You are here

Какие мнения будут уважаемые коллеги?

Пол пациента: 
Тип патологии: 
Область исследования: 
Методы исследования: 

Какие мнения будут уважаемые коллеги?

  • https://radiomed.ru/sites/default/files/styles/case_slider_image/public/user/12/2.pb130010a.jpg?itok=RbpnjaaN
  • https://radiomed.ru/sites/default/files/styles/case_slider_image/public/user/12/3.pb130010bpa.jpg?itok=rekVDtSJ
  • https://radiomed.ru/sites/default/files/styles/case_slider_image/public/user/12/4.pb130011.jpg?itok=pMDGD-Qa
  • https://radiomed.ru/sites/default/files/styles/case_slider_image/public/user/12/5.pb130012.jpg?itok=l8iTr95Z
  • https://radiomed.ru/sites/default/files/styles/case_slider_image/public/user/12/6.pb130012a.jpg?itok=od8hkaEs
ID:20356
Наталия Васильевна's picture
Offline
Last seen: 5 years 11 months ago
Joined: 25.09.2011 - 09:02
Posts: 754

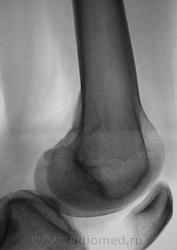
Энхондрома ? Но учитывая ячеистость, нельзя исключить гиганто-клеточную.

Катенёв Валентин Львович's picture
Offline
Last seen: 7 years 3 months ago
Joined: 22.03.2008 - 22:15
Posts: 54876

А, на "такое" не похоже?

Приложения: 
1._ne_pohozhe.slayd27.jpg
И.Бондаренко's picture
Offline
Last seen: 4 days 16 hours ago
Joined: 13.09.2011 - 22:55
Posts: 9208

Думаю, что похоже. Видится дефект в кортикальном слое.

Катенёв Валентин Львович's picture
Offline
Last seen: 7 years 3 months ago
Joined: 22.03.2008 - 22:15
Posts: 54876

И.Бондаренко wrote:

Думаю, что похоже. Видится дефект в кортикальном слое.

Так значит НОФ?