You are here

что в L5?

Пол пациента: 
Тип патологии: 
Область исследования: 
Методы исследования: 

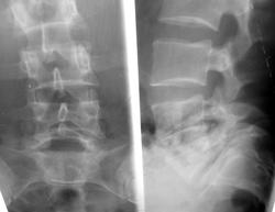
молодой человек,пришел с жалобами на боли в пояснично-крестцовом отделе позвоночника,травму сначала отрицал,но потом вспомнил,что пару лет тому  назад падал,но к врачу тогда не обращался.

  • https://radiomed.ru/sites/default/files/styles/case_slider_image/public/user/12/2.p1000486a.jpg?itok=VNIZKkni
  • https://radiomed.ru/sites/default/files/styles/case_slider_image/public/user/12/3.p1000487.jpg?itok=czHDMGbD
  • https://radiomed.ru/sites/default/files/styles/case_slider_image/public/user/12/4.p1000487a.jpg?itok=L1JDmSRL
  • https://radiomed.ru/sites/default/files/styles/case_slider_image/public/user/12/5.p1000487ab.jpg?itok=7r8RNdMb
ID:19677
Глазков Игорь Артурович's picture
Offline
Last seen: 1 year 3 days ago
Joined: 19.12.2008 - 20:41
Posts: 1597

имеется спондилолистез L5. Остеохондроз диска L5-S1 и почему-то видится компрессионный перелом тела L5.

Прийди к Себе

Dmitry GDM's picture
Offline
Last seen: 10 years 7 months ago
Joined: 21.02.2012 - 06:49
Posts: 44

а есть в наличии снимки с захватом верхних поясничных позвонков? Чтобы подсчитать количество поясничных позвонков. Может тут диспластическое развитие пояснично-крестцового перехода. Ну и конечно присутствует передний спондилолистез предполагаемого L5 позвонка.

nelly's picture
Offline
Last seen: 11 years 3 months ago
Joined: 11.07.2011 - 19:19
Posts: 328

мне вообще видится линия просветления в пятом поясничном-как будто передний его отдел смещен кпереди,а задне-верхняя часть и ост. отросто смещены вверх немного...эта линия на всех снимках повторяется..а не может ли тут быть врожденного какого-то расщепления тела позв.?

Глазков Игорь Артурович's picture
Offline
Last seen: 1 year 3 days ago
Joined: 19.12.2008 - 20:41
Posts: 1597

сосчитать все позвонки, то есть вероятность, что так может выглядеть переходный позвонок. Я имею ввиду L5.

Прийди к Себе

И.Бондаренко's picture
Offline
Last seen: 4 hours 57 sec ago
Joined: 13.09.2011 - 22:55
Posts: 9209

Я порекомендовал бы томографию. Встречается такая форма позвонка. Боюсь написать неправильно, но наверное, то ли "горшка", то ли "выдвижного ящика". В книге Орла для мануальных терапевтов очень хорошо описано. Не исключаю , что-то в виде аномалии, по типу "бабочки". 

И.Бондаренко's picture
Offline
Last seen: 4 hours 57 sec ago
Joined: 13.09.2011 - 22:55
Posts: 9209

Что Пишет товарищ Орёл! "Малые" аномалии формы тел. 

1. Нрмальная форма - горизонтальный размер нормального позвонка превалирует над вертикальным.

2. Уплощенная форма (платиспондилия) - горизонтальный размер значительно больше вертикальног.

3. Ящикоподобная форма - преобладание вертикально размера над горизонтальным.

4. Вазообразная - внешне напоминает форму горлышка вазы (верхняя замыкательная пластинка длиннее нижней)

5. Клиновидная : а) лево(ПРАВО) сторонняя боковая; б) передняя; в) в виде обратного клина.

 

 

 

 

 

 

Dr.Akulla's picture
Offline
Last seen: 12 years 1 month ago
Joined: 28.05.2011 - 20:06
Posts: 218

Жаль, товарищ Ёжов ничего не написал. smiley Антелистез L5, истинный.

OPEXOB's picture
Offline
Last seen: 10 years 2 months ago
Joined: 26.07.2008 - 10:02
Posts: 280

молодой человек,пришел с жилобами на боли в пояснично-крестцовом отделе позвоночника,травму сначала отрицал,но потом вспомнил,что пару лет тому назад падал,но к врачу тогда не обращался.

 

1. Вроде все люди с высшим образованием, а писать и оформлять правильно речь не научились ещё. Читать противно !

2. Можно предоставить рентгенограммы всего поясничного отдела позвоночника, а не 2,5 позвонков ?

3. Вероятно наличие врожденной аномалии - переходного L5-S1 позвонка, но для точности необходимо выполние 2 пункта.

Фаина's picture
Offline
Last seen: 3 years 1 month ago
Joined: 14.12.2008 - 16:51
Posts: 323

OPEXOB wrote:

молодой человек,пришел с жилобами на боли в пояснично-крестцовом отделе позвоночника,травму сначала отрицал,но потом вспомнил,что пару лет тому назад падал,но к врачу тогда не обращался.

 

1. Вроде все люди с высшим образованием, а писать и оформлять правильно речь не научились ещё. Читать противно !

 

Зачем же Вы так, Орехов?! У всех случаются опечатки. К чему делать на этом акцент?! Человек торопился выразить свою мысль. Вы ее, наверняка, поняли. Нужную информацию для себя взяли. Хотите уточнений - задавайте вопросы. Противно читать - не читайте. Но до оскорблений не опускайтесь.

арти's picture
Offline
Last seen: 12 years 3 months ago
Joined: 26.02.2012 - 11:23
Posts: 490

Поддерживаю Фаину!

Побединский Михаил Александрович's picture
Offline
Last seen: 8 years 2 weeks ago
Joined: 25.12.2010 - 23:44
Posts: 696

OPEXOB wrote:

молодой человек,пришел с жилобами на боли в пояснично-крестцовом отделе позвоночника,травму сначала отрицал,но потом вспомнил,что пару лет тому назад падал,но к врачу тогда не обращался.

 

1. Вроде все люди с высшим образованием, а писать и оформлять правильно речь не научились ещё. Читать противно !

2. Можно предоставить рентгенограммы всего поясничного отдела позвоночника, а не 2,5 позвонков ?

3. Вероятно наличие врожденной аномалии - переходного L5-S1 позвонка, но для точности необходимо  выполние 2 пункта.

У Вас, кстати, тоже не без греха.

svet's picture
Offline
Last seen: 2 years 4 weeks ago
Joined: 07.05.2010 - 19:10
Posts: 201

имеется спондилолистез L5. 

вопрос а L5 что-то я сомневаюсь. по расположению похоже S1 c люмбализацией  покажите боковую проекцию полностью

nelly's picture
Offline
Last seen: 11 years 3 months ago
Joined: 11.07.2011 - 19:19
Posts: 328

спасибо конечно доктор ОРЕХОВ за урок русского языка,опечатки бывают у многих(и у вас в том числе),но вы нагрубили именно мне почему-то!все желание пропало теперь вообще что-либо выкладывать на сайте!Спасибо остальным коллегам за комментарии.

И.Бондаренко's picture
Offline
Last seen: 4 hours 57 sec ago
Joined: 13.09.2011 - 22:55
Posts: 9209

nelly! На больных не обижаются, их лечат.

Фаина's picture
Offline
Last seen: 3 years 1 month ago
Joined: 14.12.2008 - 16:51
Posts: 323

Действительно, не обращайте внимание!!! Мы ждем Ваших комментариев и интересных или непонятных случаев. Выкладывайте их для НАС!!!

Петрович's picture
Offline
Last seen: 7 years 5 months ago
Joined: 22.03.2009 - 01:13
Posts: 3908

арти wrote:
Поддерживаю Фаину!

И я поддерживаю)). Но не обращайте на него внимания, девушки. ОПЕКСОБ давно известен  грубостью нрава. Я-то не опечатался)).

Рентгенограмм здесь всего две (задняя и боковая) варианты возникшие в результате обработки не могут считаться новыми снимками.

Перелома нет (если не верите повторите прицельно). Есть спондилолиз L5 и антелистез I  ст. и некоторая ротация L4 L5; остеохондроз L4-5-S1 тоже.

Неоднозначно всё