Врач-стоматолог обратился по "поводу болей" к коллеге стоматологу. Полечили ...., но стало хуже, а после того, как стало хуже, пришли в рентгеновский кабинет.



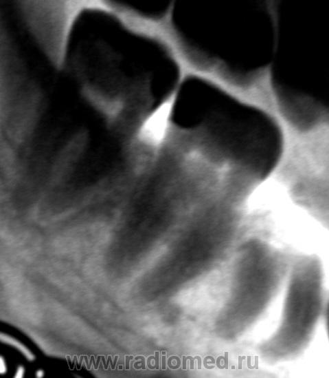
Ваше мнение уважаемые коллеги? И, еще вопрос, - а, что это за "урод", помеченный желтыми стрелками?

Вопрос как лечили? Экстракция была?недовыдернули что ли.ну а по поводу "уродов" это к самим стоматологам надо обратиться.
Валентин Львович! Конечно же в первую очередь хочется спросить, а что лечили коллеги? Коронка 6 зуба полностью отсутствует. В области корней перестройка костной ткани литического типа (периодонтин?). В области корней 5 зуба определяется коронка зуба. То ли это зачаток постоянного 5 зуба и коллега до настоящего времени пользовался молочным 5 зубом. То ли это коронка 6 зуба смещенная туда при экстракции. Так что же лечили?
dok
1. Коронку "обломили".
2. Боли, по всей видимости" были обусловлены периодонтитом, но о периодонтите узнали только после проведения рентгенографии.
3. Вы совершенно правы. "Урод" - это зачаток постоянного зуба, который на "на свет" так и не появился.
Сегодня, у нас собрался весь стоматологический бомонт, все ахали и вздыхали. А кажется, что проще - сделайте снимок а потом хватайтесь за "щипцы" и залезайте в рот, или еще куда-нибудь.