You are here

Легкие. 3 недели назад спленэктомия. Ваше мнение?

Мужчина 54 года. Слабость и лихорадка неделю. 3 недели назад спленэктомия по поводу тупой травмы живота. Поступает через несколько дней после выписки по "скорой". Дежурит пульмонолог, видит обзорный снимок, берет на бронхоскопию: данных за центральный рак нет.

КТ 7.12.

  • https://radiomed.ru/sites/default/files/styles/case_slider_image/public/user/2841/legkie--2b.jpg?itok=0x3E09BG
  • https://radiomed.ru/sites/default/files/styles/case_slider_image/public/user/2841/legkie--4a.jpg?itok=RSXY-fw5
  • https://radiomed.ru/sites/default/files/styles/case_slider_image/public/user/2841/legkie--4b.jpg?itok=0m54zdrF
  • https://radiomed.ru/sites/default/files/styles/case_slider_image/public/user/2841/rzh0003.jpg?itok=wGk3ydpq
  • https://radiomed.ru/sites/default/files/styles/case_slider_image/public/user/2841/rzh0004.jpg?itok=yRjJbITk
  • https://radiomed.ru/sites/default/files/styles/case_slider_image/public/user/2841/rzh0005.jpg?itok=JDxxQBTP
  • https://radiomed.ru/sites/default/files/styles/case_slider_image/public/user/2841/rzh0006.jpg?itok=9Tt9o6sZ
  • https://radiomed.ru/sites/default/files/styles/case_slider_image/public/user/2841/rzh0007.jpg?itok=AUuyDA3w
  • https://radiomed.ru/sites/default/files/styles/case_slider_image/public/user/2841/rzh0008.jpg?itok=1bZBpcAw
  • https://radiomed.ru/sites/default/files/styles/case_slider_image/public/user/2841/rzh0009.jpg?itok=9eK6diz3
  • https://radiomed.ru/sites/default/files/styles/case_slider_image/public/user/2841/rzh0010.jpg?itok=LS8zT3l-
  • https://radiomed.ru/sites/default/files/styles/case_slider_image/public/user/2841/rzh0011.jpg?itok=v3eFzNUw
  • https://radiomed.ru/sites/default/files/styles/case_slider_image/public/user/2841/rzh0012.jpg?itok=VfouuuZk
  • https://radiomed.ru/sites/default/files/styles/case_slider_image/public/user/2841/rzh0013.jpg?itok=kf68HE_d
ID:51280
И.Бондаренко's picture
Offline
Last seen: 4 days 12 hours ago
Joined: 13.09.2011 - 22:55
Posts: 9206

Возможно пневмония, но думаю, что можно обойтись описательной картиной. Судя по всему больной стоял, так может доснять правый бок?

Nikolas's picture
Offline
Last seen: 2 months 2 weeks ago
Joined: 21.12.2010 - 20:37
Posts: 4559

возможно, с  междолевым выпотом. О генезе пневмонии надо решать с терапевтом. После операции может быть, что угодно. Боковой обязателен. С уважением Nik

Катенёв Валентин Львович's picture
Offline
Last seen: 7 years 1 month ago
Joined: 22.03.2008 - 22:15
Posts: 54876

Хорошо сказано - "Дежурит пульмонолог, видит обзорный снимок...".

Да, действительно, только обзорный снимок.

ЛГ's picture
Offline
Last seen: 8 years 11 months ago
Joined: 06.01.2010 - 12:31
Posts: 3523

Добавила боковой.

За качество извиняюсь.

Бородулин М.А.'s picture
Offline
Last seen: 10 months 3 days ago
Joined: 17.02.2011 - 01:10
Posts: 1409

ЛГ wrote:

Добавила боковой.

За качество извиняюсь.

Чем подтверждено предположение Nikolas(a) о междолевом выпоте и  ниспровергнуто предположение пульмонолога о центральной опухоли.

ЛГ's picture
Offline
Last seen: 8 years 11 months ago
Joined: 06.01.2010 - 12:31
Posts: 3523

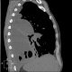
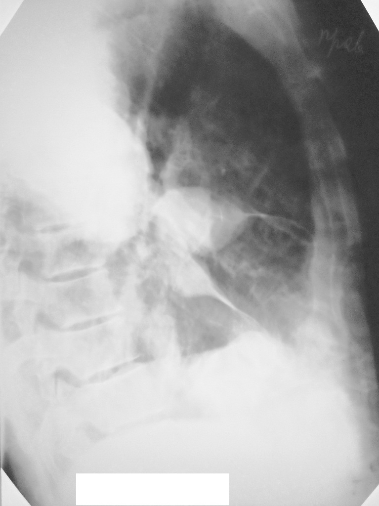
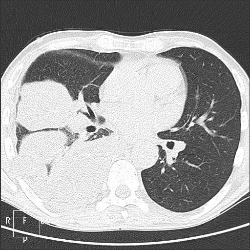
При поступлении 6.12. дежурным хирургом назначен обзорный снимок ОГК. После которого назначена консультация терапевта. После ФБС пульмонолог назначил боковой снимок. Утром 7.12. описывала оба снимка. Помимо междолевого выпота, не понравилась какая-то странная пневмония в нижней доле. Решила перестраховаться и взять на КТ. Реконструкции (лежа на спине):

Приложения: 
rzh0001.jpgrzh0002.jpg
Евгений1313's picture
Offline
Last seen: 13 years 3 weeks ago
Joined: 15.10.2010 - 19:13
Posts: 808

Думаю картина накопления жидкости в междолевых щелях.

Ola-la's picture
Offline
Last seen: 10 months 3 weeks ago
Joined: 06.12.2008 - 09:33
Posts: 1786

Плюс осумкованный паракостальный плеврит по задней поверхности.

ЛГ's picture
Offline
Last seen: 8 years 11 months ago
Joined: 06.01.2010 - 12:31
Posts: 3523

Вставила в начале КТ.

Катенёв Валентин Львович's picture
Offline
Last seen: 7 years 1 month ago
Joined: 22.03.2008 - 22:15
Posts: 54876

Ola-la wrote:

Плюс осумкованный паракостальный плеврит по задней поверхности.

+1.

Да, междолевые осумкования, паракостальный осумкованный + правосторонний наддиафрагмальный, тоже осумкованный.

Паракостальный, конечно, уже с признаками пневмоплеврита.

Бородулин М.А.'s picture
Offline
Last seen: 10 months 3 days ago
Joined: 17.02.2011 - 01:10
Posts: 1409

Жидкость:

количество____________

Цвет________________

прозрачность_______________

Содержание белка___________

Содержание сахара____________

Гематокрит плевральнй жидкости___________

Клеточный состав ________________

???

ЛГ's picture
Offline
Last seen: 8 years 11 months ago
Joined: 06.01.2010 - 12:31
Posts: 3523

smiley По КТ поставила эмпиему. Пункция после КТ по моей метке - гной. Анализ в работе.

Кровь: гемоглобин 86, лейкоциты 15, палочки 12, СОЭ 43.

Ola-la's picture
Offline
Last seen: 10 months 3 weeks ago
Joined: 06.12.2008 - 09:33
Posts: 1786

А большие полости - это что, пневмоплеврит в результате бронхоплеврального свища, или это фиброателектаз н/доли?

Almo's picture
Offline
Last seen: 2 days 14 hours ago
Joined: 28.09.2008 - 18:50
Posts: 8280

Вопрос хороший! Думаю, что это не фиброателектаз, а скорее участки дестукции, в прилежащей к изменённой плевре лёгочной ткани. Может быть, кто-то видел такое на операции или на вскрытии?

ЛГ's picture
Offline
Last seen: 8 years 11 months ago
Joined: 06.01.2010 - 12:31
Posts: 3523

Свища не разглядела. Думаю, это результат нагноения в частично осумкованном выпоте.

Может, свищ и был, сейчас пока трудно сказать, пока не удалят гной.

Евгений1313's picture
Offline
Last seen: 13 years 3 weeks ago
Joined: 15.10.2010 - 19:13
Posts: 808

Полости в плевральной полости(туфтология) это фибринозные полости.Видно травма была не только живота.Просмотрели.

ЛГ's picture
Offline
Last seen: 8 years 11 months ago
Joined: 06.01.2010 - 12:31
Posts: 3523

История анекдотично-детективная на самом деле.

Пациента, вполне социального человека, даже какой-то там начальник... по-дружески мощно ткнули в бок со словами: "Так бьёт Кличко!" Удар был довольно сильный, поболело немного, на след.день пациент поехал в командировку, в тамбуре поезда дважды терял сознание, нарастала слабость. На 3-й день вернулся домой и слёг в полуобморочном состоянии. Вызвали "скорую", доставлен в больницу, гемоглобин 50, по цито УЗИ брюшной полости, в которой обнаружено и много свободной жидкости, и неправильная форма и структура селезёнки (со слов УЗИста сейчас), взяли в операционную. В брюшной полости 3 литра крови и разрыв селезенки. Спленэктомия. Кровь, неизвестно сколько побывавшую в брюшной полости, в вену вливать не стали, замена донорской. Пациент 2 суток в реанимации, потом переведен в хирургию. Получше стало, просился на выписку. t субфебрильная, однократно "свечка" до 390. Со слов хирурга, субфебриллитет после спленэктомии наблюдается нередко. Косяк - не назначена рентгенография легких. Выписан.

А уже дома субфебриллитет перерос в фебрильную t, госпитализирован повторно. Сейчас, ретроспективно, есть мысли о том, что разорвать ударом в бок здоровую селезенку довольно сложно. Скорее, имел место вялотекущий воспалительный процесс, и не факт, что селезенка не была изменена. Септическая ли - неизвестно, явных абсцессов на макропрепарате не было, что там на микро - лечащий врач как-то не в курсе((... Гадать можно долго и безуспешно, на сегодняшний день имеет спокойный живот, воспалительную кровь и гной в плевральной полости, причем справа.

В понедельник разузнаю про все анализы, отпишусь. Пневмонии в легких по КТ не нашла, пневмоплеврофиброз справа + массивные осумкованные выпоты, в паракостальном заднем - с пузырьками воздуха и уровнями, бисегментарный компрессионный ателектаз в нижней доле. 

Евгений1313's picture
Offline
Last seen: 13 years 3 weeks ago
Joined: 15.10.2010 - 19:13
Posts: 808

Выпот в плевральную полость-думаю нагноившаясь ,излившеяся кровь.Надо делать снимок перед операцией.

ЛГ's picture
Offline
Last seen: 8 years 11 months ago
Joined: 06.01.2010 - 12:31
Posts: 3523

Вы правы, Евгений, но сейчас легко говорить, особенно, если не хирург и не ургент, а постфактум. Предстоит разбор полётов по предыдущей истории, это факт.

Переломов рёбер не выявлено. Ни справа, ни слева. Вопросов много, сейчас более насущное - вылечить эмпиему. А что было - воспалительный процесс в правом гемитораксе, пневмония ли, выпот ли, кровь... только гадать.

Евгений1313's picture
Offline
Last seen: 13 years 3 weeks ago
Joined: 15.10.2010 - 19:13
Posts: 808

Мне не понятно ...Почему дежурный врач выполнил бронхоскопию,хотя делать надо было рентген? Его ведь насторожило что-то?

Евгений1313's picture
Offline
Last seen: 13 years 3 weeks ago
Joined: 15.10.2010 - 19:13
Posts: 808

А УЗист УЗист то..Ему не сказали посмотреть пл.полости-он и не стал.

Ola-la's picture
Offline
Last seen: 10 months 3 weeks ago
Joined: 06.12.2008 - 09:33
Posts: 1786

А КТ сделана до плевральной пункции или после? Откуда воздух то в плевральной полости (либо после пункции, либо свищ; если свищ - значит, пневмония есть).

Евгений1313's picture
Offline
Last seen: 13 years 3 weeks ago
Joined: 15.10.2010 - 19:13
Posts: 808

А воздух в пл. полости из разрыва легочной ткани.

ЛГ's picture
Offline
Last seen: 8 years 11 months ago
Joined: 06.01.2010 - 12:31
Posts: 3523

Видимо, я мутно объяснила хронологию событий.

Еще раз. Травма живота 3,5 недели назад. Поступил через 4 суток после травмы, оперирован. Снимков при первом поступлении не назначили. Выписан.

Дома субфебриллитет, потом фебрильная t. Поступил вечером 6 декабря по "скорой", в приемном покое деж.хирургом назначен обзорный снимок легких, потому как несмотря на спленэктомию, живот спокойный. Снимок смотрит дежурный терапевт=пульмонолог. Он предполагает центральный рак и тут же берет на бронхоскопию, где данных за центральный рак не находит. Затем, тем же вечером назначает боковой снимок. Похоже, его никто не видел из дежурантов... или не понял, что на нем.

Утром 7 декабря я вижу 2 снимка, описываю осумкованные междолевые выпоты, и с учетом не вполне укладывающейся в пневмонию рентгенкартины, с учетом t и цитового анализа крови, беру на КТ. Выставляю эмпиему под вопросом, осумкованные выпоты справа, не вижу патологии со стороны верхнего этажа брюшной полости, ставлю метку для пункции. Через час после КТ пациента пунктируют. После получения в пункции гноя, пациента переводят в отделение гнойной хирургии.

ЛГ's picture
Offline
Last seen: 8 years 11 months ago
Joined: 06.01.2010 - 12:31
Posts: 3523

Откуда воздух в плевральной полости - не могу сказать, но признаков абсцедирующей пневмонии на КТ я не нашла. Либо пациенту делалась диагностическая пункция плевральных полостей при первом поступлении, либо свищ. Другого объяснения у меня нет, как и старой истории болезни. Позвонила в гнойную хирургию, в пунктате выявлен эпидермальный стафилококк. Остальные данные смогу предоставить только в понедельник.

Nikolas's picture
Offline
Last seen: 2 months 2 weeks ago
Joined: 21.12.2010 - 20:37
Posts: 4559

Какой? Правый или левый? Согласен с #16. Больной скрывает, что его пинали со всех сторон. Если это так, то все становится просто.

Fira's picture
Offline
Last seen: 13 years 8 months ago
Joined: 10.12.2011 - 17:55
Posts: 17

У болного изначально вроде по снимкам как я поняла была правостороння пневмония осложненная междолевым плевритом . А картина нынешнего состояния -ужасна . осложена до невозможности , в правом косто-диафрагмальном синусе нет свободной жидкости . не вижу по крайней мере , а картина в средней доле правого легкого-гомогенное интенсивное затемнение - похожу на крупозную пневмонию , выпот конечно же не исключается , хотя не понимаю как вы по Р-грамме можете судить об осумкованности или наличии выпота в этой области. Тут обязательна Р-скопия !!! Или же узист может подтвердить наличие жидкости . 

Евгений1313's picture
Offline
Last seen: 13 years 3 weeks ago
Joined: 15.10.2010 - 19:13
Posts: 808

Всё ясно-пошли на поводу у малограмотного пульмонолога.

ЛГ's picture
Offline
Last seen: 8 years 11 months ago
Joined: 06.01.2010 - 12:31
Posts: 3523

Смысл последних постов мне непонятен... 

Кто на поводу пошел... неясно. Ну да ладно, я дважды всё изложила, а если кто считает, что прав - никаких возражений. Будут новости - напишу.

Fira, представлены 2 снимка, прямая и боковая проекции от 6.12.2011  и компьютерная томография от 7.12.2011. Никаких предыдущих снимков не было. В моем комментарии #6 - реконструкции с КТ, которые  приближены к привычным для рентгенолога снимкам. Зачем мне скопия (которая не работает), если есть КТ... О наличии жидкости в междолевых щелях я судила по снимкам от 6.12. И подтвердила это наличие на КТ. В средней доле всё спокойно (оранжевым):

Приложения: 
066055.png
Катенёв Валентин Львович's picture
Offline
Last seen: 7 years 1 month ago
Joined: 22.03.2008 - 22:15
Posts: 54876

Да, интересный, неоднозначный случай. Такие "дела плевральные" можно обсуждать разно, и каждый будет прав. Но, наличие снимка (или флюшки), который был сделан, пусть за год, или два до этого "карнавала" (с ударом связанном) расставили многие бы "точки".

ЛГ's picture
Offline
Last seen: 8 years 11 months ago
Joined: 06.01.2010 - 12:31
Posts: 3523

ФЛГ у меня нет. Как и истории болезни. Пациента со всеми материалами перевели в область в торакальное отделение. На сегодняшний день дополнительной информацией не располагаю.

Владислав3337's picture
Offline
Last seen: 14 years 1 week ago
Joined: 17.12.2011 - 14:17
Posts: 41

Классика осумкованной жидкости во всех междолевых пространствах. Воспалительная инфильтрация в С9,10. Возможно имеет место эмпиема.  

Приложения: 
111.jpg
Евгений1313's picture
Offline
Last seen: 13 years 3 weeks ago
Joined: 15.10.2010 - 19:13
Posts: 808

При наличии такого анамнеза -классика не срабатывает.

Bob's picture
Bob
Offline
Last seen: 11 years 11 months ago
Joined: 20.08.2011 - 20:06
Posts: 218

Евгений1313 wrote:

Всё ясно-пошли на поводу у малограмотного пульмонолога.

Пульмонолог в отличии от автора выщеуказанного комментария представляется гораздо более грамотным.

Возможно немного ленив.