You are here

Травмы не было.

Пол пациента: 
Тип патологии: 
Область исследования: 
Методы исследования: 

Травмы не было.

  • https://radiomed.ru/sites/default/files/styles/case_slider_image/public/user/12/2.pb010093a.jpg?itok=Nsqz7sAX
  • https://radiomed.ru/sites/default/files/styles/case_slider_image/public/user/12/3.pb010091.jpg?itok=6OPk3rM2
  • https://radiomed.ru/sites/default/files/styles/case_slider_image/public/user/12/4.pb010092a.jpg?itok=XOZQsZd2
  • https://radiomed.ru/sites/default/files/styles/case_slider_image/public/user/12/5.pb010094.jpg?itok=iltD7Xeh
  • https://radiomed.ru/sites/default/files/styles/case_slider_image/public/user/12/6.pb010094a.jpg?itok=2-QVqm1b
ID:19915
Глазков Игорь Артурович's picture
Offline
Last seen: 11 months 3 weeks ago
Joined: 19.12.2008 - 20:41
Posts: 1597

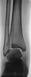
Первое, что приходит на ум, - это обызвествление сухожилия. А вот очажок в проекции дистальной части б\б кости, что это?

Прийди к Себе

Чижевский Вадим Алексеевич's picture
Offline
Last seen: 3 years 2 months ago
Joined: 12.11.2008 - 21:21
Posts: 43

Глазков Игорь Артурович wrote:

 А вот очажок в проекции дистальной части б\б кости, что это?

может это insula compacta?

Катенёв Валентин Львович's picture
Offline
Last seen: 7 years 2 months ago
Joined: 22.03.2008 - 22:15
Posts: 54876

Или эностоз, что одно и тоже.