You are here

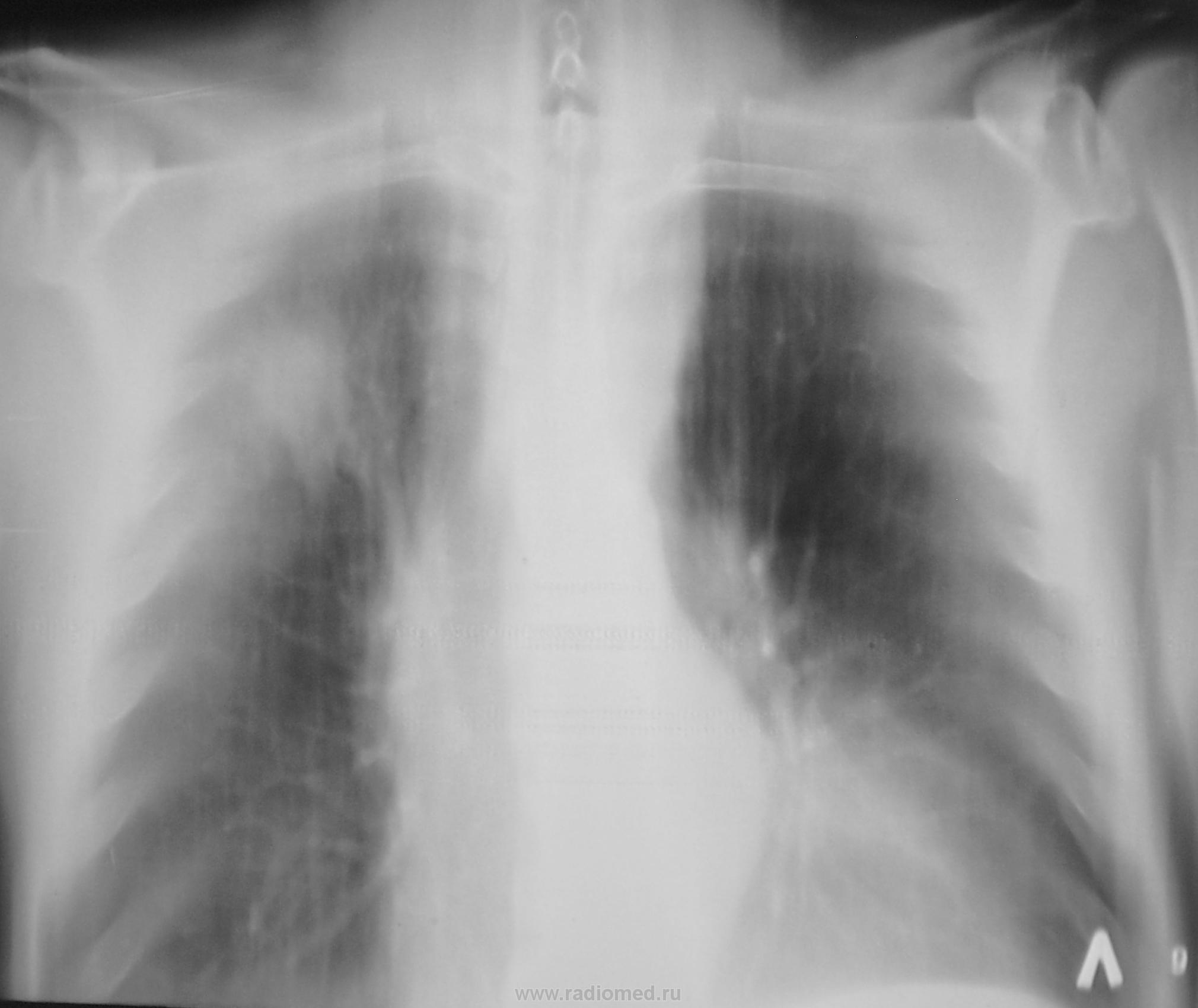
После "флюшки" сделали рентгенограмму. Какие будут мнения?

Пол пациента: 
Тип патологии: 
Методы исследования: 

После "флюшки" сделали рентгенограмму. Какие будут мнения?

Томограммы.

Фрагменты томограмм с увеличением.

  • https://radiomed.ru/sites/default/files/styles/case_slider_image/public/user/12/11.p3280018.jpg?itok=Pxlzf6qQ
  • https://radiomed.ru/sites/default/files/styles/case_slider_image/public/user/12/12.p3280019.jpg?itok=Y9D8qZOy
  • https://radiomed.ru/sites/default/files/styles/case_slider_image/public/user/12/13.p3280020.jpg?itok=2TNjIklM
  • https://radiomed.ru/sites/default/files/styles/case_slider_image/public/user/12/11.p3280021.jpg?itok=xpQCPUv6
  • https://radiomed.ru/sites/default/files/styles/case_slider_image/public/user/12/12.p3280021a.jpg?itok=ctDZtyOV
  • https://radiomed.ru/sites/default/files/styles/case_slider_image/public/user/12/13.p3280021d.jpg?itok=N3iDWS6J
  • https://radiomed.ru/sites/default/files/styles/case_slider_image/public/user/12/14.p3280021da.jpg?itok=EA1TaGNg
  • https://radiomed.ru/sites/default/files/styles/case_slider_image/public/user/12/15.p3280021dazh.jpg?itok=gIz9Fsje
ID:20200
Побединский Михаил Александрович's picture
Offline
Last seen: 8 years 6 days ago
Joined: 25.12.2010 - 23:44
Posts: 696

Инфильтрат во II-ом межреберье справа(S2).

Глазков Игорь Артурович's picture
Offline
Last seen: 11 months 3 weeks ago
Joined: 19.12.2008 - 20:41
Posts: 1597

определяется округлая тень с неровными контурами. Возраст пациента, жалобы и желательно боковой. Кстати в проекции 1 и 2-ого рёбер, тоже очаги? Лёгочный рисунок деформирован за счёт пневмофиброзных изменений.

Прийди к Себе

Наталия Васильевна's picture
Offline
Last seen: 5 years 11 months ago
Joined: 25.09.2011 - 09:02
Posts: 754

И опять его Величество? На фоне пневмофиброза и выраженного сосудистого компонента.

Катенёв Валентин Львович's picture
Offline
Last seen: 7 years 3 months ago
Joined: 22.03.2008 - 22:15
Posts: 54876

Наталия Васильевна wrote:

И опять его Величество? На фоне пневмофиброза и выраженного сосудистого компонента.

На "тубер" намекаете?

Наталия Васильевна's picture
Offline
Last seen: 5 years 11 months ago
Joined: 25.09.2011 - 09:02
Posts: 754

И на него в том числе. Очень не нравится легочной рисунок, диффузно усилен, несколько деформирован. А справа в S6 тоже не все гладко. На первое-ТВС, на второе-периферия или МTS. 

Катенёв Валентин Львович's picture
Offline
Last seen: 7 years 3 months ago
Joined: 22.03.2008 - 22:15
Posts: 54876

Добавлены томограммы.

И.Бондаренко's picture
Offline
Last seen: 5 days 10 hours ago
Joined: 13.09.2011 - 22:55
Posts: 9208

Начнём с фтизиатров.

Nikolas's picture
Offline
Last seen: 1 month 2 weeks ago
Joined: 21.12.2010 - 20:37
Posts: 4560

посылать пациента к фтизиатру. Я бы его отправил к онкологу, так как очерченный фрагмет расцениваю как гиповентиляцию. Вышележащая тень - опухоль. Жду другие мнения. Сегодня интересный вечер для совместного обсуждения клинических наблюдений.

Приложения: 
12.p3280021a.jpg
Побединский Михаил Александрович's picture
Offline
Last seen: 8 years 6 days ago
Joined: 25.12.2010 - 23:44
Posts: 696

Флюшка профилактическая? И пациент ни на что не жаловался? Очагов тут нет, и как бы действительно онкология не оказалась.

Но в любом случае онкологи принимают после заключения фтизиатра. А фтизиатр (предположительно) примет после курса неспецифической а/б терапии.

Nikolas's picture
Offline
Last seen: 1 month 2 weeks ago
Joined: 21.12.2010 - 20:37
Posts: 4560

Самые худшие варианты тактики обследования пациента. Так врачи плодят резистентность к антибиотикам и дисбиоз.

Катенёв Валентин Львович's picture
Offline
Last seen: 7 years 3 months ago
Joined: 22.03.2008 - 22:15
Posts: 54876

Побединский Михаил Александрович wrote:

Флюшка профилактическая? И пациент ни на что не жаловался?

Да, профилактическая. Из жалоб кашель, который связывается с курением.

Катенёв Валентин Львович's picture
Offline
Last seen: 7 years 3 months ago
Joined: 22.03.2008 - 22:15
Posts: 54876

Nikolas wrote:

Самые худшие вариатны тактики обследования пациента. Так врачи плодят резистентность к антибиотикам и дисбиоз.

С фтизиатром сначала поругались до мата..., потом попили чая, поцеловали друг друга в "засос" и решили, что пациент завтра поедет в областную контору на диагностику...

Катенёв Валентин Львович's picture
Offline
Last seen: 7 years 3 months ago
Joined: 22.03.2008 - 22:15
Posts: 54876

Nikolas wrote:

посылать пациента к фтизиатру. Я бы его отправил к онкологу, так как очерченный фрагмет расцениваю как гиповентиляцию. Вышележащая тень - опухоль. Жду другие мнения. Сегодня интересный вечер для совместного обсуждения клинических наблюдений.

Да, без онколога похоже не обойдемся. Был похожий случай...

Приложения: 
1.onn_..jpg2.onn_.3.jpg3.onn_.5.jpg4.onn_.13.jpg5.onn_.16.jpg
боня's picture
Offline
Last seen: 13 years 10 months ago
Joined: 05.04.2012 - 14:16
Posts: 12

Похоже на с-r с mts в ЛУ средостения и гиповентиляцией верхней доли.