You are here

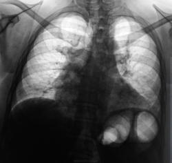
Пациентка взята на контроль после флюорографии...

Пол пациента: 
Тип патологии: 
Методы исследования: 

Пациентка взята на контроль после флюорографии...

  • https://radiomed.ru/sites/default/files/styles/case_slider_image/public/user/12/2.p1190011.jpg?itok=tUeI_GlS
  • https://radiomed.ru/sites/default/files/styles/case_slider_image/public/user/12/3.p1190011a.jpg?itok=ZUsw2Y1S
  • https://radiomed.ru/sites/default/files/styles/case_slider_image/public/user/12/4.p1190012.jpg?itok=yrsm9nv6
  • https://radiomed.ru/sites/default/files/styles/case_slider_image/public/user/12/5.p1190012a.jpg?itok=jRmRzhoO
  • https://radiomed.ru/sites/default/files/styles/case_slider_image/public/user/12/6.p1190013.jpg?itok=TeICqKfh
ID:18265
Игорь Иванович's picture
Offline
Last seen: 4 years 2 months ago
Joined: 23.01.2010 - 14:56
Posts: 3695

Дела сердечные, грудинный (или как его там?) горб.

Катенёв Валентин Львович's picture
Offline
Last seen: 7 years 5 months ago
Joined: 22.03.2008 - 22:15
Posts: 54876

А на лимфому не похоже?

Глазков Игорь Артурович's picture
Offline
Last seen: 1 year 2 months ago
Joined: 19.12.2008 - 20:41
Posts: 1597

а почему Вы решили что здесь лимфома? И что можно сказать про л\узел в правом корне?

Прийди к Себе

Катенёв Валентин Львович's picture
Offline
Last seen: 7 years 5 months ago
Joined: 22.03.2008 - 22:15
Posts: 54876

Глазков Игорь Артурович wrote:

а почему Вы решили что здесь лимфома? И что можно сказать про л\узел в правом корне?

Здравствуйте уважаемый Игорь Артурович!

Я вовсе не решил, что "это" лимфома, я, просто, в сомнениях, вот, и решил узнать мнения коллег.