You are here

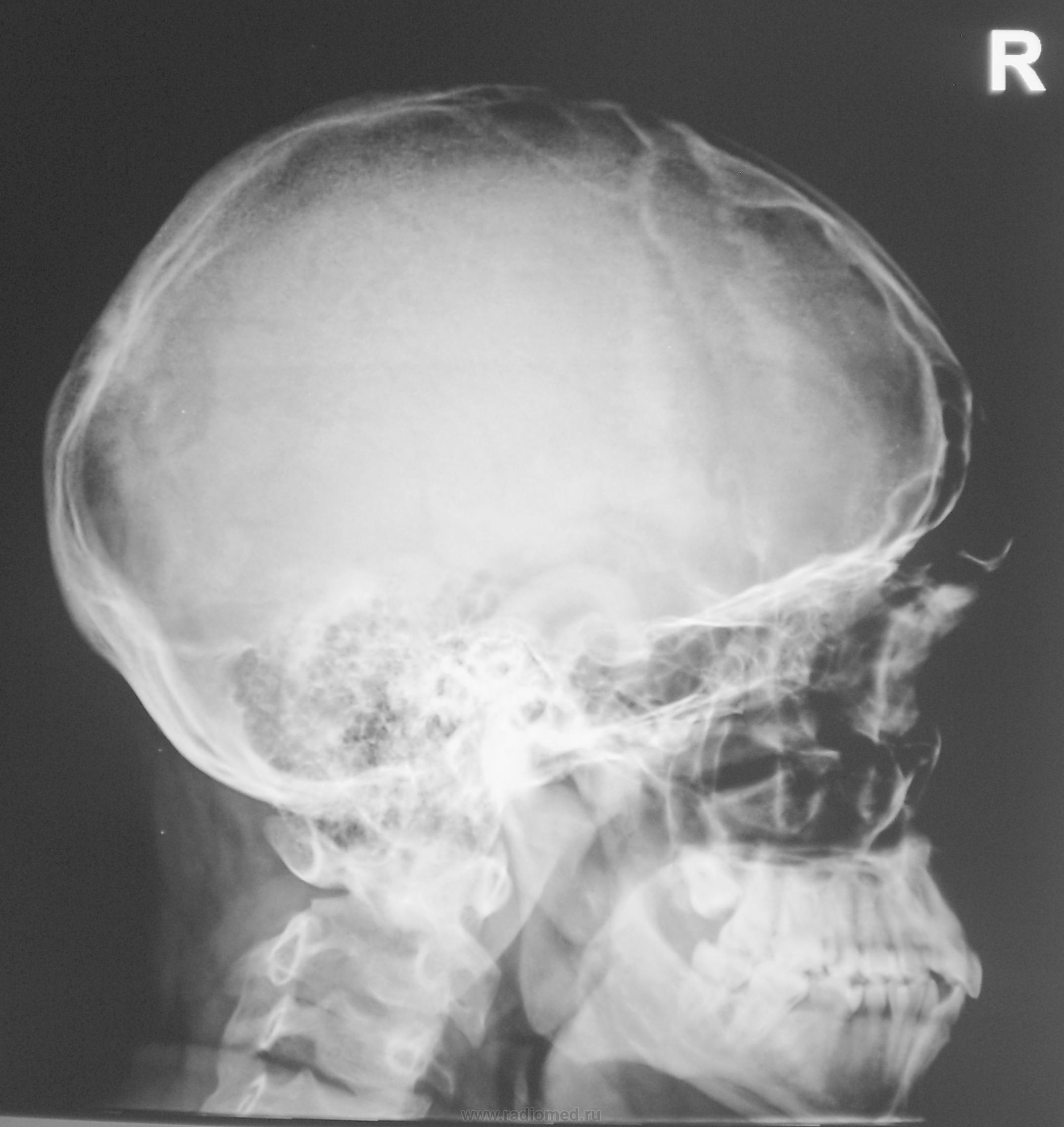
Какие мнения будут по поводу черепа уважаемые коллеги?

Пол пациента: 
Тип патологии: 
Область исследования: 
Методы исследования: 

Какие мнения будут по поводу черепа уважаемые коллеги?

  • https://radiomed.ru/sites/default/files/styles/case_slider_image/public/user/12/2.p3190001a.jpg?itok=Zi8Lk4eP
  • https://radiomed.ru/sites/default/files/styles/case_slider_image/public/user/12/3.p3190002.jpg?itok=bfG7KxRQ
  • https://radiomed.ru/sites/default/files/styles/case_slider_image/public/user/12/4.p3190002a.jpg?itok=IX-9f4Za
  • https://radiomed.ru/sites/default/files/styles/case_slider_image/public/user/12/5.p3190003.jpg?itok=YqClo9NM
  • https://radiomed.ru/sites/default/files/styles/case_slider_image/public/user/12/6.p3190003a.jpg?itok=PuWOlkvv
ID:19756
Наталия Васильевна's picture
Offline
Last seen: 5 years 10 months ago
Joined: 25.09.2011 - 09:02
Posts: 754

Не видно четко контуров верхнего края теменной области и лобных пазух по передней поверхности, хотя мягкотканный компонент не выражен-деструкция костной ткани в результате миеломной болезни?

Dmitry GDM's picture
Offline
Last seen: 10 years 6 months ago
Joined: 21.02.2012 - 06:49
Posts: 44

Локальный эндокраниоз: обызвествление диафрагмы турецкого седла.

Для чего была назначена рентгенография черепа?

Катенёв Валентин Львович's picture
Offline
Last seen: 7 years 2 months ago
Joined: 22.03.2008 - 22:15
Posts: 54876

Фрагменты с увеличением.

 

Приложения: 
1.p3190004.jpg2.p3190004a.jpg3.p3190006ab.jpg4.p3190007.jpg5.p3190007ab.jpg
Наталия Васильевна's picture
Offline
Last seen: 5 years 10 months ago
Joined: 25.09.2011 - 09:02
Posts: 754

Лобных пазух таки не видно. Помнится что-то подобное упоминалось у Сусловой в разделе гистиоцитозы. Жаль книга на работе, но возможно есть что-либо в инете? Но миеломную исключать нельзя. 

Катенёв Валентин Львович's picture
Offline
Last seen: 7 years 2 months ago
Joined: 22.03.2008 - 22:15
Posts: 54876

Вот грудная клетка пациента.

Приложения: 
p3190008.jpgp3190008a.jpg
Наталия Васильевна's picture
Offline
Last seen: 5 years 10 months ago
Joined: 25.09.2011 - 09:02
Posts: 754

Есть деформаци передних отрезков 1 и 3 ребер справа. В прикорневой зоне слева усиление легочного рисунка, здесь же множественные очаги. Но явной деструкции костной ткани не выявляется. А легкие делали по жалобам или уже после черепа?

Катенёв Валентин Львович's picture
Offline
Last seen: 7 years 2 months ago
Joined: 22.03.2008 - 22:15
Posts: 54876

Пациент из ОКБ (без диагноза) был направлен по месту жительства для рентгенографии черепа и ОГК

Наталия Васильевна's picture
Offline
Last seen: 5 years 10 months ago
Joined: 25.09.2011 - 09:02
Posts: 754

Чудесно, ничего и нигде не меняется. Остаюсь пока при своем-миеломная или гистиоцитоз. Интересно мнение рентгенологов, работающих с гематологическими больными. 

tatyana's picture
Offline
Last seen: 4 years 3 months ago
Joined: 24.06.2009 - 08:33
Posts: 2090

Деформации ребер не вижу, впрочем, как и очагов.

Валентин Львович, а дыра во лбу у пациента есть? если нет, то можно посмотреть снимок с нормальной экспозицией

"самоуверенность дилетантов - предмет зависти профессионалов"

Катенёв Валентин Львович's picture
Offline
Last seen: 7 years 2 months ago
Joined: 22.03.2008 - 22:15
Posts: 54876

Сам пациент о "дыре" ничего не знает, не знает и участковый врач. Экспозиция для снимка была адекватная, потом сделали снимок на "мягком" режиме, но картинка стабильная - дыра.

tatyana's picture
Offline
Last seen: 4 years 3 months ago
Joined: 24.06.2009 - 08:33
Posts: 2090

Катенёв Валентин Львович wrote:

 ...потом сделали снимок на "мягком" режиме...

можно его увидеть?

"самоуверенность дилетантов - предмет зависти профессионалов"

Катенёв Валентин Львович's picture
Offline
Last seen: 7 years 2 months ago
Joined: 22.03.2008 - 22:15
Posts: 54876

А, он в 3 комменте, здесь, с вариантами фотошопа.

И.Бондаренко's picture
Offline
Last seen: 3 days 3 hours ago
Joined: 13.09.2011 - 22:55
Posts: 9208

Дыра есть, но может в детстве в лоб кто-то заехал?

Катенёв Валентин Львович's picture
Offline
Last seen: 7 years 2 months ago
Joined: 22.03.2008 - 22:15
Posts: 54876

Травмы не было.

И.Бондаренко's picture
Offline
Last seen: 3 days 3 hours ago
Joined: 13.09.2011 - 22:55
Posts: 9208

А на ощупь дыра чуствуется.

И.Бондаренко's picture
Offline
Last seen: 3 days 3 hours ago
Joined: 13.09.2011 - 22:55
Posts: 9208

Но чётких признаков деструкции не видно.

tatyana's picture
Offline
Last seen: 4 years 3 months ago
Joined: 24.06.2009 - 08:33
Posts: 2090

Если это мягкий снимок, в таком случае у пациента еще отсутствует носовая кость,  нос и мягкие ткани черепа. Сделайте снимок в мягкотканном режиме!

"самоуверенность дилетантов - предмет зависти профессионалов"

Катенёв Валентин Львович's picture
Offline
Last seen: 7 years 2 months ago
Joined: 22.03.2008 - 22:15
Posts: 54876

Завтра попробую.

doktor-rentgen's picture
Offline
Last seen: 9 years 4 months ago
Joined: 06.07.2010 - 20:56
Posts: 640

В легких на фоне 1 ребра справа какое-то уплотнение видится, + несколько усилен лег рис в прикорневой зоне слева.

Катенёв Валентин Львович's picture
Offline
Last seen: 7 years 2 months ago
Joined: 22.03.2008 - 22:15
Posts: 54876

Решили "порезать"

Приложения: 
11.p3220002.jpg12.p3220002a.jpg13.p3220006.jpg14.p3220006a.jpg
tatyana's picture
Offline
Last seen: 4 years 3 months ago
Joined: 24.06.2009 - 08:33
Posts: 2090

А снимок что не сделали?

"самоуверенность дилетантов - предмет зависти профессионалов"

Катенёв Валентин Львович's picture
Offline
Last seen: 7 years 2 months ago
Joined: 22.03.2008 - 22:15
Posts: 54876

Решил, что "томка" вернее.

tatyana's picture
Offline
Last seen: 4 years 3 months ago
Joined: 24.06.2009 - 08:33
Posts: 2090

Ну да, а теперь будем гадать, что за шип вверх торчит )))

"самоуверенность дилетантов - предмет зависти профессионалов"