You are here

Взяли пациента "на контроль".

Пол пациента: 
Тип патологии: 
Методы исследования: 

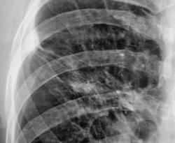
После расшифровку флюорограмм пациента "взяли на контроль". Произведена рентгенография в прямой и правой боковой проекциях.


M.1..jpg
M.1..jpg
M.2.jpg
M.2.jpg
M.3..jpg
M.3..jpg

 

 

 

 

 

 

 

 

 

 

 

 

 


M4.jpg
M4.jpg
M5.jpg
M5.jpg
M6.JPG
M6.JPG

 

 

 

 

 

 

 

 

 

 

 

Томограммы.


M.9..jpg
M.9..jpg
M.10..jpg
M.10..jpg

 

 

 

 

 

 

 

 

 

 

 

 

 


M.7..jpg
M.7..jpg
M.8..jpg
M.8..jpg

 

AttachmentSize
Image icon M.1..jpg91.64 KB
Image icon M.2.jpg101.21 KB
Image icon M.3..jpg96.75 KB
Image icon M4.jpg87.46 KB
Image icon M5.jpg69.4 KB
Image icon M6.JPG88.37 KB
Image icon M.9..jpg81.28 KB
Image icon M.10..jpg97.37 KB
Image icon M.7..jpg81.85 KB
Image icon M.8..jpg48.6 KB
Наталия's picture
Offline
Last seen: 8 years 9 months ago
Joined: 30.07.2008 - 13:24
Posts: 538

Мезотелиома.

v1tal's picture
Offline
Last seen: 4 years 11 months ago
Joined: 07.06.2008 - 19:41
Posts: 1779

Уважаемая Наталия, а разве при мезателиоме плевра ведёт себя интактно(в большинстве случаев)??

"Знаешь, у некоторых врачей есть комплекс мессии — им необходимо спасать мир. А у тебя комплекс Рубика — тебе необходимо решать головоломки."

Катенёв Валентин Львович's picture
Offline
Last seen: 7 years 2 months ago
Joined: 22.03.2008 - 22:15
Posts: 54876

Виталий Валерьевич! А, что на Ваш взгляд в данном случае?

v1tal's picture
Offline
Last seen: 4 years 11 months ago
Joined: 07.06.2008 - 19:41
Posts: 1779

Всё же я отдал бы предпочтение посттуберкулёзному утолщению плевры, это подкрепляется наличием множества кальцинатов и интесивность тяжестости характерна для фиброза, но ни как для лимфангиита. В большинстве случая имеет место быть выпоту в плевральной полости. Но верификация конечно должна быть на уровне гистологии если есть подозрение.

"Знаешь, у некоторых врачей есть комплекс мессии — им необходимо спасать мир. А у тебя комплекс Рубика — тебе необходимо решать головоломки."

Катенёв Валентин Львович's picture
Offline
Last seen: 7 years 2 months ago
Joined: 22.03.2008 - 22:15
Posts: 54876

Пациент, когда-то состоял на учете у фтизиатра, проводилось специфические лечение, хотя - "концов нет". Не нашли ни снимки и карточки. Дело в том, что раньше при ЛПУ было туб. отделение, которое было ликвидировано несколько лет назад, и в процессе ликвидации ликвидировались....

OPEXOB's picture
Offline
Last seen: 10 years 1 month ago
Joined: 26.07.2008 - 10:02
Posts: 280

Склоняюсь к посттуберкулезным изменениям. Вероятно очаг был в 3-м сегменте и прилежал к междолевой плевре, отсюда и изменения самой плевры в виде спаек.