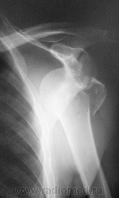
Пол пациента: Мужской пол Тип патологии: Травма Область исследования: Скелетно-мышечная система Методы исследования: Rg Травма. https://radiomed.ru/sites/default/files/styles/case_slider_image/public/user/12/2.p9240060a.jpg?itok=NJ1o5fez ID:20220 Wed, 28/03/2012 - 20:43 #1 Глазков Игорь А... Offline Last seen: 10 months 2 weeks ago Joined: 19.12.2008 - 20:41 Posts: 1597 плечевой кости с отрывом большого бугра. К травматологу и на контроль. Прийди к Себе Wed, 28/03/2012 - 21:04 #2 И.Бондаренко Offline Last seen: 5 days 7 hours ago Joined: 13.09.2011 - 22:55 Posts: 9206 +1. Дополнительно вдавленный перелом головки плечевой кости.
плечевой кости с отрывом большого бугра. К травматологу и на контроль.
Прийди к Себе
+1. Дополнительно вдавленный перелом головки плечевой кости.