Пол пациента:
Тип патологии:
Область исследования:
Методы исследования:
Так..., для интересу...
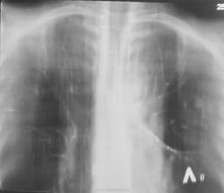
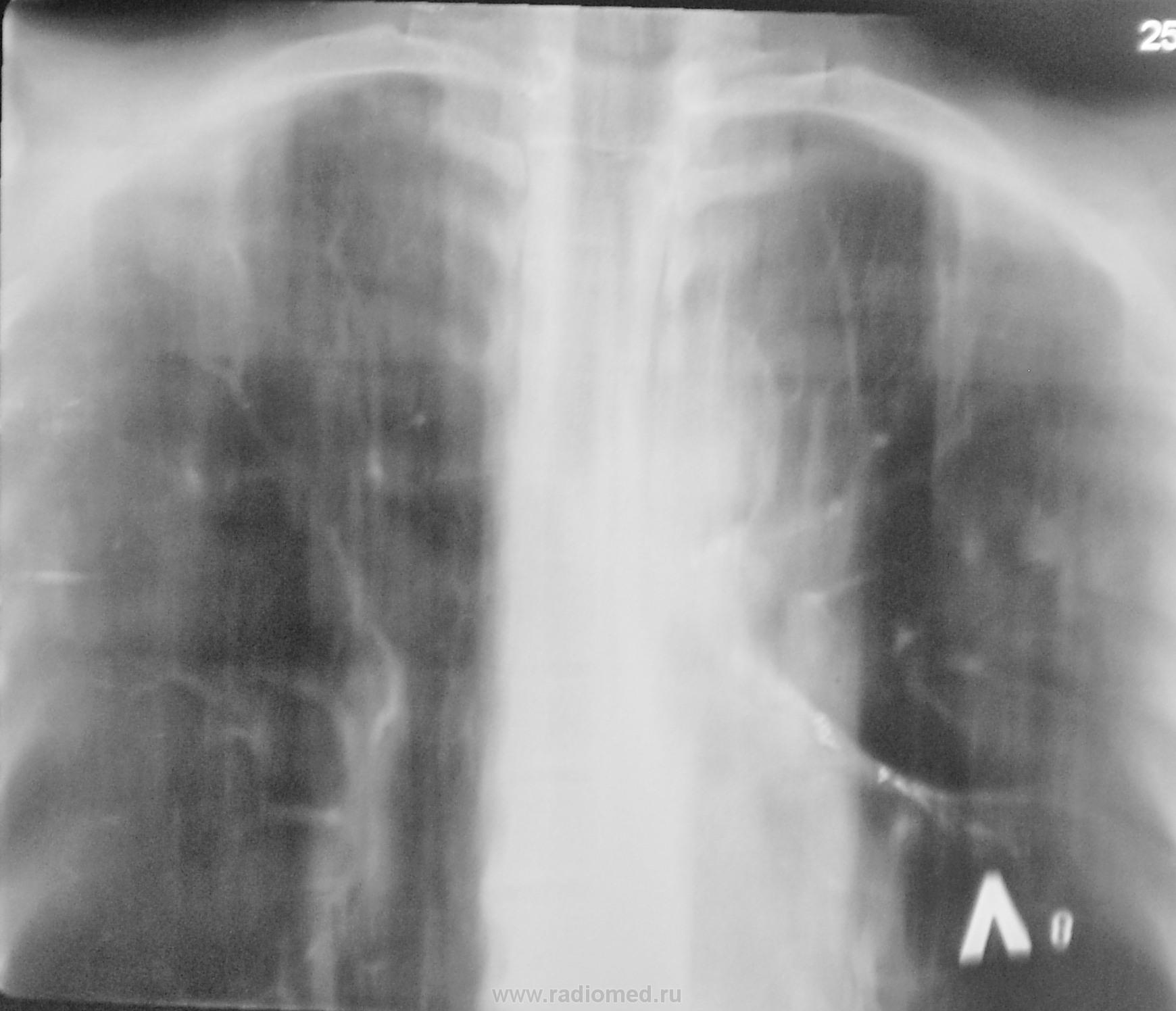
Вызванный в терапевтическое отделение фтизиатр (для консультации) назначил томографию.
Пациента довольно успешно лечили по поводу "пневмонии", да и субъективно пациент отмечал улучшение, НО перед выпиской, ВДРУГ, при микроскопии были обнаружены МБТ.
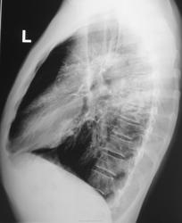
Решили "чиркнуть" боковые томограммы.
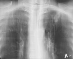
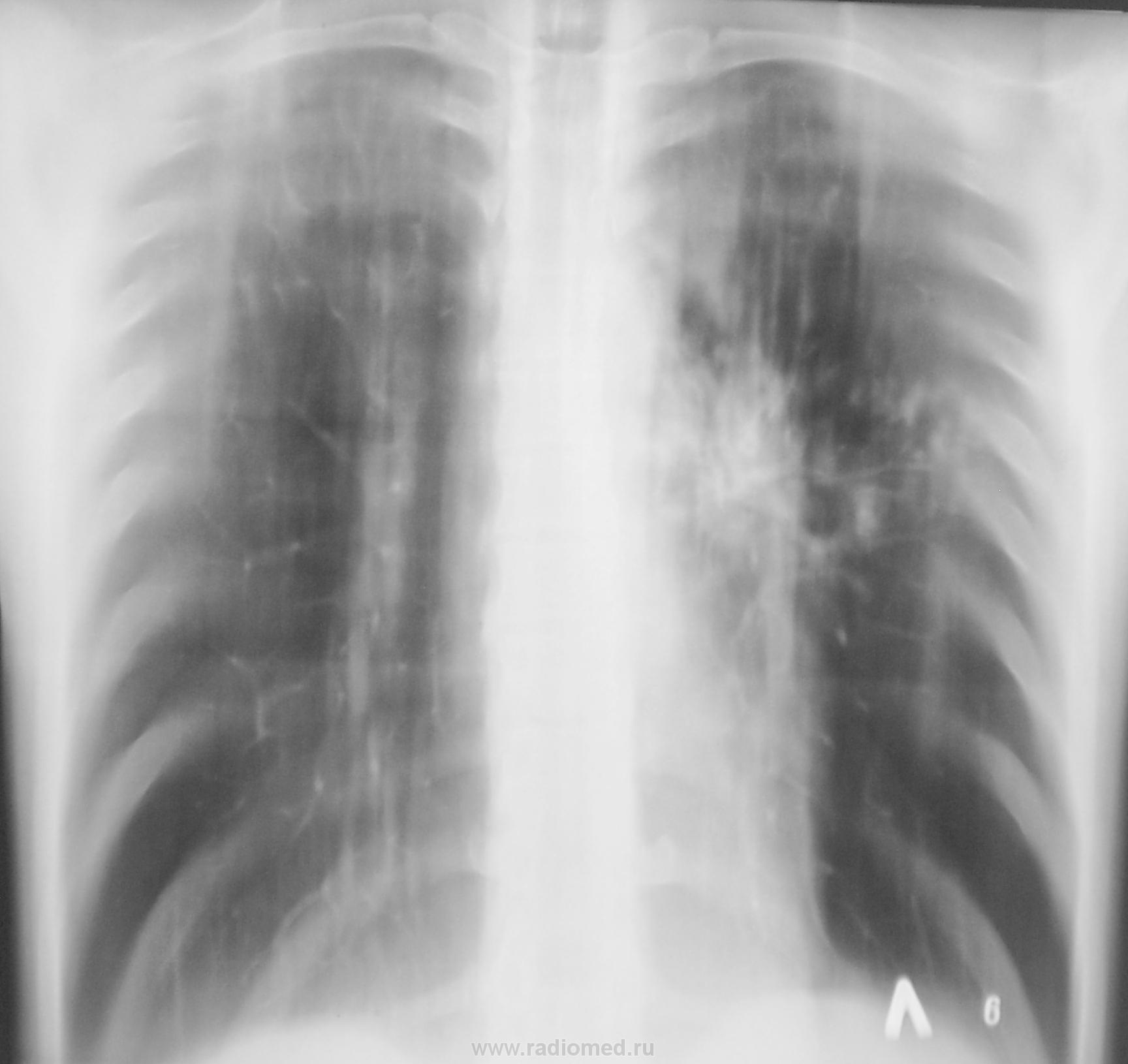
Договорена консультация и госпитализация в ОПТД. По просьбе коллеги фтизиатра делам томограммы в прямой проекции.
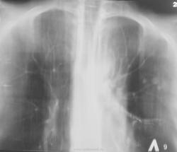
Динамика в процессе лечения.
Контроль через один месяц.
В облтубе пациента решили прооперировать.
- https://radiomed.ru/sites/default/files/styles/case_slider_image/public/user/12/2.p2070068.jpg?itok=x6TdYzKo
- https://radiomed.ru/sites/default/files/styles/case_slider_image/public/user/12/1.ftiz_.p2070069.jpg?itok=2C18uw1s
- https://radiomed.ru/sites/default/files/styles/case_slider_image/public/user/12/2.ftiz_.p2070070.jpg?itok=vo1IOzvU
- https://radiomed.ru/sites/default/files/styles/case_slider_image/public/user/12/3.ftiz_.p2070071.jpg?itok=fwsj01LO
- https://radiomed.ru/sites/default/files/styles/case_slider_image/public/user/12/1.p2070079.jpg?itok=O-gMj3fD
- https://radiomed.ru/sites/default/files/styles/case_slider_image/public/user/12/2.p2070079a.jpg?itok=oCy81CzI
- https://radiomed.ru/sites/default/files/styles/case_slider_image/public/user/12/3.p2070074.jpg?itok=_CblTuRd
- https://radiomed.ru/sites/default/files/styles/case_slider_image/public/user/12/4.p2070074a.jpg?itok=a5IZ7hG1
- https://radiomed.ru/sites/default/files/styles/case_slider_image/public/user/12/5.p2070074ab.jpg?itok=4dxlYCFP
- https://radiomed.ru/sites/default/files/styles/case_slider_image/public/user/12/6.p2070075.jpg?itok=PmjFHPtH
- https://radiomed.ru/sites/default/files/styles/case_slider_image/public/user/12/7.p2070075a.jpg?itok=EH0qECLW
- https://radiomed.ru/sites/default/files/styles/case_slider_image/public/user/12/8.p2070075ab.jpg?itok=s9D6MX2I
- https://radiomed.ru/sites/default/files/styles/case_slider_image/public/user/12/9.p2070075abv.jpg?itok=Oo46kCJH
- https://radiomed.ru/sites/default/files/styles/case_slider_image/public/user/12/1.p2070076.jpg?itok=UlmN3hrv
- https://radiomed.ru/sites/default/files/styles/case_slider_image/public/user/12/2.p2070077.jpg?itok=aQXYrscK
- https://radiomed.ru/sites/default/files/styles/case_slider_image/public/user/12/3.p2070078.jpg?itok=swiUDmxV
- https://radiomed.ru/sites/default/files/styles/case_slider_image/public/user/12/11.p2070081.jpg?itok=bl5enOhT
- https://radiomed.ru/sites/default/files/styles/case_slider_image/public/user/12/12.p2070082.jpg?itok=7aifUlQY
- https://radiomed.ru/sites/default/files/styles/case_slider_image/public/user/12/13.p2070082a.jpg?itok=6J8Ss-ZQ
- https://radiomed.ru/sites/default/files/styles/case_slider_image/public/user/12/14.p2070083.jpg?itok=I_Amj38c
- https://radiomed.ru/sites/default/files/styles/case_slider_image/public/user/12/1.kontrol.p2070084.jpg?itok=dKW9NCv3
- https://radiomed.ru/sites/default/files/styles/case_slider_image/public/user/12/2.kontrol.p2070085.jpg?itok=hOZ4add_
- https://radiomed.ru/sites/default/files/styles/case_slider_image/public/user/12/3.kontrol.p2070086.jpg?itok=Yw87Cd4r
- https://radiomed.ru/sites/default/files/styles/case_slider_image/public/user/12/1.p2070088.jpg?itok=6XFy8zbS
- https://radiomed.ru/sites/default/files/styles/case_slider_image/public/user/12/2.p2070089.jpg?itok=DdwZFJp2
- https://radiomed.ru/sites/default/files/styles/case_slider_image/public/user/12/3.p2070089a.jpg?itok=YEh9P2Y9
- https://radiomed.ru/sites/default/files/styles/case_slider_image/public/user/12/4.p2070090.jpg?itok=gHLZ9R78
- https://radiomed.ru/sites/default/files/styles/case_slider_image/public/user/12/5.p2070090a.jpg?itok=EtPekXlR
- https://radiomed.ru/sites/default/files/styles/case_slider_image/public/user/12/6.p2070091.jpg?itok=wdMJhzFN
- https://radiomed.ru/sites/default/files/styles/case_slider_image/public/user/12/7.p2070091a.jpg?itok=gH9S0kIr
ID:18910
Вопросов нет.
Диагноз (рентгеновский) надо понимать прост?
t?
Двусторонняя пневмония в таких-то сегментах (чего-то не увеличиваются...). Остальное - в динамике.
t? - это "tumor?" or "tuberculosis?" or "terrible?". Прям как наши клиницисты)))).
С уважением, А.В.Коробейников
Д/д ряд: пневмония, саркоидоз и м.б. туберкулез.
Хочешь сделать что-то нормально - сделай это сам!
Не более 37 с "копейками"...
3 посева на БК для исключения инфильтративного туберкулеза. для пневмонии температурка низковата, согласны? )
Туберкулезными палками пахнет...
При микроскопии МБТ не обнаружены. А, по поводу посева - это сколько же времени нужно для трех посевов?
Вызванный в Т.О. фтизиатр (для консультации) назначил линейную томографию.
Пробное лечение. В динамике смотреть. В первую очередь исключаем туб. Возможна и опухоль
пациенту?
Пациенту 43 года.
Пациента довольно успешно лечили по поводу "пневмонии", да и субъективно пациент отмечал улучшение, НО перед выпиской, ВДРУГ, при микроскопии были обнаружены МБТ.
Решили "чиркнуть" боковые томограммы.
Неоднозначно. Остаюсь при мнении о содружественной инфекции. Если пациента успешно пролечили от пневмонии, то автором не показаны контрольные или первичные рентгенограммы? Всё-таки судить в динамике было бы интереснее.
Пациента довольно успешно лечили по поводу "пневмонии", да и субъективно пациент отмечал улучшение, НО перед выпиской, ВДРУГ, при микроскопии были обнаружены МБТ.
[/quote]
Почему ВДРУГ?
Вы правы коллега! По всей видимости, "содружественная патология" выплывет...
Коллега фтизиатр находится в растрепанных чувствах, настаивает на томографии в прямой проекции.
инфекция?
Госпитализирован в ОПТД. Проводится специфическое лечение, но ВИЧ выявлен не был.
Динамика в процессе лечения.
ну,если учесть, что у пациента и справа была такая же ерундистика, то скорее туберкулез, а почему не делаете КТ ? нет возможности?
А, что кардинального в данном слечае даст КТ?
Туберкулёз, однако. Вот он и расстраивается, фтизиатр ваш: у него ведь оплата не сдельная).
Неоднозначно всё
Хорошее наблюдение.
Контроль еще через 1 месяц.
Как умело ваши фтизиатры лечат туберкулез!)).
С уважением, А.В.Коробейников
В облтубе пациента решили прооперировать.
тень овальной формы в подключичном отделе слева туберкулёзной природы. Не исключаю наличие лекарственной устойчивости МБТ к противотуберкулезным препаратам и, как следствие, прогрессирование процесса в лёгких. Возможно, неадекватная терапия? Сочетанная патология в 43 года редкость. Я убежден в правильности тезиса русского клинициста М.Я.Мудрова: "Ищи одну болезнь", который не раз в моей практике подтверждался. На сайте нетипичные случаи демонстрируюся достаточно часто, которые расширяют кругозор многих врачей. Данный случай может попасть в нетипичную группу. Но, так ли окажется? После #22 стало трудно. Буду ждать мнений других участников. Высказвайтесь господа. Сайт бесплатный!
Да, после удаления, верификация - туберкулома.
Мудров Матвей Яковлевич (1776—1831 гг), один из самых выдающихся русских терапевтов ! Его знаменитый тезис, "Ищи одну болезнь", не потерял актуальности и сегодня. Огромную благодарность выношу Главному рентгенологу сайта Радиомед В.Л. Катенёву за незаурядные клинические наблюдения, которые приносят врачам сайта огромную познавательную ценность. С уважением Nikolas.
Извините, я не так выразилась, я не конкретно к этому случаю,вообще спросила
Не надо извиняться. Вы задали правильный вопрос. Да, в нашем ЛПУ нет КТ.