You are here

Лаборант флюорографа, сделав «флюшку», под «конвоем» привел пациента в рентгеновский кабинет.

Пол пациента: 
Тип патологии: 
Методы исследования: 

Ваше мнение уважаемые коллеги.

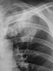
Томограммы.

  • https://radiomed.ru/sites/default/files/styles/case_slider_image/public/user/12/2.p9080021.jpg?itok=KuamxZh4
  • https://radiomed.ru/sites/default/files/styles/case_slider_image/public/user/12/3.p9080024.jpg?itok=hLz_m4BP
  • https://radiomed.ru/sites/default/files/styles/case_slider_image/public/user/12/4.p9080022.jpg?itok=QWLpjx-h
  • https://radiomed.ru/sites/default/files/styles/case_slider_image/public/user/12/5.p9080023.jpg?itok=BlzSmdua
  • https://radiomed.ru/sites/default/files/styles/case_slider_image/public/user/12/11.p9080025.jpg?itok=ulm6D8mP
  • https://radiomed.ru/sites/default/files/styles/case_slider_image/public/user/12/12.p9080026.jpg?itok=zsDvycdc
  • https://radiomed.ru/sites/default/files/styles/case_slider_image/public/user/12/13.p9080027.jpg?itok=m_29Eipn
  • https://radiomed.ru/sites/default/files/styles/case_slider_image/public/user/12/14.p9080028.jpg?itok=4iCvS55t
ID:15415
Сан Саныч1's picture
Offline
Last seen: 1 year 4 months ago
Joined: 07.06.2010 - 21:17
Posts: 2114

тбц?

Хочешь сделать что-то нормально - сделай это сам!

Игорь Иванович's picture
Offline
Last seen: 4 years 2 months ago
Joined: 23.01.2010 - 14:56
Posts: 3695

Наши  фтизиатры  написали бы пневмонию, противовоспалительную и т.д. терапию, а потом контроль, но в их учреждении. И они будут правы. А если я сам такое предложу -  буду недотепой. А вылезет рачок.

Катенёв Валентин Львович's picture
Offline
Last seen: 7 years 5 months ago
Joined: 22.03.2008 - 22:15
Posts: 54876

Спасибо Сан-Саныч за высказанное мнение.

Спасибо Игорь Иванович Вам за комент.

 

Я прикинул, описал скиалогию и в протоколе жестко порекомендовал, после проведения противовоспалительной терапии, обязательный рентген-контроль.

Сан Саныч1's picture
Offline
Last seen: 1 year 4 months ago
Joined: 07.06.2010 - 21:17
Posts: 2114

Я бы сделал так же. Пару раз у меня такие туберкулезы рассасывались после недельной а/б терапии.

Хочешь сделать что-то нормально - сделай это сам!

Катенёв Валентин Львович's picture
Offline
Last seen: 7 years 5 months ago
Joined: 22.03.2008 - 22:15
Posts: 54876

Сан Саныч1 wrote:

Я бы сделал так же. Пару раз у меня такие туберкулезы рассасывались после недельной а/б терапии.

Так, мы так и сделали...

Катенёв Валентин Львович's picture
Offline
Last seen: 7 years 5 months ago
Joined: 22.03.2008 - 22:15
Posts: 54876

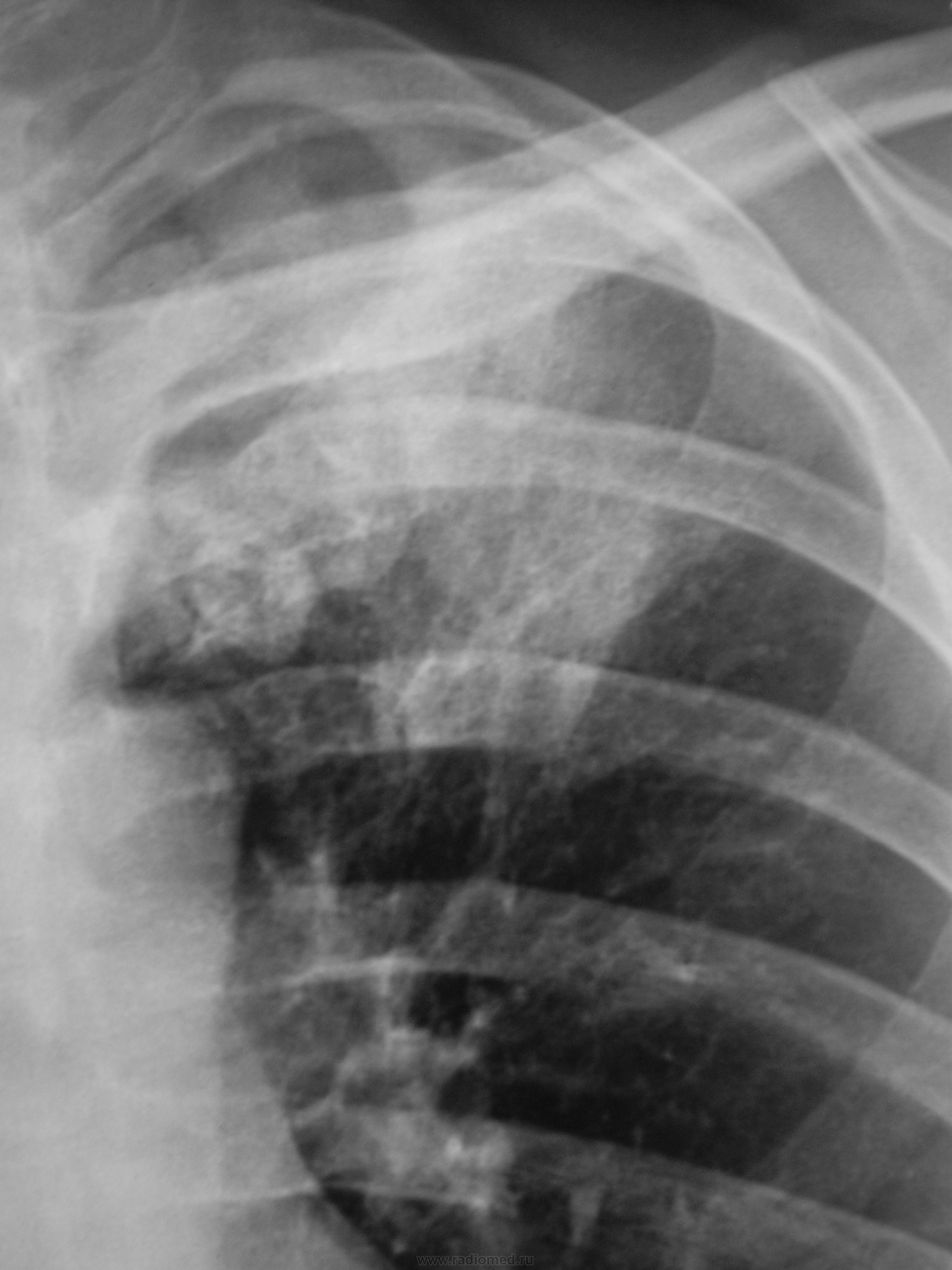
Через 10 дней после интенсивнейшей терапии – рентгенограммы

Приложения: 
1.rent_.p9080029.jpg2.rent_.p9080030.jpg
Катенёв Валентин Львович's picture
Offline
Last seen: 7 years 5 months ago
Joined: 22.03.2008 - 22:15
Posts: 54876

Томограммы.

Приложения: 
1._tom.p9080031.jpg2.tom_.p9080032.jpg3.tom_.p9080033.jpg
Игорь Иванович's picture
Offline
Last seen: 4 years 2 months ago
Joined: 23.01.2010 - 14:56
Posts: 3695

Под конвоем - это как? - пациент не предъявлял жалоб - а его под конвой?, или он и сам был не против конвоя, только делал вид? Выкладываю 10-дневную динамику стертожалобного молодого пациента, которому предварительно выставил пневмонию, хотя совсем был не уверен в этом. Думал, что без ТБС тут не обойдется.

Приложения: 
1977g.r.05.08.2011g.jpg150820111600.jpg
Катенёв Валентин Львович's picture
Offline
Last seen: 7 years 5 months ago
Joined: 22.03.2008 - 22:15
Posts: 54876

Контроль - вчера.

Приложения: 
1.p9190029.jpg2.p9190031.jpg3.p9190032.jpg4.p9190032a.jpg5.p9190033.jpg
КАГ's picture
Offline
Last seen: 10 months 3 weeks ago
Joined: 24.10.2010 - 16:30
Posts: 199

Одним словом псц, ой, простите, туберкулез!!! Мокроту сеяли???

Катенёв Валентин Львович's picture
Offline
Last seen: 7 years 5 months ago
Joined: 22.03.2008 - 22:15
Posts: 54876

ВК -