You are here

Пациент с болями в поясничном отделе позвоночника и в тазобедренных суставах.

Пол пациента: 
Тип патологии: 
Область исследования: 
Методы исследования: 

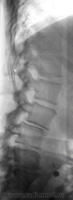
Пациент направлен в рентгеновский кабинет врачом невропатологом для рентгенографии поясничного отдела позвоночника. Пациент отмечает, что в течение последних 3 лет, его беспокоят боли в пояснице и в тазобедренных суставах. Произведена рентгенографии поясничного отдела позвоночника в ортоположении.

ИзображениеИзображениеИзображениеИзображениеИзображение

Какие будут мнения, уважаемые коллеги?

v1tal's picture
Offline
Last seen: 4 years 10 months ago
Joined: 07.06.2008 - 19:41
Posts: 1779

- как такого поясничного лордоза нет;

- выраженный субхондральный склероз смежных замыкательных пластинок на уровне L2-L3, L3-L4, L4-L5,L5-S1;

- снижение высоты межпозвонковых дисков на уровне  L2-L3, L3-L4, L4-L5, значительное L5-S1(фиброзный анкилоз);

- тело поясничного позвонка L5, несколько деформировано, значительно склерозировано;

- смещение тела поясничного повонка L3 кпереди на 3-4мм;

- деформирующий спондилоартроз межпозвонковых суставов;

Остеохондроз  L2-L3, L3-L4, L4-L5(антелистез L3) 2 период, L5-S1 4 период( клас.по Осна)

"Знаешь, у некоторых врачей есть комплекс мессии — им необходимо спасать мир. А у тебя комплекс Рубика — тебе необходимо решать головоломки."

Андрей Юрьевич's picture
Offline
Last seen: 4 weeks 13 hours ago
Joined: 16.11.2008 - 22:16
Posts: 18098

///как такого поясничного лордоза нет/// Я бы даже добавил, угловой кифоз в L4-L5 позв. сегменте.

Андрей Юрьевич

v1tal's picture
Offline
Last seen: 4 years 10 months ago
Joined: 07.06.2008 - 19:41
Posts: 1779

Согласен вами уважаемый Андрей ЮрьевичУлыбаюсь. Хотелось бы узнать сколько лет пациенту? И нет ли в анамнезе травмы?

"Знаешь, у некоторых врачей есть комплекс мессии — им необходимо спасать мир. А у тебя комплекс Рубика — тебе необходимо решать головоломки."

Катенёв Валентин Львович's picture
Offline
Last seen: 7 years 1 month ago
Joined: 22.03.2008 - 22:15
Posts: 54876

Травмы в анамнезе нет. Возраст - 47 лет. Хотя всю жизнь, этот пациент работал "тяжело и весьма".