"Давненько не брал я в руки шашек!" Уважаемые коллеги! Игра "Поставь диагноз" хороша тем, что в ней всегда есть окончательный диагноз, который обычно выносится после ответов десяти (10) участников сайта. Если активность участников высокая, с выставлением диагноза можно не спешить и дать возможность высказаться всем желающим. По условию игры каждый врач дает только 1(один) ответ; нельзя писать дифференциально-диагностический ряд из нескольких болезней; во время ответа можно дать аргументацию своего решения, но не обязательно. Игра носит познавательный характер. Поэтому, врачи, которые дали правильный ответ, могут написать свой алгоритм диагностики заболевания. Это позволит некотрым участникам сайта получать важные сведения для успешной дальнейшей работы. С уважением NIKOLAS
Саркоидоз. Может быть и туберкулез ВГЛУ, но на втором месте. Довольно трудно удержаться от диф.ряда.
"Предоставляя весь смысл и совершенство в распоряжение одного только Бога, вы избавляете себя от бездны хлопот." Джон Уитборн.
саркоидоз
Саркоидоз внутригрудных лимфатических узлов.
Болезнь Бенье -Бека-Шаумана
Саркоидоз вероятнее. Но Почему бы не поставить на Лимфому? Для ассортимента. Лёгочный рисунок всё равно не виден, клиники не предвидится. Пусть будет ЛГМ.
Неоднозначно всё
Саркаидоз
Ставлю на саркоидоз+ шейное ребро справа. Одного среза маловато, хотелось бы и верхушки слева.
саркоид
+1 за ЛГМ
Больше данных за саркоидоз.
Неходжкинская лимфома (потому что никто не написал:)))))
You have only one life - just live it!
Думаю аномалия сосудов.И пневмония справа.
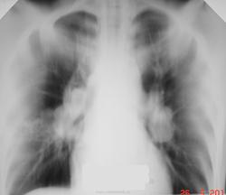
Пациент 22 лет, приехал работать из Средней Азии с намерением работать. Изменения в грудной клетке выявлены при проверочной (профилактической) флюорографии. Последняя флюорография в 2007 году во время службы в Армии. На контрольное обследования не вызывали. Временно проживает у родственников. В течение последних двух недель беспокоит постоянный сухой кашель, слабость. Объективно: пониженного питания, астенического телосложения, кожный покров чистый. В легких дыхание жесткое, единичные сухие хрипы. Тоны сердца ясные. ЧСС-72, АД 110/70 мм.рт.ст. Анализ крови прилагается. С уважением Nikolas
Силикотуберкулезный бронхоаденит. Или, как вариант, просто силикоз.
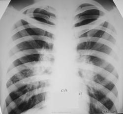
после постановки пробы Манту с 2ТЕ мы воскликнули, "О...." (см. рисунок). Срочно исследовали три пробы промывных вод бронхов на МБТ методом бактериоскопии. МБТ не обнаружили. С уваженим Nik
внутригрудных лимфатических узлов сегодня. Такие формы описаны в период блокады Ленинграда во время ВОВ. Хотел многое написать по этому больному, но не буду коллеги Вас утомлять. Примите к сведению, что такие двусторониие процессы могут быть и в Вашей практике. При бронхоскопии выявлен активный туберкулез в долевых бронхах; в промежуточном бронхе - бронхолимфатический свищ. Посевы бронхиальных смывов дали рост МБТ, чувствительных ко всем противотуберкулезным препаратам. Больной после окончания обследования уехал домой к родителям. Мы сами, в первую очередь, думали о саркоидозе. Спасибо Вам за активное участие. С уважением ко всем Nikolas.
Большое спасибо за случай!
уважаемый Валентин Львович! Материалы специально подготовлены для сайта Радиомед.
Еще раз спасибо за тот вклад, который Вы вносите в общее дело. У меня сразу возникло желание забрать этот случай в профильный набор изображений. Спасибо, за то, что Вы щедро делитесь случаями "такой" патологии, так как очень часто подданные Его Величества стали встречаться...