You are here

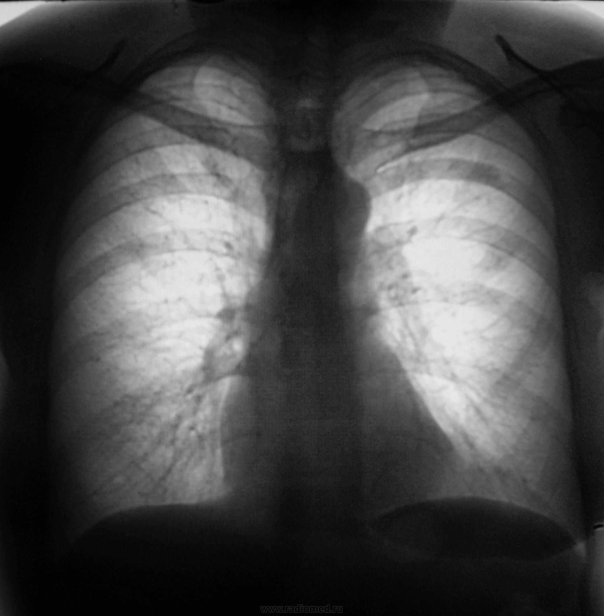
При расшифровке "флюшки" глаз зацепился... Ваше мнение уважаемые коллеги?

Пол пациента: 
Тип патологии: 
Методы исследования: 

При расшифровке "флюшки" глаз зацепился...  Ваше мнение уважаемые коллеги?

Произведены томограммы.

Первый срез.

Второй срез.

Третий срез.

  • https://radiomed.ru/sites/default/files/styles/case_slider_image/public/user/12/2.pc260051a.jpg?itok=--E692ox
  • https://radiomed.ru/sites/default/files/styles/case_slider_image/public/user/12/3.pc260055.jpg?itok=Wbgo3SgJ
  • https://radiomed.ru/sites/default/files/styles/case_slider_image/public/user/12/4.pc260055a.jpg?itok=0FVuWs89
  • https://radiomed.ru/sites/default/files/styles/case_slider_image/public/user/12/11.t.pc260014.jpg?itok=1Lzocp6c
  • https://radiomed.ru/sites/default/files/styles/case_slider_image/public/user/12/12.t.pc260016.jpg?itok=qXJrUEg-
  • https://radiomed.ru/sites/default/files/styles/case_slider_image/public/user/12/13.pc260017.jpg?itok=ai7wiS_P
  • https://radiomed.ru/sites/default/files/styles/case_slider_image/public/user/12/14.pc260017ab.jpg?itok=GWz__38X
  • https://radiomed.ru/sites/default/files/styles/case_slider_image/public/user/12/15.pc260023_0.jpg?itok=TeQ-Jw7R
  • https://radiomed.ru/sites/default/files/styles/case_slider_image/public/user/12/16.pc260023a.jpg?itok=GpXn1xLj
  • https://radiomed.ru/sites/default/files/styles/case_slider_image/public/user/12/17.pc260024.jpg?itok=CJVVXwpk
  • https://radiomed.ru/sites/default/files/styles/case_slider_image/public/user/12/18.pc260024a.jpg?itok=7kH_2Hzf
  • https://radiomed.ru/sites/default/files/styles/case_slider_image/public/user/12/15.pc260029.jpg?itok=CuSN2dna
  • https://radiomed.ru/sites/default/files/styles/case_slider_image/public/user/12/16.pc260029a.jpg?itok=j8e8J7lj
  • https://radiomed.ru/sites/default/files/styles/case_slider_image/public/user/12/17.pc260030.jpg?itok=hHocbNFZ
  • https://radiomed.ru/sites/default/files/styles/case_slider_image/public/user/12/18.pc260030a.jpg?itok=qBCdAoN5
ID:17768
Глазков Игорь Артурович's picture
Offline
Last seen: 1 year 2 months ago
Joined: 19.12.2008 - 20:41
Posts: 1597

Участок инфильтрата, ввиде дорожки справа в верхней зоне. Ещё насторожила округлая негомогенная тень на интактном лёгочном поле слева в проекции 2 ребра, но точно не уверен.

Прийди к Себе

Катенёв Валентин Львович's picture
Offline
Last seen: 7 years 5 months ago
Joined: 22.03.2008 - 22:15
Posts: 54876

Что предложите уважаемый Игорь Артурович?

Глазков Игорь Артурович's picture
Offline
Last seen: 1 year 2 months ago
Joined: 19.12.2008 - 20:41
Posts: 1597

нужны боковые проекции, желательно с томограммами. А предложил бы ТБС и что-то из периферического (это слева, если там вообще что-то есть?).

Прийди к Себе

Наталия Васильевна's picture
Offline
Last seen: 6 years 1 month ago
Joined: 25.09.2011 - 09:02
Posts: 754

Мне наоборот слева явно инфильтрат, а справа-вопрос.

Катенёв Валентин Львович's picture
Offline
Last seen: 7 years 5 months ago
Joined: 22.03.2008 - 22:15
Posts: 54876

Но, жалоб пациентка не предъявляет.

И.Бондаренко's picture
Offline
Last seen: 3 hours 42 sec ago
Joined: 13.09.2011 - 22:55
Posts: 9213

Не знаю. Хотелось бы покрутить, да своим глазом посмотреть. Вроде бы расширение дистального края 3 ребра слева, дополнительно слева в S 2-3 тенюшка. А вот какая? Взять на контроль

Катенёв Валентин Львович's picture
Offline
Last seen: 7 years 5 months ago
Joined: 22.03.2008 - 22:15
Posts: 54876

И.Бондаренко wrote:

Не знаю. Хотелось бы покрутить, да своим глазом посмотреть. Вроде бы расширение дистального края 3 ребра слева, дополнительно слева в S 2-3 тенюшка. А вот какая? Взять на контроль

Да, скиалогия в легочной ткани совсем не специфична, голову ломал к чему привязать. А взять на контроль, это, к примеру через месяц- другой взять по "новой"?

Nikolas's picture
Offline
Last seen: 1 month 4 weeks ago
Joined: 21.12.2010 - 20:37
Posts: 4560

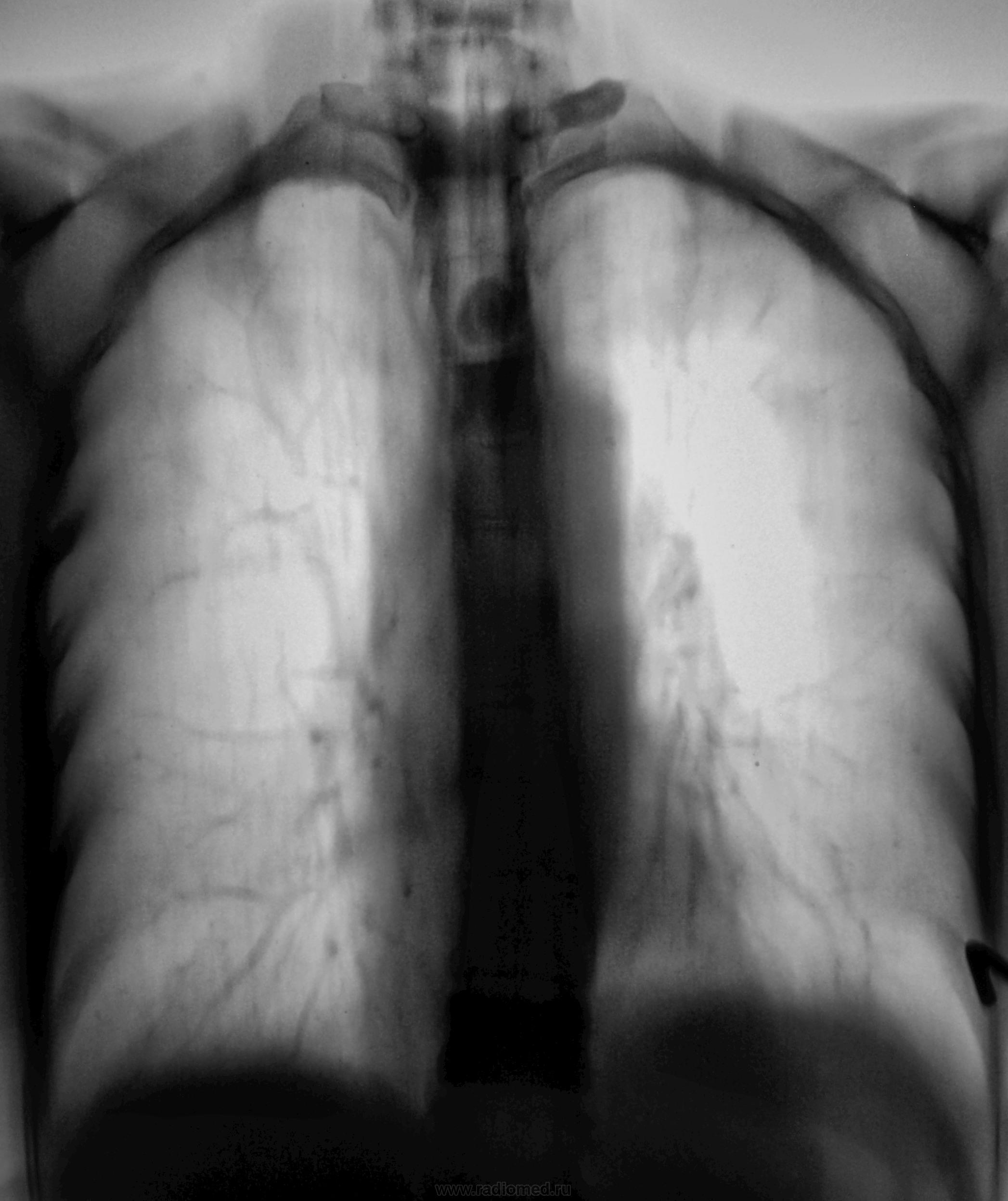
первом межреберье слева хорошо видно на флюорограмме. Объясните, что это? См. рисунки, указано стрелками. Nikolas

Приложения: 
13.pc260017.jpg18.pc260030a.jpg
Катенёв Валентин Львович's picture
Offline
Last seen: 7 years 5 months ago
Joined: 22.03.2008 - 22:15
Posts: 54876

Вы правы уважаемый коллега! У меня тоже глаз за эту "красоту" зацепился, и хорошо, что мы работаем не на аналоге, а на цифре, так как можно "поиграть" с изображением.

Катенёв Валентин Львович's picture
Offline
Last seen: 7 years 5 months ago
Joined: 22.03.2008 - 22:15
Posts: 54876

И, я начал "играть" томографическими изображениями ОГК.

Приложения: 
41.pc260015a.jpg42.pc260020.jpg43.pc260020a.jpg44.pc260021a.jpg45.pc260022a.jpg46.pc260025.jpg47.pc260025a.jpg48.pc260026.jpg49.pc260026a.jpg
Катенёв Валентин Львович's picture
Offline
Last seen: 7 years 5 months ago
Joined: 22.03.2008 - 22:15
Posts: 54876

Продолжение.

Приложения: 
50.pc260027.jpg51.pc260027a.jpg52.pc260031.jpg53.pc260031a.jpg54.pc260032.jpg55.pc260032a.jpg56.pc260033.jpg57.pc260033a.jpg
Романыч's picture
Offline
Last seen: 14 years 4 months ago
Joined: 30.10.2011 - 20:56
Posts: 32

Nikolas wrote:

первом межреберье слева хорошо видно на флюорограмме. Объясните, что это? См. рисунки, указано стрелками. Nikolas

+1   и меня больше это заинтересовало.

Катенёв Валентин Львович's picture
Offline
Last seen: 7 years 5 months ago
Joined: 22.03.2008 - 22:15
Posts: 54876

И, каков предварительный вердикт, при такой системности поражения?

Игорь Иванович's picture
Offline
Last seen: 4 years 2 months ago
Joined: 23.01.2010 - 14:56
Posts: 3695

Глядя на позвонки, что-то всплыл термин "педжетоидный позвонок". Не помню, из какой оперы?

Катенёв Валентин Львович's picture
Offline
Last seen: 7 years 5 months ago
Joined: 22.03.2008 - 22:15
Posts: 54876

Пациентка 3 года тому была прооперирована по поводу рака молочной железы....

i_vuduborets's picture
Offline
Last seen: 11 years 9 months ago
Joined: 14.04.2010 - 17:59
Posts: 87

 а клиники на тему мтс в кости нет?  я не видел линейных томограмм трубчатых костей с мтс, но позвонки немного просятся на такой невеселый диагноз

Катенёв Валентин Львович's picture
Offline
Last seen: 7 years 5 months ago
Joined: 22.03.2008 - 22:15
Posts: 54876

i_vuduborets wrote:

 а клиники на тему мтс в кости нет?  я не видел линейных томограмм трубчатых костей с мтс, но позвонки немного просятся на такой невеселый диагноз

Пока клиники, как таковой нет, мы зацепили её с флюшки. 

Год тому пациентка с семьёй попала в ДТП, была, тогда и клиника компрессионного перелома в поясничном отделе позвоночника, лежала она в хирургическом отделении.  На настоящее время у ней, конечно, бывают боли в пояснице, но это расценивается, как состояние после компрессионного перелома...

i_vuduborets's picture
Offline
Last seen: 11 years 9 months ago
Joined: 14.04.2010 - 17:59
Posts: 87

Катенёв Валентин Львович wrote:

i_vuduborets wrote:

 а клиники на тему мтс в кости нет?  я не видел линейных томограмм трубчатых костей с мтс, но позвонки немного просятся на такой невеселый диагноз

Пока клиники, как таковой нет, мы зацепили её с флюшки. 

Год тому пациентка с семьёй попала в ДТП, была, тогда и клиника компрессионного перелома в поясничном отделе позвоночника, лежала она в хирургическом отделении.  На настоящее время у ней, конечно, бывают боли в пояснице, но это расценивается, как состояние после компрессионного перелома...

так может в левой плечевой кости что-то вроде обызвествленных гематом? хотя конечно это глупость :-((

Катенёв Валентин Львович's picture
Offline
Last seen: 7 years 5 months ago
Joined: 22.03.2008 - 22:15
Posts: 54876

По всей видимости, метастазы из молочной железы.

Катенёв Валентин Львович's picture
Offline
Last seen: 7 years 5 months ago
Joined: 22.03.2008 - 22:15
Posts: 54876

Но, снимки через 2 месяца после ДТП (прошлого года) есть.

 

Приложения: 
1.pc260035.jpg2.pc260035a.jpg3.pc260036.jpg4.pc260036a.jpg
Катенёв Валентин Львович's picture
Offline
Last seen: 7 years 5 months ago
Joined: 22.03.2008 - 22:15
Posts: 54876

Бок.

Приложения: 
1.pc260037.jpg2.pc260037a.jpg3.pc260037ab.jpg4.pc260039.jpg5.pc260039a.jpg
Бородулин М.А.'s picture
Offline
Last seen: 1 year 2 months ago
Joined: 17.02.2011 - 01:10
Posts: 1409

Катенёв Валентин Львович wrote:

И, я начал "играть" томографическими изображениями ОГК.

Уважаемый Валентин Львович.

А теперь присмотритесь к состоянию позвонуов в ветке

Чем страдает человек?

Катенёв Валентин Львович's picture
Offline
Last seen: 7 years 5 months ago
Joined: 22.03.2008 - 22:15
Posts: 54876

Бородулин М.А. wrote:

А теперь присмотритесь к состоянию позвонуов в ветке

Чем страдает человек?

И, чем страдает человек?

Я не склонен думать, что это "педжетовские происки".

anuta's picture
Offline
Last seen: 14 years 1 month ago
Joined: 11.10.2011 - 18:45
Posts: 46

в рёбра, плеч. кость и в позвоночник? 2 версия - Педжет.

Катенёв Валентин Львович's picture
Offline
Last seen: 7 years 5 months ago
Joined: 22.03.2008 - 22:15
Posts: 54876

anuta wrote:

в рёбра, плеч. кость и в позвоночник? 2 версия - Педжет.

Хорошая версия, и имеет право на жизнь. Только рак молочной железы верифицирован (биопсия).