You are here

Очередной КОНТРОЛЬ после флюорографии.

Пол пациента: 
Тип патологии: 
Методы исследования: 

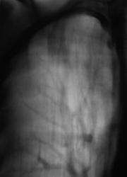
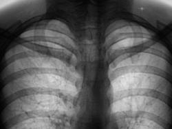
При расшифровке цифровых флюорограмм пациент "взят на контроль". Смутили "верхушки.


F1.JPG
F1.JPG
F2.jpg
F2.jpg

 

 

 

 

 

 

 

 

 

 

 

 

Произвели стандартное дообследование


F3.JPG
F3.JPG
F4.JPG
F4.JPG
F5.JPG
F5.JPG

 

 

 

 

 

 

 

 

 

 

 

 


F6.JPG
F6.JPG
F7.JPG
F7.JPG

 

 

 

 

 

 

 

 

 

 

 

 

Решено было провести противовоспалительную терапию, после чего провести рентген-контроль.

Через 10 дней проведен рентген-контроль.


F8.JPG
F8.JPG
F9.JPG
F9.JPG
F10.JPG
F10.JPG

 

 

 

 

 

 

 

 

 

 

 

 


F11.JPG
F11.JPG
F12.JPG
F12.JPG
F13.JPG
F13.JPG

 

 

 

 

 

 

 

 

 

 

 

 

Ваше мнение коллеги?


AttachmentSize
Image icon F1.JPG66.44 KB
Image icon F2.jpg86.6 KB
Image icon F3.JPG79.49 KB
Image icon F4.JPG76.68 KB
Image icon F5.JPG79.35 KB
Image icon F6.JPG71.58 KB
Image icon F7.JPG78.56 KB
Image icon F8.JPG84.65 KB
Image icon F9.JPG72.97 KB
Image icon F10.JPG75.46 KB
Image icon F11.JPG73.65 KB
Image icon F12.JPG79.84 KB
Image icon F13.JPG75.84 KB
Глазков Игорь Артурович's picture
Offline
Last seen: 12 months 2 days ago
Joined: 19.12.2008 - 20:41
Posts: 1597

определяются тонкостенные полости в обоих лёгких.

Прийди к Себе

Наталия's picture
Offline
Last seen: 8 years 10 months ago
Joined: 30.07.2008 - 13:24
Posts: 538

Очаги справа в верхней доле - к фтизиатрам.

OPEXOB's picture
Offline
Last seen: 10 years 2 months ago
Joined: 26.07.2008 - 10:02
Posts: 280

Крайне "слабо" для туберкулеза.

Конкретных очагов туберкулеза не вижу. Интересна динамика по клинике и анализам.

 

Прошу отписаться в дальнейшем по дообследованиям.

Катенёв Валентин Львович's picture
Offline
Last seen: 7 years 3 months ago
Joined: 22.03.2008 - 22:15
Posts: 54876

"Забрали" пациента фтизиатры.