Пол пациента:
Тип патологии:
Область исследования:
В продолжение темы Типичная рентгеновская картина или должен ли рентгенолог предполагать морфологическую форму опухоли кости?
И снова редкая нозология и типичная рентгеновская картина.
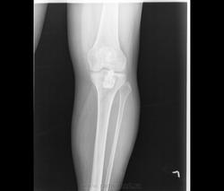
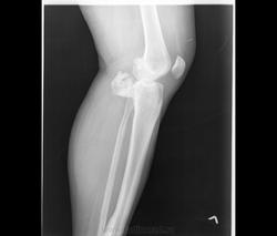
После рентгенографии и КТ направительный диагноз "костно-хрящевой экзостоз проксимального эпифиза, гиперостоз диафиза левой б/берцовой кости".
Посмотрели, досняли, доказали, диагноз изменили.
Ваше мнение, коллеги, о процессе и что стоит доснять?
Ну, раз коллективное молчачание, тогда - остеохондрома.
С моей колокольни- то же экзостоз, но если что-то редкое, то вероятно должно быть другое заключение.
Коллеги, я же написала, что "остеохондрома (экзостоз)" был направительный диагноз, который сняли, проведя рентгеновское дообследование. Для экзостоза характерно: ножка исходит и имеет структуру губчатой кости, корковый слой переходит снаружи на ножку. Здесь образование исходит из коркового слоя (видно на КТ). Кроме того я указала, что в направительном диагноза (видно в нижних отделах бокового снимка) есть гиперостоз диафиза б/берцовой кости.
Не много ли болезней у одного больного?
"самоуверенность дилетантов - предмет зависти профессионалов"
Паростальная саркома?
Коллега, Вы назвали самый распространенный диагноз, с которым пациентов, страдающих этим заболеванием, направляют к онкологу. Однако, это не опухоль.
Забыла уточнить, поражение одностороннее...
"самоуверенность дилетантов - предмет зависти профессионалов"
Травма в анамнезе была?
Нет. Беспокоит ограничение сгибания в коленном суставе.
Так что же досняли?
"самоуверенность дилетантов - предмет зависти профессионалов"
похоже ответа не будет... жаль...но время позднее...
Теперь варианты будут?
"самоуверенность дилетантов - предмет зависти профессионалов"
Кроме множественных экзостозов ничего в голову не приходит...
Обратите внимание, помимо гиперостоза, в дистальном эпифизе б/берцовой кости, 1 плюсневой кости и проксимальной фаланге 1 пальца - внутрикостные очаги склероза. Т.о.: гиперостоз, остеосклероз и гететопические оссификаты костей левой нижней конечности.
http://www.radiomed.ru/publications/kss-meloreostoz
"самоуверенность дилетантов - предмет зависти профессионалов"
А, сейчас вообще ничего не понятно. Вы хотите сказать, что первично выставленные в этой ветке снимки соответствуют мелореостозу?
Могу добавить: в первом случае в эпиметафизе бедра на заднем контуре видна такая же штуковина. Но вот что это.... Как говорил мой учитель в таких случаях: "Не заряжено – не стреляет". Я бы ещё предположил периостальную саркому, но уже сказано: "НЕ опухоль".
Короче. Чем назовёте tatyana, тем ОНО и будет для нас. Вы наша Alma mater, а мы ваши дети послушные).
Неоднозначно всё
разумеется
"самоуверенность дилетантов - предмет зависти профессионалов"
Штуковину по задней поверхности бедра вдогонку обозвали хондромным телом, тем не менее это такая же гетеротопическая оссификация
Микроскопическая картина: фрагменты костных балок с явлениями гиперостоза, утолщенные элементы ламеллярной кости на отдельных участках с резким сужением и облитерацией гаверсовых каналов, очаговый межбалочный фиброз с замещением элементов жирового костного мозга.
"самоуверенность дилетантов - предмет зависти профессионалов"
Вот еще немного снимков
"самоуверенность дилетантов - предмет зависти профессионалов"
Большое спасибо за случай, tatyana. Самому ни разу не встречалось.
С уважением. Ильич.
С уважением. Ильич.
А биопсию делали? Никогда бы не подумал на мелореостоз
В данном случае на тактику лечения диагноз не влияет: образования из подколенной области, которые мешали, удалили.
Собственно, случай размещен, чтобы услышать варианты диагноза. Но пока окромя экзостозов, не объясняющих гиперостоз и внутрикостный остеосклероз, и остеосаркомы (по-видимому множественной - в б/берцовой и 1 плюсневой кости с метастазами в кости и мягкие ткани) вариантов нет. Ваш диагноз?
"самоуверенность дилетантов - предмет зависти профессионалов"
Татьяна, спасибо за интересный и редкий случай, никогда с таким не сталкивался.
Хочешь сделать что-то нормально - сделай это сам!
Спасибо ,Ильич и Сан Саныч.
"самоуверенность дилетантов - предмет зависти профессионалов"
Свечу уже зажгли, но воск ещё не потёк. Он скопился отдельными каплями, как камедь на персиковам деревце, повреждённом поздними заморозками.
Спасибо, Татьяна Валентиновна, за интересное наблюдение.
Вау! Как Вы сплетаете слова, Гриша!
"самоуверенность дилетантов - предмет зависти профессионалов"
Хотел Вас порадовать, Татьяна Валентиновна. Ведь гурманов оказалось не очень много.
Сытный ужин и тёплый диван очень способствуют пробуждению философских мыслей и поэтических образов… пока сон не сморит))
Неоднозначно всё
Хочу! Хочу! Хочу!
"самоуверенность дилетантов - предмет зависти профессионалов"
Мыслей? Образов? и Сна?
Неоднозначно всё
Кстати, вот читаю про внутрикостный остеосклероз и сразу вспоминаю http://www.radiomed.ru/cases/enostoz
Мальчик приходил несколько недель назад, начали беспокоить периодически возникающие боли именно в месте локализации "непонятного". Эностозы, насколько мне известно, не болят. Повторили КТ, картина прежняя.
Может, и здесь тоже всё-таки мелореостоз?
Мальчик 10 лет. Обратился за помощью по поводу травмы голеностопного сустава. До травмы ничего не беспокоило. При рентгенобследовании выявлена следующая картина. Мы думаем об эностозе. Хотелось бы знать мнения уважаемых коллег.
На мой взгляд на мелореостоз не похоже
"самоуверенность дилетантов - предмет зависти профессионалов"
Чудесное обсуждение и наблюдение классное
"Слушай всех, прислушивайся к немногим, решай сам".©