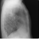
Остаточная плевральная полость с уровнем жидкости. Клиника, кровь на воспалительные изменения, контроль. Не хочется накаркать, но на ограниченную эмпиему можно и погрешить...
Rg-динамика.
"Предоставляя весь смысл и совершенство в распоряжение одного только Бога, вы избавляете себя от бездны хлопот." Джон Уитборн.
Остаточная плевральная полость с уровнем жидкости. Клиника, кровь на воспалительные изменения, контроль. Не хочется накаркать, но на ограниченную эмпиему можно и погрешить...
Остаточная плевральная полость с уровнем жидкости. Клиника, кровь на воспалительные изменения, контроль. Не хочется накаркать, но на ограниченную эмпиему можно и погрешить...
Фиброз может давать весьма причудливую картину. Уровень жидкости надо доказывать. Хотя бы латерографией.
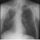
Здравствуйте, уважаемые колеги! Согласен с Андреем Юрьвичем. Состояние после правосторонней верхнедолевой лобэктомии. Средняя доля справа ушла вверх (природа не любит пустоты). Викарная эмфизема левого легкого. Спайки, фиброз, правосторонний фиброторакс. Но справа в проекции S6 полость с горизонтальным уровнем жидкости - хорошо видно на боковом. Может в междолевой щели осумкованный плеврит, абсцесс, эмпиема. Хотелось бы знать немного больше анамнеза, кроме операции. Боли, кашель, температура, изменения в анализе крови и т.д.
Всем спасибо за обсуждение случая) Думаю удастся выложить в динамике.
Клиника воспаления есть. Т - до субфебрильных цифр, боль тоже есть не выражена.
В проекции С6 уровень вижу, апикально нет. За абсцесс не вижу четкой нижней границы. Осумкованные междолевые не дают уровень. Ограниченную послеоперационную эмпиему не исключаю на фоне рассасывающегося геморрагического плеврита и фиброторакса...
Динамика, в любом случае полезна. Для любого торакального хируга такая р-картина - как маслом по сердцу; Вы не представляете, какой там "фестиваль" творится в раннем послеоперационном периоде. Если позволите, по терминам: осторожнее со словом "эмпиема", оно накладывает большую отвественность; да и "геморрагический плеврит" сейчас уже не пишут, правильней "гидроторакс"; для "фиброторакса" - не так велик объем (термин для пульмонэктомии), тут более уместен "фиброз" или "плеврофиброз".
Всем спасибо за обсуждение случая) Думаю удастся выложить в динамике.
Клиника воспаления есть. Т - до субфебрильных цифр, боль тоже есть не выражена.
В проекции С6 уровень вижу, апикально нет.
- Не удивительно, при таком то качестве бокового снимка. Возьмите на скопию и убедитесь (кстати он не один)
Mitkampfer wrote:
За абсцесс не вижу четкой нижней границы. Осумкованные междолевые не дают уровень.
Об этом вообще речь не идет. Совершенно разный патогенез процессов. В даном случае ограниченый пневмогидроторакс вследствии недорасправления легкого (после операции остался воздух в плевральной полости) и неполной облитерации плевральной полости (остается жидкость). Два варианта развития событий: благоприятный - воздух рассасывается, полости заполняются жидкостью, затем фиброзируются; неблагоприятный - нагноение. О развитие локальной эмпиемы судят по клинической картине и ретгенологической динамике.
P.S. Сколько времени прошло после операции? У нас в раннем послеоперационном периоде такие уровни, как куполе гемиторакса обычно дренируют.
Уважаемый Валентин Львович, без клинико-анамнестических данных эти снимки можно трактовать по-разному. Но, принимая во внимание Ваши намеки на "горький финал" , предположу: несостоятельность культи бронха, эмпиема плевры остаточной полости, пневмония единственного легкого
Уважаемый Валентин Львович, без клинико-анамнестических данных эти снимки можно трактовать по-разному. Но, принимая во внимание Ваши намеки на "горький финал" , предположу: несостоятельность культи бронха, эмпиема плевры остаточной полости, пневмония единственного легкого
Не, пациент жив, хотя его ветром и качает.
А пневмония ли то, в верхней доле правого лёгкого?
Не обязательно пневмония, скорее - гемодинамические нарушения. Я написала самый неблагоприятный сценарий, исходя из все тех же Ваших слов. Если можно, поподробнее клинико-анамнестические данные.
Оперирован в области по поводу Са левого лёгкого, произведена пульмонэктомия. Сначала, все было вроде бы нормально. Первые снимки - был направлен хирургом по поводу болей в левой половине грудной клетки, хирург, не мудрствуя лукаво, в виде диагноза написал "перелом ребер" и направил на рентгенографию. А, следующие снимки - пациент закашлял, поднялась температура.
О состоянии после операции на правом легком.
Андрей Юрьевич
Что коллега, смущает горизонтальный уровень справа апикально?
На уровне заднего отрезка 7 ребра справа больше смущает.
Не ограничивайте свою мысль
Живешь пока учишься
Ecrasez l’infame
Да нет, ничего особенного, операция-то "калечащая" (вернее, травматичная): дефекты, раны, рубцы, фиброзы.
Андрей Юрьевич
Остаточная плевральная полость с уровнем жидкости. Клиника, кровь на воспалительные изменения, контроль. Не хочется накаркать, но на ограниченную эмпиему можно и погрешить...
Rg-динамика.
"Предоставляя весь смысл и совершенство в распоряжение одного только Бога, вы избавляете себя от бездны хлопот." Джон Уитборн.
+ 1
Здравствуйте Любочка!
Здравствуйте, славный Валентин Львович! Надо бежать, так что до встреч!

"Предоставляя весь смысл и совершенство в распоряжение одного только Бога, вы избавляете себя от бездны хлопот." Джон Уитборн.
Фиброз может давать весьма причудливую картину. Уровень жидкости надо доказывать. Хотя бы латерографией.
Андрей Юрьевич
Здравствуйте, уважаемые колеги! Согласен с Андреем Юрьвичем. Состояние после правосторонней верхнедолевой лобэктомии. Средняя доля справа ушла вверх (природа не любит пустоты). Викарная эмфизема левого легкого. Спайки, фиброз, правосторонний фиброторакс. Но справа в проекции S6 полость с горизонтальным уровнем жидкости - хорошо видно на боковом. Может в междолевой щели осумкованный плеврит, абсцесс, эмпиема. Хотелось бы знать немного больше анамнеза, кроме операции. Боли, кашель, температура, изменения в анализе крови и т.д.
dok
А, может уровней жидкости не один, а два?
Два. Один на верхушке, второй в м/долевой щели. Обычная картина после операции. Если есть клиника воспаления, их пунктируют
"самоуверенность дилетантов - предмет зависти профессионалов"
Всем спасибо за обсуждение случая) Думаю удастся выложить в динамике.
Клиника воспаления есть. Т - до субфебрильных цифр, боль тоже есть не выражена.
В проекции С6 уровень вижу, апикально нет. За абсцесс не вижу четкой нижней границы. Осумкованные междолевые не дают уровень. Ограниченную послеоперационную эмпиему не исключаю на фоне рассасывающегося геморрагического плеврита и фиброторакса...
Не ограничивайте свою мысль
Живешь пока учишься
Ecrasez l’infame
Динамика, в любом случае полезна. Для любого торакального хируга такая р-картина - как маслом по сердцу; Вы не представляете, какой там "фестиваль" творится в раннем послеоперационном периоде. Если позволите, по терминам: осторожнее со словом "эмпиема", оно накладывает большую отвественность; да и "геморрагический плеврит" сейчас уже не пишут, правильней "гидроторакс"; для "фиброторакса" - не так велик объем (термин для пульмонэктомии), тут более уместен "фиброз" или "плеврофиброз".
Андрей Юрьевич
- Не удивительно, при таком то качестве бокового снимка. Возьмите на скопию и убедитесь (кстати он не один)
Об этом вообще речь не идет. Совершенно разный патогенез процессов. В даном случае ограниченый пневмогидроторакс вследствии недорасправления легкого (после операции остался воздух в плевральной полости) и неполной облитерации плевральной полости (остается жидкость). Два варианта развития событий: благоприятный - воздух рассасывается, полости заполняются жидкостью, затем фиброзируются; неблагоприятный - нагноение. О развитие локальной эмпиемы судят по клинической картине и ретгенологической динамике.
P.S. Сколько времени прошло после операции? У нас в раннем послеоперационном периоде такие уровни, как куполе гемиторакса обычно дренируют.
"самоуверенность дилетантов - предмет зависти профессионалов"
Операция выполнена 15 августа 2011г. Замечания принял к сведению. Всем спасибо.
Не ограничивайте свою мысль
Живешь пока учишься
Ecrasez l’infame
Завтра, здесь выставлю случай (аналогичная операция), но не с таким "сладким" продолжением..., горькое продолжение будет...
Состояние после пульмонэктомии.
Через 4 месяца.
Через 2 недели.
Уважаемый Валентин Львович, без клинико-анамнестических данных эти снимки можно трактовать по-разному. Но, принимая во внимание Ваши намеки на "горький финал" , предположу: несостоятельность культи бронха, эмпиема плевры остаточной полости, пневмония единственного легкого
"самоуверенность дилетантов - предмет зависти профессионалов"
Я вообще не понимаю как можно выписывать после такой травмирующей операции через 2 недели (в моем случае) с Т-38. Но таковы нынешние правила.
Не ограничивайте свою мысль
Живешь пока учишься
Ecrasez l’infame
Не, пациент жив, хотя его ветром и качает.
А пневмония ли то, в верхней доле правого лёгкого?
Томограммы.
Не обязательно пневмония, скорее - гемодинамические нарушения. Я написала самый неблагоприятный сценарий, исходя из все тех же Ваших слов. Если можно, поподробнее клинико-анамнестические данные.
"самоуверенность дилетантов - предмет зависти профессионалов"
Оперирован в области по поводу Са левого лёгкого, произведена пульмонэктомия. Сначала, все было вроде бы нормально. Первые снимки - был направлен хирургом по поводу болей в левой половине грудной клетки, хирург, не мудрствуя лукаво, в виде диагноза написал "перелом ребер" и направил на рентгенографию. А, следующие снимки - пациент закашлял, поднялась температура.
Между 1 и 2 снимками плевральную пункцию не делали?
"самоуверенность дилетантов - предмет зависти профессионалов"
Пунктировали, пунктировали трижды. После первого снимка, после пункции, "жидкость" и обнаружили.
и что за "жидкость" была?
"самоуверенность дилетантов - предмет зависти профессионалов"
Жидкость была геморрагической.