You are here

1. Контроль после флюорографии.

Пол пациента: 
Тип патологии: 
Методы исследования: 

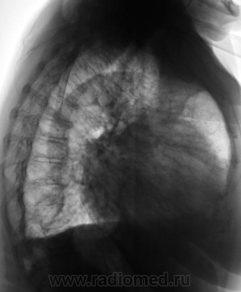
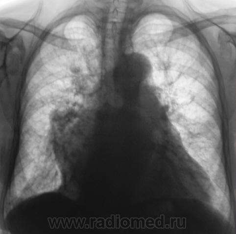
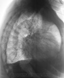
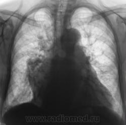
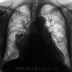
При расшифровке цифровых флюорограмм пациент "взят на контроль". Произведено стандартное исследование.

 

  • https://radiomed.ru/sites/default/files/styles/case_slider_image/public/user/12/1002.K..jpg?itok=_aRlIYTr
  • https://radiomed.ru/sites/default/files/styles/case_slider_image/public/user/12/1003.K..JPG?itok=QR_qVZkg
  • https://radiomed.ru/sites/default/files/styles/case_slider_image/public/user/12/1004.K..jpg?itok=905DxLJd
  • https://radiomed.ru/sites/default/files/styles/case_slider_image/public/user/12/1005.K..JPG?itok=q-7fnhoy
  • https://radiomed.ru/sites/default/files/styles/case_slider_image/public/user/12/1006.K..jpg?itok=6QZtETiS
ID:1781
Катенёв Валентин Львович's picture
Offline
Last seen: 7 years 1 month ago
Joined: 22.03.2008 - 22:15
Posts: 54876

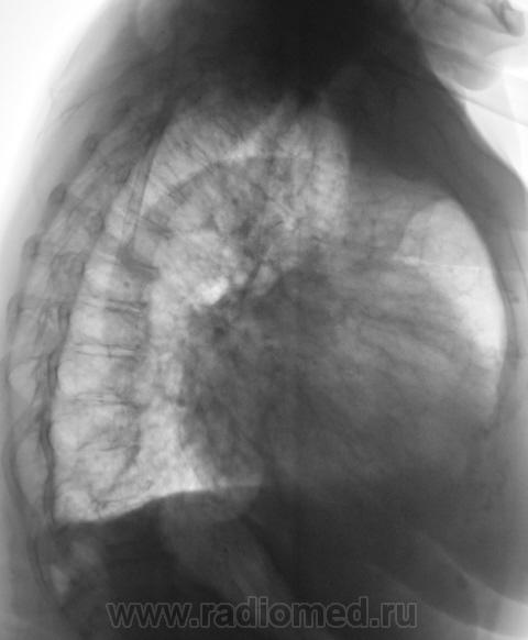
Следующий срез.

 

Приложения: 
1007.K..JPG1008.K..JPG1009.K..jpg
Игорь Иванович's picture
Offline
Last seen: 3 years 10 months ago
Joined: 23.01.2010 - 14:56
Posts: 3695

На рентгенограммах (в отличии от томо) на верхушке ничего не заметил. А так, похоже на митр. недостаточность.

Катенёв Валентин Львович's picture
Offline
Last seen: 7 years 1 month ago
Joined: 22.03.2008 - 22:15
Posts: 54876

Игорь Иванович wrote:

На рентгенограммах (в отличии от томо) на верхушке ничего не заметил. А так, похоже на митр. недостаточность.

Много, чего, всякого-разного мы не узреваем без "тёти Томмы". До сих пор, эта "добрая тетя", не оценена по - настоящему, а жаль...