You are here

Контроль после флюорографии или "Опять туберкулёз".

Пол пациента: 
Тип патологии: 
Методы исследования: 

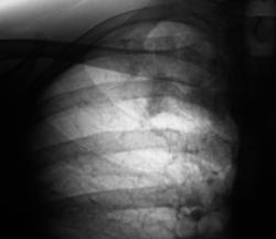
После расшифровки цифровых флюорограмм пациент "взят на контроль".

Флюорограмма и её фрагменты с увеличением.

ИзображениеИзображениеИзображение

ИзображениеИзображение

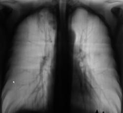
Произведена рентгенография и томография - срезы стандартные.

ИзображениеИзображениеИзображение

ИзображениеИзображение

Ваше мнение коллеги?

Глазков Игорь Артурович's picture
Offline
Last seen: 1 year 2 months ago
Joined: 19.12.2008 - 20:41
Posts: 1597

лёгких в стадии кальцинации.

Прийди к Себе

Катенёв Валентин Львович's picture
Offline
Last seen: 7 years 5 months ago
Joined: 22.03.2008 - 22:15
Posts: 54876

Вы считаете, что это "старый процесс"?

Катенёв Валентин Львович's picture
Offline
Last seen: 7 years 5 months ago
Joined: 22.03.2008 - 22:15
Posts: 54876

У пациента обнаружены МБТ, госпитализирован в туб. больницу, где проведено "стандартное лечение". После лечения произведено "контрольное" рентгенологическое исследование.

ИзображениеИзображение

ИзображениеИзображение

Изображение

После выписки пациент находится под наблюдением фтизиатра "по месту жительства".

 

Ваше мнение коллеги?

Катенёв Валентин Львович's picture
Offline
Last seen: 7 years 5 months ago
Joined: 22.03.2008 - 22:15
Posts: 54876

Сегодня, пациента планово направили в рентгеновскитй кабинет. Произведено стандартное исследование.

ИзображениеИзображение

ИзображениеИзображение

ИзображениеИзображение

ИзображениеИзображение

ИзображениеИзображение

ИзображениеИзображение

Какое мнение коллег будет по поводу последних трёх иллюстраций? Что это такое с полостью распада?

Sergo's picture
Offline
Last seen: 14 years 8 months ago
Joined: 26.06.2009 - 18:42
Posts: 41

Большое спасибо за иллюстрацию. По моему здесь имеет место бронхогенное обсеменение из левого  легкого в правое. Вероятно и МБТ из этой полостушки, хотя и в правом легком инфильтрат неоднороден. А что Вас смущает в этой полости?

Катенёв Валентин Львович's picture
Offline
Last seen: 7 years 5 months ago
Joined: 22.03.2008 - 22:15
Posts: 54876

Меня не смущает ничено. Просто, как это ни странно, с учетом локализации, "ЭТО" оказалась туберкулома в весьма активном и агрессивном состоянии. Возможно, наступит "кавернизация" туберкуломы.

Sergo's picture
Offline
Last seen: 14 years 8 months ago
Joined: 26.06.2009 - 18:42
Posts: 41

А туберкуломы всегда агрессивные, даже если они "немые" в течении продолжительного времени. Фтизиатры их называют пороховыми бочками и стараются при наличии средних и крупных туберкулом рекомендовать оперативное лечение. Но это палка с двумя концами...

Катенёв Валентин Львович's picture
Offline
Last seen: 7 years 5 months ago
Joined: 22.03.2008 - 22:15
Posts: 54876

Кратенько о туберкуломах можно почитать по ссылке, но это очень кратко. Мы, со временем, внесем более "фундаментальный" теоретический материал о туберкуломах в этот раздел. Надеюсь и иллюстраций добавится.

http://www.radiomed.ru/forum/tuberkuloma-kazeoma-lyogkih-nabor-izobrazheniy

НАДЕЖДА ЮРЬЕВНА's picture
Offline
Last seen: 7 years 4 months ago
Joined: 30.07.2012 - 13:14
Posts: 360

Затягивается, но такую надо прооперировать туберкулому, динамика вялая, но есть.

Катенёв Валентин Львович's picture
Offline
Last seen: 7 years 5 months ago
Joined: 22.03.2008 - 22:15
Posts: 54876

А, её и прооперировали в ОПТД