Пол пациента:
Тип патологии:
Область исследования:
Методы исследования:
- https://radiomed.ru/sites/default/files/styles/case_slider_image/public/user/12/12.p2150005.jpg?itok=Di_fnlVQ
- https://radiomed.ru/sites/default/files/styles/case_slider_image/public/user/12/13.p2150005a.jpg?itok=AguSwXGb
- https://radiomed.ru/sites/default/files/styles/case_slider_image/public/user/12/1.t.p2150007.jpg?itok=W4yMOagV
- https://radiomed.ru/sites/default/files/styles/case_slider_image/public/user/12/2.t.p2150007a.jpg?itok=C4uxO_3c
- https://radiomed.ru/sites/default/files/styles/case_slider_image/public/user/12/3.t.p2150009.jpg?itok=qkI6eIiB
- https://radiomed.ru/sites/default/files/styles/case_slider_image/public/user/12/4.t.p2150009a.jpg?itok=JbnRlcWj
- https://radiomed.ru/sites/default/files/styles/case_slider_image/public/user/12/5.t.p2150010.jpg?itok=iv617Uz-
- https://radiomed.ru/sites/default/files/styles/case_slider_image/public/user/12/6.t.p2150010a.jpg?itok=bYkonIcd
- https://radiomed.ru/sites/default/files/styles/case_slider_image/public/user/12/7.t.p2150011.jpg?itok=EMdcTgqU
- https://radiomed.ru/sites/default/files/styles/case_slider_image/public/user/12/8.t.p2150011a.jpg?itok=bE7FeBvd
ID:19003
Хотелось бы узнать возраст, клинику, ну и жалобы неплохо было бы. "Попахивает" ателектазом. Мне показалось, что срединная тень сместилась немного вправо, да и контуры затенения уж очень ровные.
Прийди к Себе
Да, тянет на ателектаз, хотя образование может расти и из апикальной плевры, оттесняя легкое. Бронхоскопия.
Хочешь сделать что-то нормально - сделай это сам!
52 года. Жалоб нет. Сегодня проходила "флюшку", сразу сделали снимки.
Тогда может сделать по возможности линейные томограммы.
Прийди к Себе
Хорошо. Будем делать "линейку".
в анамнезе тоже ничего?
Ничего.
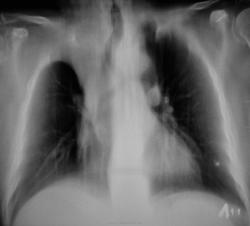
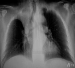
Образование, деформирующее нижнюю треть трахеи справа с её оттеснением, вероятно из ВДБ, бисегментарный ателектаз. Прямые томограммы корней, стандартные боковые справа через корень. На томограммах "порезал" бы и задние отрезки рёбер.
Образование, деформирующее нижнюю треть трахеи справа с её оттеснением, вероятно из ВДБ, бисегментарный ателектаз. Прямые томограммы корней, стандартные боковые справа через корень. На томограммах "порезал" бы и задние отрезки
+1!
Конечно, стандарт - есть стандарт. Мы сразу сделали томограммы.
Ателектаз верхней доли за счёт образования,которое перекрыло верхнедолевой бронх, смещает главный бронх и трахею.
пациенту? Есть мнение.
52 года. Жалоб нет. Сегодня проходила "флюшку", сразу сделали снимки.
По данным рентгенологического исследованинаиболее вероятна опухоль правого главного бронха с вовлечением регинальных лимфоузлов.
Уважааемый Nikolas по состоянию аорты не менее 40.
диагноз будет верифицирован после бронхоскопии. Но, так как у нас идет мозговой штурм по представленным данным классической рентгенографии, выскажу свой генез заболевания у больной. Наличие кальцинатов в легких и во внутригрудных лимфатических узлах с обеих сторон позволяет предположить реактивацию туберкулезной инфекции с развитием туберкулеза внутригрудных лимфатических узлов, активного туберкулеза бронхов со стенозом 3 степени и ателектаза. Такова моя версия. В ПТД сначала, а не к онкологу, чтобы не вызывать стресс у больной.
Данет здесь опухоли,бронхолит.Давно камень залег.
больного беспокоят пароксизмальный кашель, кровохарканье, рецидивирующая бронхолегочная инфекция. Здесь этого нет. Тогда, что Вы имеете в виду под бронхолитом?
Я бы не стал изобретать велосипед и отправил бы к онкологам на бронхоскопию. Камни, бронхиолиты не дают полицикличные дефекты на контуре трахеи и бронха на томограммах, как мне думается. Плюсом пакеты внутригрудных лимфоузлов. Навязывать мнение не смею.
что дело за бронхоскопией. Но автор хочет получить от врачей максимум, а именно, можно ли только на основании рентгенологических признаков поставить наиболее вероятный диагноз; не хвататься сразу за другие методы исследования. Это мое мнение о цели представленного наблюдения. Сайт все-таки "врачей лучевой диагностики". С уважением Nik
Думается, что слова Мудрова искать ОДНУ болезнь уважаемый Nicolas принимает слишком буквально.
Да, сайт врачей лучевой диагностики. Тогда не объясните с Вашей точки зрения (туберкулезный процесс), каков субстрат изменений правого контура трахеи и правого главного бронха? Как такое трактуете в свете "мозгового штурма по представленным данным классической рентгенографии"?
Кальцинаты ВГЛУ - исход инфекции, но необязательно туберкулёзной.
Каждый из нас сказал свое мнение. Возможно? кто-то и ошибся. Давление на трахеобронхиальное дерево оказывают лимфатические узлы. Не исключаю, что пациентка родилась с такими бронхами. Дегенеративные изменения у людей не так уж и редки. Что это за обсуждение по числу участников при наличии численности зарегистрированных врачей на сайте? Приезжих с жадными глазами тьма . Можно только воскликнуть, открывая ветку,:"Баааа! Знакомые все лица". Мудров М.Я.-уважаемый классик русской медицины. Теперь на сайте все будут знать кто это такой. Молодёжь. Дерзайте, участвуйте в обсуждении. Будем ждать автора.С уважением ко всем Вам Nikolas
Младежь унд подростки-где вы?
не пропал. Нахожусь в ожидании. Хотелось бы прочитать, что у больного туберкулез. С уважением, Nikolas
Пациента забрали онкологи.
Желательно, чтобы однажды пациентка зашла на Вашу "подводную лодку". С уважением Nik.
Конечно, динамика будет. В нашем ООД не сильно "полюбляют" делать контроли, отправляют по "месту жительства".
Конечно, динамика будет. В нашем ООД не сильно "полюбляют" делать контроли, отправляют по "месту жительства".
Как это? А как они оценивают свое лечение?
А, фиг их знает. Устали уже от них контроли делать, а главное, что сделанное не оплачивается и в ЛПУ в виде денег не возвращается.
Могут и после КТ, проведенного в платной клинике, на рутинную рентгенографию направить.
Чем все кончилось?
Не кончилось.
Динамику наблюдаю ООД. Делали там вроде бы КТ, однако верификации нет.
ответ. 10 мес прошло. Больной жив. Очень хорошо.
довелось слушать выступление онколога, который утвержал перед аудиторией, что картина ателектаза верхней доли правого легкого, как в данном клиническом примере, на 100% есть признак рака лёгкого. Интересно, что думают врачи сайта по-поводу такого утверждения.