You are here

Интересно. Что за процесс?

Пол пациента: 
Тип патологии: 
Методы исследования: 

Интересно. Что за процесс?

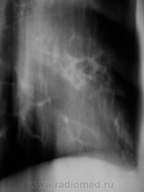
Боковая рентгенограмма.

Контроль через неделю после проведения неспецифической противовоспалительной терапии.

Томограммы.

Контроль. Прошла еще одна неделя.

  • https://radiomed.ru/sites/default/files/styles/case_slider_image/public/user/12/2.pc170018_0.jpg?itok=hFTFLvug
  • https://radiomed.ru/sites/default/files/styles/case_slider_image/public/user/12/3.pc170018a_0.jpg?itok=aLB9HZB_
  • https://radiomed.ru/sites/default/files/styles/case_slider_image/public/user/12/4.pc170018ab_0.jpg?itok=A0kAAJzL
  • https://radiomed.ru/sites/default/files/styles/case_slider_image/public/user/12/5.pc170018abv_0.jpg?itok=V6gmaKTT
  • https://radiomed.ru/sites/default/files/styles/case_slider_image/public/user/12/11.pc170019.jpg?itok=OR4v0Pwk
  • https://radiomed.ru/sites/default/files/styles/case_slider_image/public/user/12/12.pc170020.jpg?itok=BWAvWRXN
  • https://radiomed.ru/sites/default/files/styles/case_slider_image/public/user/12/13.pc170020a.jpg?itok=6pk6UZU_
  • https://radiomed.ru/sites/default/files/styles/case_slider_image/public/user/12/1.pc170021.jpg?itok=zAoycj49
  • https://radiomed.ru/sites/default/files/styles/case_slider_image/public/user/12/2.pc170022.jpg?itok=LG3gXhQe
  • https://radiomed.ru/sites/default/files/styles/case_slider_image/public/user/12/3.pc170022a.jpg?itok=NWj_REPv
  • https://radiomed.ru/sites/default/files/styles/case_slider_image/public/user/12/4.pc170023.jpg?itok=3jTTg7tJ
  • https://radiomed.ru/sites/default/files/styles/case_slider_image/public/user/12/5.pc170024.jpg?itok=sYsoNAvk
  • https://radiomed.ru/sites/default/files/styles/case_slider_image/public/user/12/1.pc170025.jpg?itok=d7UN0mAw
  • https://radiomed.ru/sites/default/files/styles/case_slider_image/public/user/12/2.pc170026.jpg?itok=O0QSspUf
  • https://radiomed.ru/sites/default/files/styles/case_slider_image/public/user/12/3.pc170026a.jpg?itok=AyxDyR4P
  • https://radiomed.ru/sites/default/files/styles/case_slider_image/public/user/12/3.pc170027.jpg?itok=QvPDf-0G
  • https://radiomed.ru/sites/default/files/styles/case_slider_image/public/user/12/5.pc170028.jpg?itok=4E4UWD4O
  • https://radiomed.ru/sites/default/files/styles/case_slider_image/public/user/12/6.pc170028a.jpg?itok=cuys4hpX
  • https://radiomed.ru/sites/default/files/styles/case_slider_image/public/user/12/7.pc170029.jpg?itok=xxoE8VzQ
  • https://radiomed.ru/sites/default/files/styles/case_slider_image/public/user/12/8.pc170029a.jpg?itok=oh-Po5Df
  • https://radiomed.ru/sites/default/files/styles/case_slider_image/public/user/12/1.pc170030_0.jpg?itok=99d3l7sd
  • https://radiomed.ru/sites/default/files/styles/case_slider_image/public/user/12/2.pc170031_0.jpg?itok=5tOTnr5h
  • https://radiomed.ru/sites/default/files/styles/case_slider_image/public/user/12/3.pc170031-1_0.jpg?itok=ogon8cuB
  • https://radiomed.ru/sites/default/files/styles/case_slider_image/public/user/12/4._itbyu.jpg?itok=DOuPZZzb
  • https://radiomed.ru/sites/default/files/styles/case_slider_image/public/user/12/5.pc170032.jpg?itok=glScBmU-
  • https://radiomed.ru/sites/default/files/styles/case_slider_image/public/user/12/6.pc170033.jpg?itok=USo2Wr8r
ID:19929
Nikolas's picture
Offline
Last seen: 1 month 3 weeks ago
Joined: 21.12.2010 - 20:37
Posts: 4560

S4 справа.

И.Бондаренко's picture
Offline
Last seen: 5 days 4 hours ago
Joined: 13.09.2011 - 22:55
Posts: 9213

Пока за пневмонию. Хотелось бы знать возраст, клинику.

Катенёв Валентин Львович's picture
Offline
Last seen: 7 years 5 months ago
Joined: 22.03.2008 - 22:15
Posts: 54876

Клиника "тухлой" пневмонии есть. Возраст - около 40 лет.

И.Бондаренко's picture
Offline
Last seen: 5 days 4 hours ago
Joined: 13.09.2011 - 22:55
Posts: 9213

Наверное надо лечить пневмонию. В последующем на контроль, что останется.

Побединский Михаил Александрович's picture
Offline
Last seen: 8 years 2 months ago
Joined: 25.12.2010 - 23:44
Posts: 696

Для пневмонии корень дюже спокоен, никак не реагирует. Это что-то обособленное. Поддержу Nikolas(a).

Любовь С.'s picture
Offline
Last seen: 9 years 10 months ago
Joined: 23.12.2010 - 01:58
Posts: 2324

Интересно, где боковой?) Ну допустим, из ребра. Как доказать, что это не так?) Вообще любые комментарии по 1 проекции при наличии объёмной патологии.... как бы помягче... не вполне корректны. devil  

Жалобы есть или нет? Валентин Львович, ну что Вы, право, как партизан, всё из Вас надо вытягивать клещами). Давайте сразу обе проекции и все томограммки, пожалуйста! angel  Иногда хочется подождать, когда все имеющиеся в наличии снимки выставите, а уж потом что-то предлагать в виде версии).

"Предоставляя весь смысл и совершенство в распоряжение одного только Бога, вы избавляете себя от бездны хлопот." Джон Уитборн.

Катенёв Валентин Львович's picture
Offline
Last seen: 7 years 5 months ago
Joined: 22.03.2008 - 22:15
Posts: 54876

Любовь С. wrote:

Интересно, где боковой?)

И, опять Вы правы Люба!

Вот боковой!

Томограмм в этот раз не делали, а "клиника"? Так терапевт - лечащий свидетельствует, что клиника пневмонии есть.

Приложения: 
11.pc170019.jpg12.pc170020.jpg13.pc170020a.jpg
Любовь С.'s picture
Offline
Last seen: 9 years 10 months ago
Joined: 23.12.2010 - 01:58
Posts: 2324

Браво Николасу!                                                                                               

Ну если клиника пневмонии, то полечить, бронхоскопию в идеале и контроль после лечения.

"Предоставляя весь смысл и совершенство в распоряжение одного только Бога, вы избавляете себя от бездны хлопот." Джон Уитборн.

Катенёв Валентин Львович's picture
Offline
Last seen: 7 years 5 months ago
Joined: 22.03.2008 - 22:15
Posts: 54876

Так, Вы считаете Люба, что "это" не пневмония?

Любовь С.'s picture
Offline
Last seen: 9 years 10 months ago
Joined: 23.12.2010 - 01:58
Posts: 2324

Это - ателектаз сегмента. Расправится - вот и посмотрим. А ателектазированные сегменты я анализировать не умею).

"Предоставляя весь смысл и совершенство в распоряжение одного только Бога, вы избавляете себя от бездны хлопот." Джон Уитборн.

Катенёв Валентин Львович's picture
Offline
Last seen: 7 years 5 months ago
Joined: 22.03.2008 - 22:15
Posts: 54876

Спасибо за ответ.

Я думаю, что этот случай будет "красивый", как цветущая вишня.

Анютка's picture
Offline
Last seen: 14 years 1 month ago
Joined: 17.02.2010 - 23:41
Posts: 18

 Валентин Львович, а неизвестно пневмония у данного субъекта  не рецидивирующая?  

Хотя с учётом уменьшения объёма сегмента и присутсвия клиники пневмонии всё-таки желательно КТ для оценки  бронхиальной проходимости.

Катенёв Валентин Львович's picture
Offline
Last seen: 7 years 5 months ago
Joined: 22.03.2008 - 22:15
Posts: 54876

Анютка wrote:

 а неизвестно пневмония у данного субъекта  не рецидивирующая?  

Хотя с учётом уменьшения объёма сегмента и присутсвия клиники пневмонии всё-таки желательно КТ для оценки  бронхиальной проходимости.

Ранее, вроде не болел, о рецидиве не думали. Вы считаете, что КТ необходимо?

Анютка's picture
Offline
Last seen: 14 years 1 month ago
Joined: 17.02.2010 - 23:41
Posts: 18

 Не то чтобы необходимо, а есть два варианта:

 1 - КТ сразу  

2 полечить, затем КТ,

 просто у нас КТ на одном этаже и соответственно все зависит только от скорости и желания лечащего врача, не могу сказать, что в данном случае КТ необходимо однозначно, так как не раз видела пневмонию с деформацией корня , объёмным уменьшением и  впечатлением наличия объёмного образования, которая на адекватной терапии излечивалась полностью и наоборот -огромный перифирический рак который был описан как пневмония неизвестной природы без объёмного уменьшения  и без деформации корня....

Катенёв Валентин Львович's picture
Offline
Last seen: 7 years 5 months ago
Joined: 22.03.2008 - 22:15
Posts: 54876

Спасибо за ответ. Но, у нас нет КТ, нет его и близлежащих районах.

Катенёв Валентин Львович's picture
Offline
Last seen: 7 years 5 months ago
Joined: 22.03.2008 - 22:15
Posts: 54876

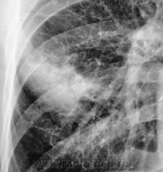
Контроль через неделю после проведения неспецифической противовоспалительной терапии.

Приложения: 
1.pc170021.jpg2.pc170022.jpg3.pc170022a.jpg4.pc170023.jpg5.pc170024.jpg
Катенёв Валентин Львович's picture
Offline
Last seen: 7 years 5 months ago
Joined: 22.03.2008 - 22:15
Posts: 54876

Томограммы.

Приложения: 
1.pc170025.jpg2.pc170026.jpg3.pc170026a.jpg3.pc170027.jpg5.pc170028.jpg6.pc170028a.jpg7.pc170029.jpg8.pc170029a.jpg
Гриша Хата's picture
Offline
Last seen: 10 years 5 months ago
Joined: 09.02.2011 - 20:40
Posts: 665

Ателектаз почти расправился или перисциссурит почти рассосался? Может проголосуем?

stovbav's picture
Offline
Last seen: 2 years 7 months ago
Joined: 20.12.2009 - 17:28
Posts: 7066

А был ли "мальчик"...это я об фиброателектазе...пневмония, как пневмония...

Катенёв Валентин Львович's picture
Offline
Last seen: 7 years 5 months ago
Joined: 22.03.2008 - 22:15
Posts: 54876

Гриша Хата wrote:

Ателектаз почти расправился или перисциссурит почти рассосался? Может проголосуем?

Ещё не вечер...

Катенёв Валентин Львович's picture
Offline
Last seen: 7 years 5 months ago
Joined: 22.03.2008 - 22:15
Posts: 54876

Контроль. Прошла еще одна неделя.

Приложения: 
1.pc170030.jpg2.pc170031.jpg3.pc170031-1.jpg4._itbyu.jpg5.pc170032.jpg6.pc170033.jpg