You are here

Взят на контроль. Первичная постановка на военный учет. Какие будут мнения?

Пол пациента: 
Тип патологии: 
Методы исследования: 

Взят на контроль. Первичная постановка на военный учет. Какие будут мнения?

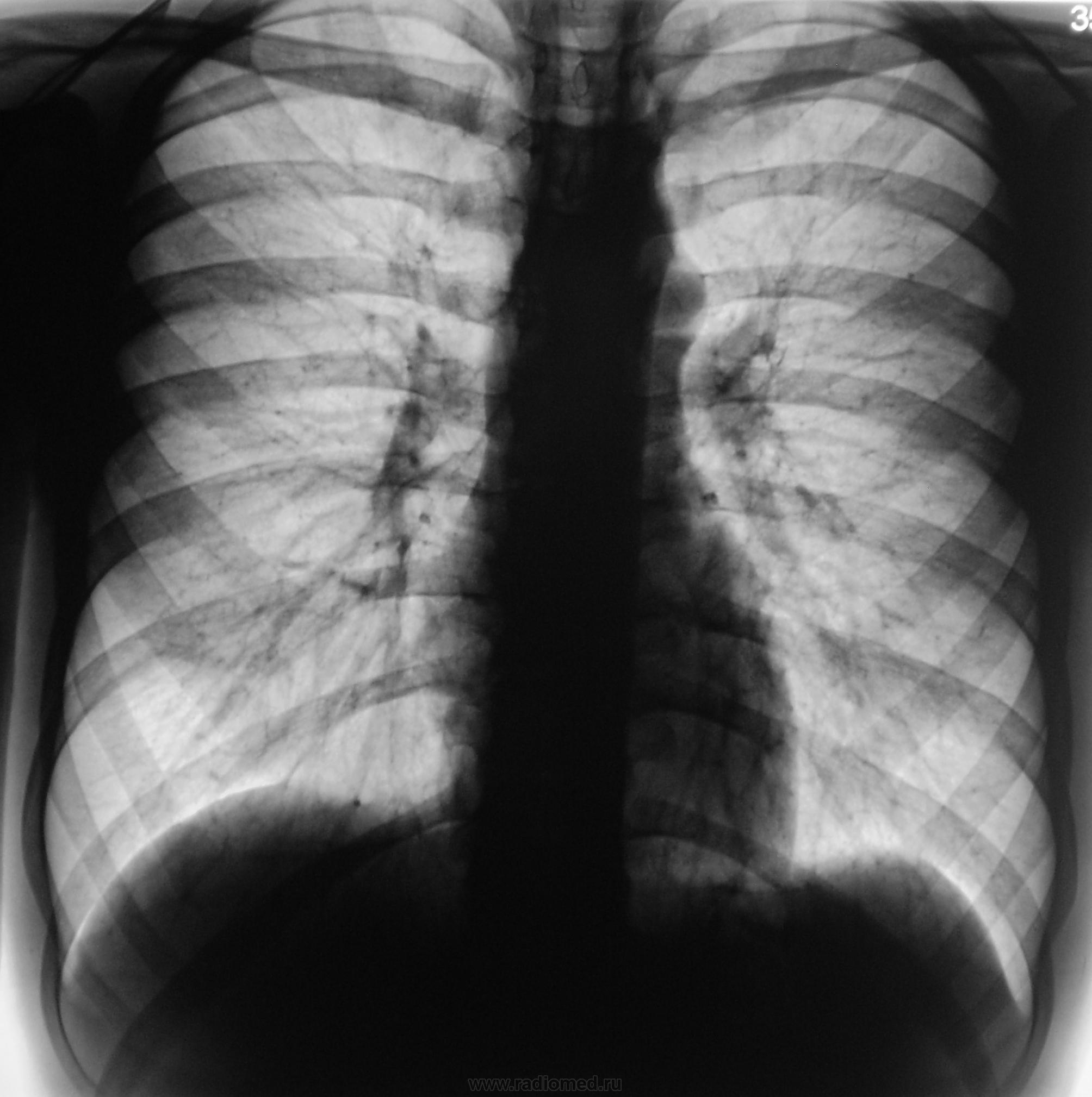
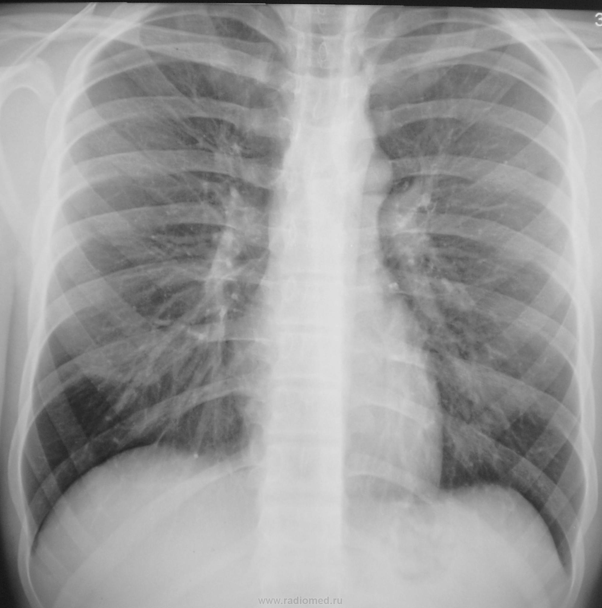
Произведена рентгенограмма в прямой проекции.

1 срез.

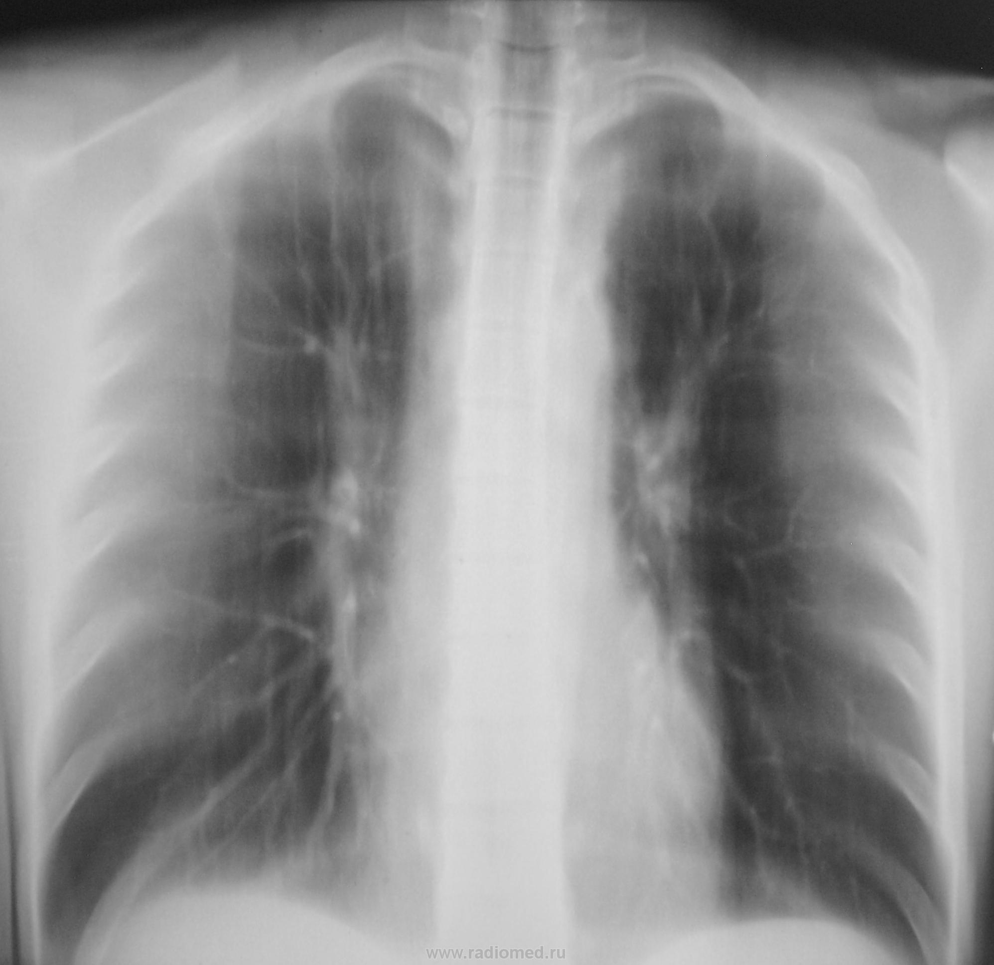
2 срез.

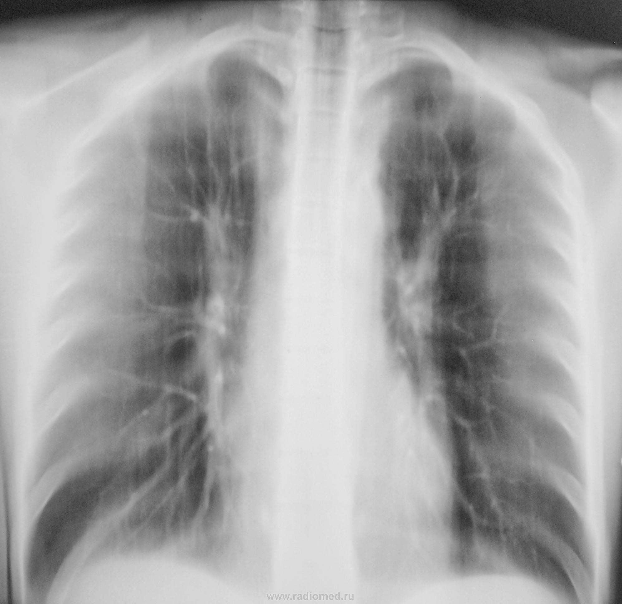
3 срез.

  • https://radiomed.ru/sites/default/files/styles/case_slider_image/public/user/12/2.pc260081.jpg?itok=6a-GkIE5
  • https://radiomed.ru/sites/default/files/styles/case_slider_image/public/user/12/41.pc260073.jpg?itok=Whcb0H7K
  • https://radiomed.ru/sites/default/files/styles/case_slider_image/public/user/12/42.pc260073a.jpg?itok=aIaEmeTp
  • https://radiomed.ru/sites/default/files/styles/case_slider_image/public/user/12/43.pc260075.jpg?itok=qUo73bkk
  • https://radiomed.ru/sites/default/files/styles/case_slider_image/public/user/12/44.pc260075a.jpg?itok=P99_iSpl
  • https://radiomed.ru/sites/default/files/styles/case_slider_image/public/user/12/45.pc260076.jpg?itok=sapFLYLO
  • https://radiomed.ru/sites/default/files/styles/case_slider_image/public/user/12/46.pc260076a.jpg?itok=A13xx6If
  • https://radiomed.ru/sites/default/files/styles/case_slider_image/public/user/12/41.pc260077.jpg?itok=4Oc4QHLW
  • https://radiomed.ru/sites/default/files/styles/case_slider_image/public/user/12/42.pc260077a.jpg?itok=aoq__NI_
  • https://radiomed.ru/sites/default/files/styles/case_slider_image/public/user/12/43.pc260079.jpg?itok=RtPK9_pT
  • https://radiomed.ru/sites/default/files/styles/case_slider_image/public/user/12/44.pc260079a.jpg?itok=qtgOSbSt
ID:17806
И.Бондаренко's picture
Offline
Last seen: 20 hours 39 min ago
Joined: 13.09.2011 - 22:55
Posts: 9208

Мамы всякие важны, мамы всякие нужны. Пусть идёт служить. Родина зовёт.

Регион05Наира's picture
Offline
Last seen: 13 years 11 months ago
Joined: 26.11.2011 - 14:43
Posts: 59

Так  Вы считаете что это в мол. же. такой фиброзик(справа)но это же мужчина,каЖИСЬ?

И.Бондаренко's picture
Offline
Last seen: 20 hours 39 min ago
Joined: 13.09.2011 - 22:55
Posts: 9208

Я считаю, что Родине защитники нужны.

Катенёв Валентин Львович's picture
Offline
Last seen: 7 years 2 months ago
Joined: 22.03.2008 - 22:15
Posts: 54876

Регион05Наира wrote:

Так  Вы считаете что это в мол. же. такой фиброзик(справа)но это же мужчина,каЖИСЬ?

Да, именно мужчина, отлично сложенный, с хорошо развитыми мышцами, занимается спортом.

i_vuduborets's picture
Offline
Last seen: 11 years 6 months ago
Joined: 14.04.2010 - 17:59
Posts: 87

а почему не сделать правый боковой? если эта тень на уровне 6-го ребра Вас смутила. или Вам проще томограммы? 

Катенёв Валентин Львович's picture
Offline
Last seen: 7 years 2 months ago
Joined: 22.03.2008 - 22:15
Posts: 54876

+ томограммы - это стандарт ОПТД.

А, какое мнение сложилось у Вас?

Катенёв Валентин Львович's picture
Offline
Last seen: 7 years 2 months ago
Joined: 22.03.2008 - 22:15
Posts: 54876

i_vuduborets wrote:

а почему не сделать правый боковой? если эта тень на уровне 6-го ребра Вас смутила. или Вам проще томограммы? 

Я не указавал, что меня смутила тень на уровне 6 ребра.

i_vuduborets's picture
Offline
Last seen: 11 years 6 months ago
Joined: 14.04.2010 - 17:59
Posts: 87

Катенёв Валентин Львович wrote:

i_vuduborets wrote:

а почему не сделать правый боковой? если эта тень на уровне 6-го ребра Вас смутила. или Вам проще томограммы? 

Я не указавал, что меня смутила тень на уровне 6 ребра.

я смог придраться только к ней, это моё предположение. а к чему Вы, уважаемый Валентин Львович, пригляделись. ведь выкладываете снимки с патологией? на счет томограмм, работаю не в противотуберкульозном учреждении, потому меня и смутило (я на счет лучевой нагрузки) 

Катенёв Валентин Львович's picture
Offline
Last seen: 7 years 2 months ago
Joined: 22.03.2008 - 22:15
Posts: 54876

Да, у меня, как правило, "танец" начинается с верхушек.

Катенёв Валентин Львович's picture
Offline
Last seen: 7 years 2 months ago
Joined: 22.03.2008 - 22:15
Posts: 54876

И, интересует мнение коллег, хотя бы по этому одному срезу.

 

Приложения: 
44.pc260079a.jpg
Bob's picture
Bob
Offline
Last seen: 12 years 1 month ago
Joined: 20.08.2011 - 20:06
Posts: 218

Органы грудной клетки без патологии.

Nikolas's picture
Offline
Last seen: 1 month 1 week ago
Joined: 21.12.2010 - 20:37
Posts: 4560

Смотрите рисунок.  Заключение написано на снимке. Кроме очагов в легких, имеется увеличение паратрахеального лимфатического узла. В ПТД на лечение.  Nikolas

Приложения: 
44.pc260079a.jpg
Катенёв Валентин Львович's picture
Offline
Last seen: 7 years 2 months ago
Joined: 22.03.2008 - 22:15
Posts: 54876

Nikolas wrote:

 Заключение написано на снимке. Кроме очагов в легких, имеется увеличение паратрахеального лимфатического узла. В ПТД на лечение.  Nikolas

Спасибо за коммент коллега!

Но самое интересное то, что выставленные иллюстрации - это "вторая часть" (менее интересная), так называемого "Марлизонского балета". Первую часть сейчас выставлю.

------------------------------------------

Дело в том, что этого пациента я зацепил еще год тому назад.

Снимки ниже.

Катенёв Валентин Львович's picture
Offline
Last seen: 7 years 2 months ago
Joined: 22.03.2008 - 22:15
Posts: 54876

Снимки.

Приложения: 
1._pc260082.jpg2.pc260083.jpg3.pc260083a.jpg
anuta's picture
Offline
Last seen: 13 years 11 months ago
Joined: 11.10.2011 - 18:45
Posts: 46

Валентину Львовичу!!! У вас не глаз, а алмазище !!!