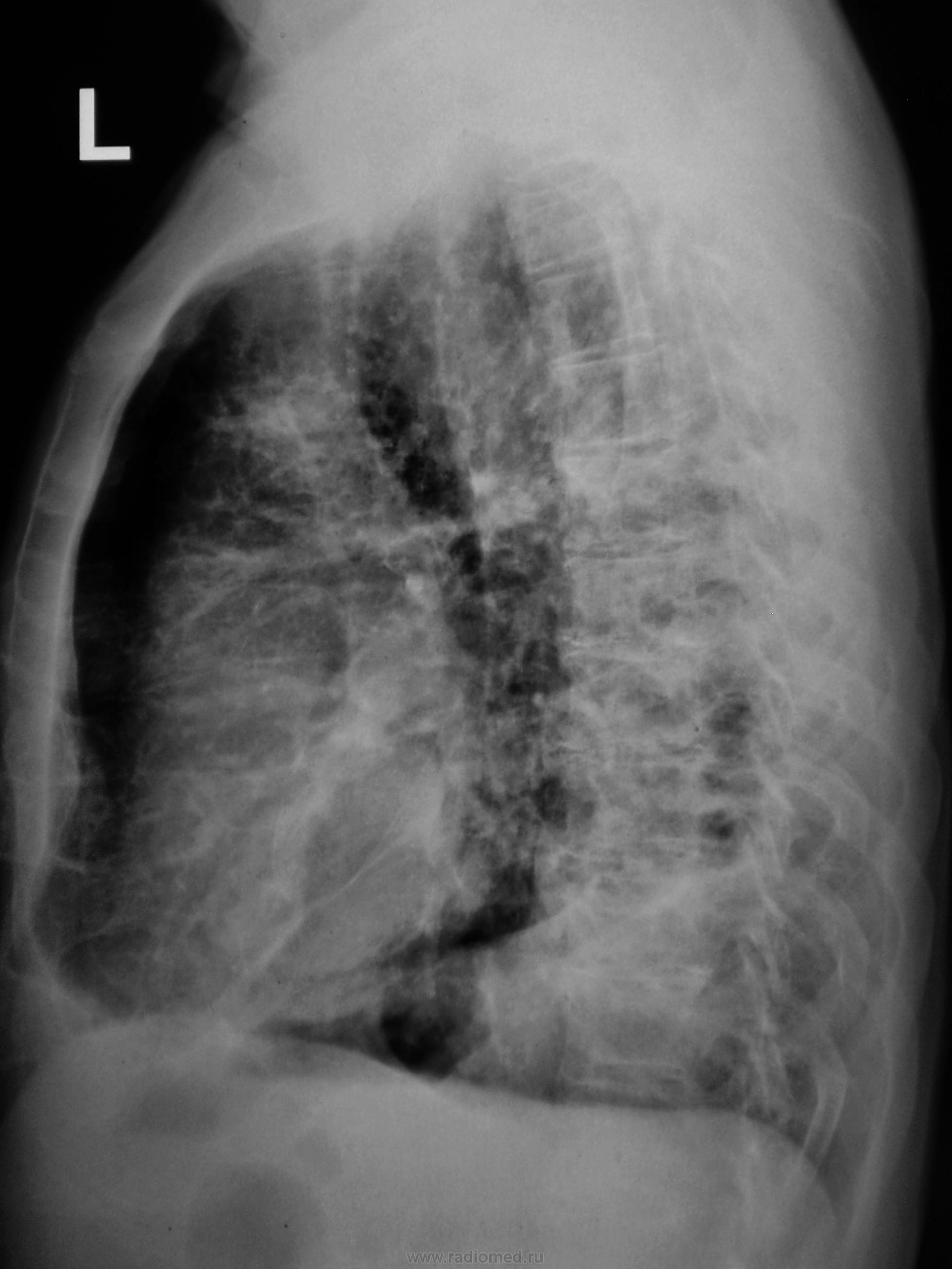
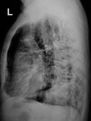
То есть от флюшки только описание? К сожалению на томограммах не видно бронхов. А вот в проекции сердца какие участки просветления, возможно это бронхоэктазы в S10. А в остальном, наверно, очаги фиброза различной величины и формы, слева массивные плевро-апикальные и плевральные наложения ну и то, что писал раньше.

Катенёв Валентин Львович's picture
Offline
Last seen: 7 years 5 months ago
Joined: 22.03.2008 - 22:15
Posts: 54876

В мокроте (метод микроскопии) обнаружены "палки".

гаур моника's picture
Offline
Last seen: 14 years 7 months ago
Joined: 07.07.2011 - 12:17
Posts: 27

помоему тут надо KT потомучто слева такое ощушение что легкое уменшено в размере...

Катенёв Валентин Львович's picture
Offline
Last seen: 7 years 5 months ago
Joined: 22.03.2008 - 22:15
Posts: 54876

Все! Пациент отвезен в "областную туберкулёзную контору", фтизиатры признали в нем нечто родное и близкое...