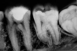
Пол пациента: Мужской пол Тип патологии: Другое Область исследования: Челюстно-лицевая область и шея Методы исследования: Rg Болит зубик. https://radiomed.ru/sites/default/files/styles/case_slider_image/public/user/12/2.zub_.pc230002abn.jpg?itok=OGNm6w29 ID:17753 Sun, 25/12/2011 - 18:53 #1 И.Бондаренко Offline Last seen: 2 days 13 hours ago Joined: 13.09.2011 - 22:55 Posts: 9206 Лечить надо. Удалять не стоит. Sun, 25/12/2011 - 20:18 #2 HealthER Offline Last seen: 10 years 4 months ago Joined: 23.12.2011 - 11:45 Posts: 132 к стоматологу терапевту. об удалении и речи быть не может. грануляционные изменения вокруг корней 6 и 7 зуба. хроническое воспаление и больше ничего. Sun, 25/12/2011 - 20:41 #3 Регион05Наира Offline Last seen: 13 years 10 months ago Joined: 26.11.2011 - 14:43 Posts: 59 A кроме периодонтита больше ничего нет? Корешочек не сломан? Sun, 25/12/2011 - 21:46 #4 Евгений1313 Offline Last seen: 13 years 3 weeks ago Joined: 15.10.2010 - 19:13 Posts: 808 Оба зуба-удалять, разрушена бифуркация.
Лечить надо. Удалять не стоит.
к стоматологу терапевту. об удалении и речи быть не может. грануляционные изменения вокруг корней 6 и 7 зуба. хроническое воспаление и больше ничего.
A кроме периодонтита больше ничего нет? Корешочек не сломан?
Оба зуба-удалять, разрушена бифуркация.