You are here

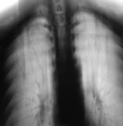
Взяли на контроль, смутили очаги на верхушке.

Пол пациента: 
Тип патологии: 
Методы исследования: 

Взяли на контроль, смутили очаги на верхушке.

Томограммы.

  • https://radiomed.ru/sites/default/files/styles/case_slider_image/public/user/12/22.p3280006a.jpg?itok=J-iyfq9c
  • https://radiomed.ru/sites/default/files/styles/case_slider_image/public/user/12/23.p3280007.jpg?itok=PKA5hO3C
  • https://radiomed.ru/sites/default/files/styles/case_slider_image/public/user/12/24.p3280007a.jpg?itok=NfpjRAWf
  • https://radiomed.ru/sites/default/files/styles/case_slider_image/public/user/12/25.p3280007g.jpg?itok=vhYPkbA1
  • https://radiomed.ru/sites/default/files/styles/case_slider_image/public/user/12/26.p3280007gd.jpg?itok=YFdk-5gX
  • https://radiomed.ru/sites/default/files/styles/case_slider_image/public/user/12/21.p3280008.jpg?itok=izvs5R4Z
  • https://radiomed.ru/sites/default/files/styles/case_slider_image/public/user/12/22.p3280009.jpg?itok=hQ1m7K4J
  • https://radiomed.ru/sites/default/files/styles/case_slider_image/public/user/12/23.p3280010.jpg?itok=CcX6RCYL
ID:20210
И.Бондаренко's picture
Offline
Last seen: 21 hours 36 min ago
Joined: 13.09.2011 - 22:55
Posts: 9206

Они и меня смущают.

stovbav's picture
Offline
Last seen: 2 years 2 months ago
Joined: 20.12.2009 - 17:28
Posts: 7066

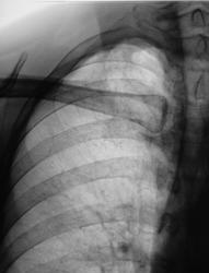
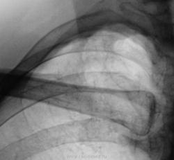
.... и меня тоже))))...причем и левая тоже))))- очаговая тень на фоне 1-го ребра и немного за него выступающая....

cupitur's picture
Offline
Last seen: 11 years 10 months ago
Joined: 19.09.2011 - 10:42
Posts: 262

а что с ключицей? подскажите!!!

stovbav's picture
Offline
Last seen: 2 years 2 months ago
Joined: 20.12.2009 - 17:28
Posts: 7066

cupitur wrote:

а что с ключицей? подскажите!!!

Была сломана, срослась...не это главное))))

cupitur's picture
Offline
Last seen: 11 years 10 months ago
Joined: 19.09.2011 - 10:42
Posts: 262

stovbav wrote:

cupitur wrote:

а что с ключицей? подскажите!!!

Была сломана, срослась...не это главное))))

Я понял, но главное было подтвердить свое мнение. Спасибо.