You are here

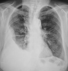
Пациентка направлена на рентгенографию ОГК с диагнозом пневмония.

Пол пациента: 
Тип патологии: 
Методы исследования: 

Пациентка направлена на рентгенографию ОГК с диагнозом пневмония.

Снимки произведены в выходной день. Какие мнения будут уважаемые коллеги?

Томограммы, прямая проекция.

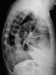
Боковые томограммы.

Фрагменты томограмм с увеличением.

  • https://radiomed.ru/sites/default/files/styles/case_slider_image/public/user/12/2..p3270023.jpg?itok=KlFNwUI9
  • https://radiomed.ru/sites/default/files/styles/case_slider_image/public/user/12/3..p3270023a.jpg?itok=Wltk_0Qe
  • https://radiomed.ru/sites/default/files/styles/case_slider_image/public/user/12/1.p3270024.jpg?itok=1gytu1Jf
  • https://radiomed.ru/sites/default/files/styles/case_slider_image/public/user/12/2.p3270025.jpg?itok=h9kEQq4q
  • https://radiomed.ru/sites/default/files/styles/case_slider_image/public/user/12/3.p3270026.jpg?itok=4zm1lnvp
  • https://radiomed.ru/sites/default/files/styles/case_slider_image/public/user/12/4.p3270027.jpg?itok=w6JIk6zb
  • https://radiomed.ru/sites/default/files/styles/case_slider_image/public/user/12/5.p3270027a.jpg?itok=FLdQfpQb
  • https://radiomed.ru/sites/default/files/styles/case_slider_image/public/user/12/6.p3270029.jpg?itok=M7h4A8FO
  • https://radiomed.ru/sites/default/files/styles/case_slider_image/public/user/12/7.p3270029a.jpg?itok=35rnhYfx
  • https://radiomed.ru/sites/default/files/styles/case_slider_image/public/user/12/1.p3270028.jpg?itok=fOrQwlgM
  • https://radiomed.ru/sites/default/files/styles/case_slider_image/public/user/12/2.p3270028a.jpg?itok=b3cUzqdu
  • https://radiomed.ru/sites/default/files/styles/case_slider_image/public/user/12/3.p3270030.jpg?itok=jgBbLItH
  • https://radiomed.ru/sites/default/files/styles/case_slider_image/public/user/12/4.p3270030a.jpg?itok=8fyJSgPx
  • https://radiomed.ru/sites/default/files/styles/case_slider_image/public/user/12/5.p3270031.jpg?itok=Ijb6jj7S
  • https://radiomed.ru/sites/default/files/styles/case_slider_image/public/user/12/6.p3270031a.jpg?itok=8ZPPRJTp
  • https://radiomed.ru/sites/default/files/styles/case_slider_image/public/user/12/7.p3270032.jpg?itok=uhNAPnSb
  • https://radiomed.ru/sites/default/files/styles/case_slider_image/public/user/12/8.p3270032a.jpg?itok=DalToOyl
  • https://radiomed.ru/sites/default/files/styles/case_slider_image/public/user/12/9.p3270032ab.jpg?itok=gCj8kSJ8
ID:20223
Побединский Михаил Александрович's picture
Offline
Last seen: 8 years 3 months ago
Joined: 25.12.2010 - 23:44
Posts: 696

Правосторонний гидроторакс. К хирургу, потом на контроль.

nelly's picture
Offline
Last seen: 11 years 6 months ago
Joined: 11.07.2011 - 19:19
Posts: 328

помимо гидроторакса мне видятся очаговые тени в верних отделах легких,томографию надо

Катенёв Валентин Львович's picture
Offline
Last seen: 7 years 6 months ago
Joined: 22.03.2008 - 22:15
Posts: 54876

Побединский Михаил Александрович wrote:

Правосторонний гидроторакс. К хирургу, потом на контроль.

К хирургу для пункции?

Катенёв Валентин Львович's picture
Offline
Last seen: 7 years 6 months ago
Joined: 22.03.2008 - 22:15
Posts: 54876

nelly wrote:

помимо гидроторакса мне видятся очаговые тени в верних отделах легких,томографию надо

Очаговые тени? Это интересно. Значит надо томографировать?

Катенёв Валентин Львович's picture
Offline
Last seen: 7 years 6 months ago
Joined: 22.03.2008 - 22:15
Posts: 54876

Томограммы в прямой проекции выставлены

 

Приложения: 
1.p3270024.jpg2.p3270025.jpg3.p3270026.jpg
Евгений1313's picture
Offline
Last seen: 13 years 5 months ago
Joined: 15.10.2010 - 19:13
Posts: 808

Осумкование плеврита очевидно.Нет растекания на томограммах.Процесс давний.

Катенёв Валентин Львович's picture
Offline
Last seen: 7 years 6 months ago
Joined: 22.03.2008 - 22:15
Posts: 54876

Добавлены томограммы в боковой проекции.

Santuus's picture
Offline
Last seen: 2 years 10 months ago
Joined: 01.07.2009 - 23:08
Posts: 109

Правосторонняя пневмония осложнённая плевритом.

Катенёв Валентин Львович's picture
Offline
Last seen: 7 years 6 months ago
Joined: 22.03.2008 - 22:15
Posts: 54876

Добавлены фрагменты томограмм с увеличением.

Приложения: 
1.p3270028.jpg2.p3270028a.jpg3.p3270030.jpg4.p3270030a.jpg5.p3270031.jpg6.p3270031a.jpg7.p3270032.jpg8.p3270032a.jpg9.p3270032ab.jpg
И.Бондаренко's picture
Offline
Last seen: 2 days 22 hours ago
Joined: 13.09.2011 - 22:55
Posts: 9214

Мне кажется, что есть наличие образования по передней стенке, ретростернально.

vasyablack's picture
Offline
Last seen: 12 years 5 months ago
Joined: 22.03.2012 - 23:38
Posts: 53

Как мне кажется там их 2-а

Побединский Михаил Александрович's picture
Offline
Last seen: 8 years 3 months ago
Joined: 25.12.2010 - 23:44
Posts: 696

Неужто тубплеврит? Полиморфные очаговые тени говорят сами за себя.

Завидую белой завистью качеству томограмм!!!!

Катенёв Валентин Львович's picture
Offline
Last seen: 7 years 6 months ago
Joined: 22.03.2008 - 22:15
Posts: 54876

Побединский Михаил Александрович wrote:

Завидую белой завистью качеству томограмм!!!!

Не завидуйте уважаемый Михаил Александрович! Нагрузка идет ужасная! Три лаборанта в первую смену на аппарате полностю в мыле...