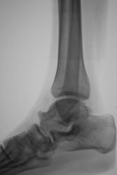
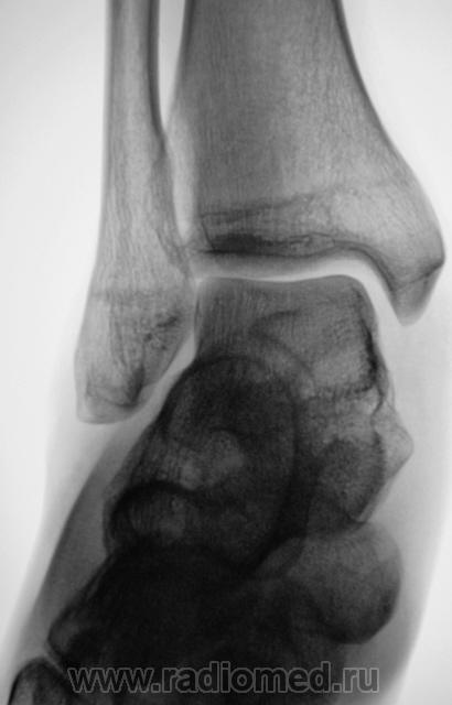
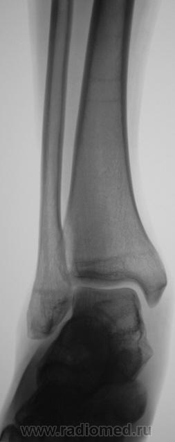
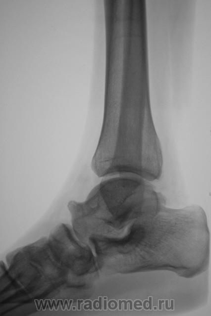
Пол пациента: Мужской пол Тип патологии: Другое Область исследования: Скелетно-мышечная система Методы исследования: Rg Пациент направлен врачом хирургом в рентгеновский кабинет по поводу болей в голеностопном суставе. Произведена рентгенография голеностопного сустава Ваше мнение уважаемые коллеги? Tue, 06/10/2009 - 22:21 #1 Ермолаев Offline Last seen: 8 years 11 months ago Joined: 07.02.2009 - 16:33 Posts: 670 Думаю, что имеет место артроз голеностопного сустава и таранно-ладьевидного, таранно-пяточного суставов. Только это следствие, а причина мне видится в наличии повреждения дистального межберцового синдесмоза. dok Tue, 06/10/2009 - 22:48 #2 В.Б. Серов Offline Last seen: 1 month 2 weeks ago Joined: 16.07.2008 - 10:15 Posts: 1361 Дугообразная деформация костей, с линейными зонами перестройки, плоскостопие. Полный комплект дефектов Зри в корень!
Думаю, что имеет место артроз голеностопного сустава и таранно-ладьевидного, таранно-пяточного суставов. Только это следствие, а причина мне видится в наличии повреждения дистального межберцового синдесмоза.
dok
Дугообразная деформация костей, с линейными зонами перестройки, плоскостопие. Полный комплект дефектов
Зри в корень!