You are here

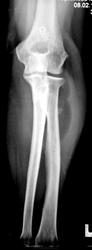
Пациентка направлена на рентгенографию костей предплечья.

Пол пациента: 
Тип патологии: 
Область исследования: 
Методы исследования: 

Пациентка направлена на рентгенографию костей предплечья.

  • https://radiomed.ru/sites/default/files/styles/case_slider_image/public/user/12/12.p2090013ab.jpg?itok=vSuArhiC
  • https://radiomed.ru/sites/default/files/styles/case_slider_image/public/user/12/13.p2090015a.jpg?itok=2z3uXEeD
  • https://radiomed.ru/sites/default/files/styles/case_slider_image/public/user/12/14.p2090017a.jpg?itok=yk82cent
  • https://radiomed.ru/sites/default/files/styles/case_slider_image/public/user/12/15.p2090012a.jpg?itok=jSncHrER
  • https://radiomed.ru/sites/default/files/styles/case_slider_image/public/user/12/16.p2090014a.jpg?itok=G3VIqe9o
  • https://radiomed.ru/sites/default/files/styles/case_slider_image/public/user/12/17.p2090016a.jpg?itok=4yE48ixA
  • https://radiomed.ru/sites/default/files/styles/case_slider_image/public/user/12/18.p2090019.jpg?itok=a-q-omYE
ID:18813
Белоусов Борис Юрьевич's picture
Offline
Last seen: 13 years 11 months ago
Joined: 20.03.2009 - 02:46
Posts: 161

Мягкотканное муфтообразное образование в/3 предплечья, с костями предплечья не связанное. Вызывает сомнение плотноинтенсивное округлое включение в мягких тканях по луче-ладонной поверхности на уровне верхней трети лучевой кости.

Хотелось бы узнать анамнез, жалобы пациентки.

Мое мнение, судя по распространению мягкотканного образования от суставной капсулы локтевого сустава - синовиома. Относительно плотноинтенсивного включения ответить затрудняюсь.

Катенёв Валентин Львович's picture
Offline
Last seen: 7 years 3 months ago
Joined: 22.03.2008 - 22:15
Posts: 54876

У пациентки хорошо видимое опухолевидной образование, безболезненное. Пациентка отмечает, что данное образование заметила около 4- лет тому назад, и которое в последние два года значительно увеличилось в размерах. Жалобы у пациентки чисто косметического характера.

Гриша Хата's picture
Offline
Last seen: 10 years 2 months ago
Joined: 09.02.2011 - 20:40
Posts: 665

Гигрома, а в ней хондрома.

ЛГ's picture
Offline
Last seen: 9 years 1 month ago
Joined: 06.01.2010 - 12:31
Posts: 3523

Будет интересно, если дермоид.

Евгений1313's picture
Offline
Last seen: 13 years 2 months ago
Joined: 15.10.2010 - 19:13
Posts: 808

А если липома?

Анатолий Владимирович Шумаков's picture
Offline
Last seen: 8 years 2 weeks ago
Joined: 16.10.2009 - 21:16
Posts: 1941

Скорее всего липома, есть просветление... Нельзя исключать липосаркому, раз быстрый рост...