You are here

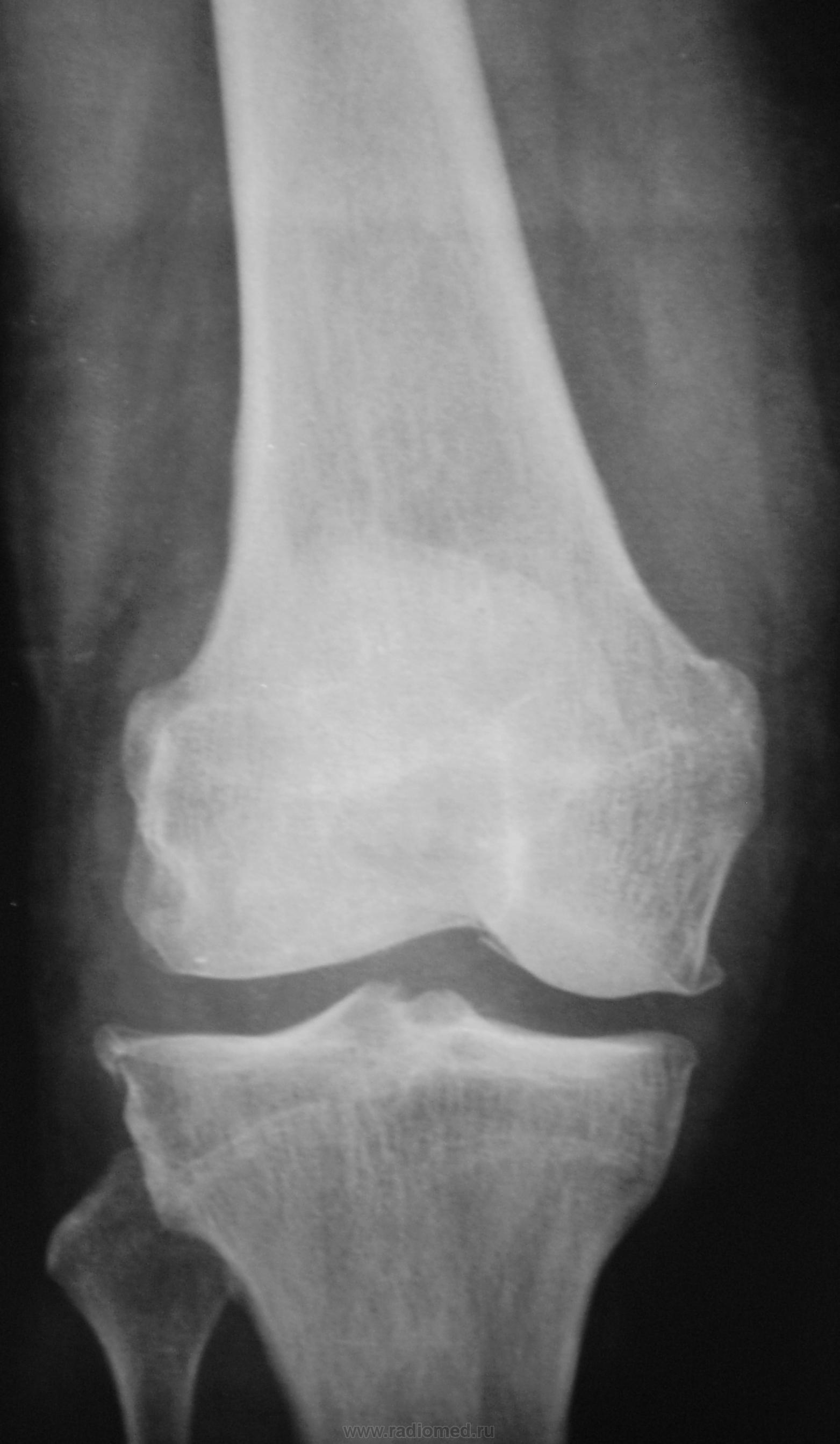
С диагнозом ДОА, пациент направлен на рентгенографю коленного сустава.

Пол пациента: 
Тип патологии: 
Область исследования: 
Методы исследования: 

С диагнозом ДОА, пациент направлен на рентгенографю коленного сустава.

  • https://radiomed.ru/sites/default/files/styles/case_slider_image/public/user/12/22.p2070064a.jpg?itok=B6wkyV4q
  • https://radiomed.ru/sites/default/files/styles/case_slider_image/public/user/12/23.p2070064ab.jpg?itok=le-pSWAH
  • https://radiomed.ru/sites/default/files/styles/case_slider_image/public/user/12/24.p2070065.jpg?itok=NMVQbXT-
  • https://radiomed.ru/sites/default/files/styles/case_slider_image/public/user/12/25.p2070065a.jpg?itok=R8P5ssuP
  • https://radiomed.ru/sites/default/files/styles/case_slider_image/public/user/12/26.p2070065ab.jpg?itok=yHo6x2wA
ID:18739
И.Бондаренко's picture
Offline
Last seen: 2 days 13 hours ago
Joined: 13.09.2011 - 22:55
Posts: 9206

Деформирующий артроз. Есть признаки обызвествления мест прикрепления крестообразных связок, собственной связки надколенника.

Rg-Doc's picture
Offline
Last seen: 8 years 9 months ago
Joined: 22.03.2008 - 12:25
Posts: 333

Щель уж больно широка для такого артроза. Может там на фоне артроза какой-нибудь реактивный артрит?

Dr.Drug's picture
Offline
Last seen: 7 years 9 months ago
Joined: 01.11.2008 - 20:21
Posts: 464

Rg-Doc wrote:

Щель уж больно широка для такого артроза. Может там на фоне артроза какой-нибудь реактивный артрит?

Артрит (R) = периартикулярный остеопороз.

С уважением, А.В.Коробейников

HealthER's picture
Offline
Last seen: 10 years 4 months ago
Joined: 23.12.2011 - 11:45
Posts: 132

ДОА коленного 2 ст. и надколенно-большеберцового сустава 3-4 стадий (по Larsen)..