You are here

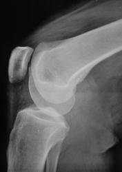
По поводу болей в коленном суставе пациент хирургом направлен на рентгенографию коленного сустава

Пол пациента: 
Тип патологии: 
Область исследования: 
Методы исследования: 

По поводу болей в коленном суставе пациент хирургом направлен на рентгенографию коленного сустава

  • https://radiomed.ru/sites/default/files/styles/case_slider_image/public/user/12/2..p1110043a.jpg?itok=WQD2Q7-U
  • https://radiomed.ru/sites/default/files/styles/case_slider_image/public/user/12/3.p1110044.jpg?itok=a25VMezE
  • https://radiomed.ru/sites/default/files/styles/case_slider_image/public/user/12/4.p1110045a.jpg?itok=HSaQFuCS
  • https://radiomed.ru/sites/default/files/styles/case_slider_image/public/user/12/5.p1110046.jpg?itok=XnmPLLV7
  • https://radiomed.ru/sites/default/files/styles/case_slider_image/public/user/12/6.p1110046a.jpg?itok=IGsLLJtv
  • https://radiomed.ru/sites/default/files/styles/case_slider_image/public/user/12/7.p1110047.jpg?itok=5LFMtftc
  • https://radiomed.ru/sites/default/files/styles/case_slider_image/public/user/12/8.p1110048.jpg?itok=DebCIo8R
  • https://radiomed.ru/sites/default/files/styles/case_slider_image/public/user/12/9.p1110048a.jpg?itok=Jw-np9Xq
  • https://radiomed.ru/sites/default/files/styles/case_slider_image/public/user/12/10.p1110048b.jpg?itok=49shpErX
  • https://radiomed.ru/sites/default/files/styles/case_slider_image/public/user/12/11.p1110048bv.jpg?itok=_YZJ-s_e
ID:18144
И.Бондаренко's picture
Offline
Last seen: 9 hours 19 min ago
Joined: 13.09.2011 - 22:55
Posts: 9214

Две мысли: 1) очаги просветления за счёт деструкции; 2) может быть фантазия, консолидированный перелом. Без томограмм не обойтись

Катенёв Валентин Львович's picture
Offline
Last seen: 7 years 6 months ago
Joined: 22.03.2008 - 22:15
Posts: 54876

Травмы не было.

Сан Саныч1's picture
Offline
Last seen: 1 year 4 months ago
Joined: 07.06.2010 - 21:17
Posts: 2114

А сколько лет больному? Болит давно ли?

Хочешь сделать что-то нормально - сделай это сам!

Наталия Васильевна's picture
Offline
Last seen: 6 years 2 months ago
Joined: 25.09.2011 - 09:02
Posts: 754

Не может ли это быть исходом перегрузочной болезни?

Глазков Игорь Артурович's picture
Offline
Last seen: 1 year 2 months ago
Joined: 19.12.2008 - 20:41
Posts: 1597

напоминает абсцесс Броди. В диф. ряд поставил бы туберкулёзный остит.

Прийди к Себе

Катенёв Валентин Львович's picture
Offline
Last seen: 7 years 6 months ago
Joined: 22.03.2008 - 22:15
Posts: 54876

Сан Саныч1 wrote:

А сколько лет больному? Болит давно ли?

Около 40 лет. Фиксация наличия болей пациентом около 3- мес.

Катенёв Валентин Львович's picture
Offline
Last seen: 7 years 6 months ago
Joined: 22.03.2008 - 22:15
Posts: 54876

Наталия Васильевна wrote:

Не может ли это быть исходом перегрузочной болезни?

Из беседы с пациентом последнее время не адекватных нагрузок не было.

тюрин's picture
Offline
Last seen: 5 months 3 weeks ago
Joined: 18.12.2009 - 17:23
Posts: 215

или 3 месяца - подострый? локальный остеопороз без чётких контуров и периостальная реакция. о секвестрации язык не поворачивается сказать.

Сан Саныч1's picture
Offline
Last seen: 1 year 4 months ago
Joined: 07.06.2010 - 21:17
Posts: 2114

Перегрузочная болезнь осложненная неполным переломом б/б кости.

Хочешь сделать что-то нормально - сделай это сам!