Пол пациента:
Тип патологии:
Область исследования:
Методы исследования:
- https://radiomed.ru/sites/default/files/styles/case_slider_image/public/user/12/2.pc160014.jpg?itok=_t8MdR9w
- https://radiomed.ru/sites/default/files/styles/case_slider_image/public/user/12/3.pc160015.jpg?itok=WBroj-z7
- https://radiomed.ru/sites/default/files/styles/case_slider_image/public/user/12/4.pc160012.jpg?itok=Di9iVM9q
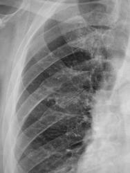
- https://radiomed.ru/sites/default/files/styles/case_slider_image/public/user/12/5.pc160012a.jpg?itok=j14fJgFN
- https://radiomed.ru/sites/default/files/styles/case_slider_image/public/user/12/6.pc160013.jpg?itok=XPJXUdgB
- https://radiomed.ru/sites/default/files/styles/case_slider_image/public/user/12/7.pc160013a.jpg?itok=brUlZqXE
- https://radiomed.ru/sites/default/files/styles/case_slider_image/public/user/12/8.pc160013d.jpg?itok=y0ZpTAR5
ID:17615
Отпустить пожилого человека с богом. Сердце уже не то, но что поделаешь.
Здравствуйте Игорь Иванович!
Так его никто и не задержал.
плевры справа. Nik
Что же у него? Межреберный костный мостик?
Думаю ...и инкрустация...и мостик...на фоне консолидованых старых переломов ребер....
Так что Игорь Иванович прав, дедушке - домой.
Болезни ног: виды, симптомы, причины, профилактика и лечение
Почти по Флоберуэ
Консолидированые переломы ребер - как признак буйной молодости.
Плевральная реакция
Я думаю что и не мостик , а межреберный неартроз.
Справа консолидированнные переломы задних отрезков 6-7 ребер, далее произошло развитие избыточной костной мозоли. далее сформировался ложный сустав между ними, далее образовался неоартроз. Правые отделы сердца выглядят увеличенными в мпервую очередь за счет разворота больного. В боковой проекции добовляет ощющение снижения прозрачности легочной ткани обызвествление передней продольной связки позвоночника с образующимися косстными анкилозами на уровне тел ТН7-ТН10.
Подозрительно долго этот случай держится на первой полосе. Неужели Валентин Львович какую-то свинью подсовывает? Что это за кругляк на фоне левого предсердия, оно и есть? Или нисходящая аорта танцует ламбаду? Или в S9 что-то есть? Наверное, нельзя долго смотреть на снимки (как и на картины), можно "поехать". Первое мнение самое правильное.
Игорь Иванович. Именно, круглая тень справа привлекает сразу внимание. Когда был выставлен только обзорный снимок в прямой проекции, подумал о кисте, липоме в передне-нижнем средостении. Не исключал и осумкованный посттравматический выпот, так как у больного с этой стороны следы перелома ребер. Мечтал о патологии в заднем средостении. Ждал, что выскажутся коллеги, хорошо знающие сердечную патологию в рентгеновском отображении. Но все обсуждение было направлено на ребра и я оставил ветку. Больного отпустили домой, как Вы хотели.
Здравствуйте уважаемый Игорь Иванович!
Я животноводством занимался в молодые годы, сейчас уже нет, но свинину считаю самым вкусным и шикарным мясом...Вы правы, долго рассматривать "картинки" нельзя, иначе обязательно привидится, и только "Чур меня, чур меня"...иногда помогает.
Ну, то, что больного отпустили, так то ничего не значит...А, куда он смоется (больной) с нашей "подводной лодки...
А позвонок, есть там передний контур? Или так рисунок сложился?
А может так?
А, БОГ его знает, сам в недоумении. Вот и выставил.
См. рисунок с кругом. Nik
Мне показалось, что то, окостеневшая передняя продольная связка "пудрит" мозги.
Вообще то -это не левое а правое предсердие