You are here

КТ брюшной полости. Женщина 73 года с жалобами на запоры.

Пол пациента: 
Тип патологии: 
Область исследования: 
Методы исследования: 

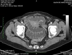
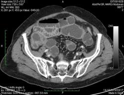
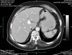
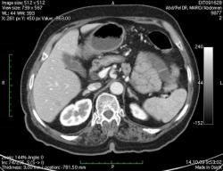
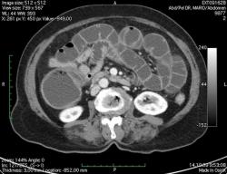
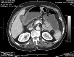
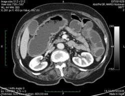
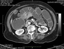
Пациентка женщина 73 года. Предъявляет жалобы на запоры, спастические боли в брюшной полости.

01.jpg
01.jpg
02.jpg
02.jpg
03.jpg
03.jpg

04.jpg
04.jpg
05.jpg
05.jpg
06.jpg
06.jpg
07.jpg
07.jpg
08.jpg
08.jpg
09.jpg
09.jpg
10.jpg
10.jpg
11.jpg
11.jpg
12.jpg
12.jpg
13.jpg
13.jpg
VRD.jpg
VRD.jpg
AttachmentSize
Image icon 01.jpg97.48 KB
Image icon 02.jpg98.17 KB
Image icon 03.jpg97.47 KB
Image icon 04.jpg97.85 KB
Image icon 05.jpg97.54 KB
Image icon 06.jpg97.51 KB
Image icon 07.jpg97.98 KB
Image icon 08.jpg99.79 KB
Image icon 09.jpg99.48 KB
Image icon 10.jpg99.04 KB
Image icon 11.jpg100.66 KB
Image icon 12.jpg102.21 KB
Image icon 13.jpg90.24 KB
Image icon VRD.jpg132.78 KB
Nela's picture
Offline
Last seen: 6 years 2 months ago
Joined: 12.05.2009 - 20:43
Posts: 1847

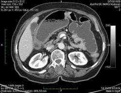
ИзображениеЦиркулярное сужение в поперечной ободочной кишке. Ни это ли причина проблемм?

 

serega's picture
Offline
Last seen: 12 years 5 months ago
Joined: 15.10.2009 - 18:10
Posts: 99

Причина именно в этом. Интересно, а ирригоскопию делали пациентке? На мой взгляд было бы показательно.

 

Анатолий Владимирович Шумаков's picture
Offline
Last seen: 7 years 11 months ago
Joined: 16.10.2009 - 21:16
Posts: 1941

Новообразование в среднем отделе поперечной ободочной кишки с циркулярным сужением просвета и хронической механической толстокишечной непроходимостью. Признаков метастазирования в данной анатомической области не обнаружено. Пациент безусловно нуждается в хирургическом лечении.

Almo's picture
Offline
Last seen: 13 hours 16 min ago
Joined: 28.09.2008 - 18:50
Posts: 8282

Я не занимаюсь КТ, но сам характер сужения толстой кишки как-то вызывает сомнения, ракового ли он характера? Сужение то циркулярное, но больно уж ровненькое и нет признаков инфильтрации вокруг (хотя рак, конечно может иметь и такой вид). Ну, думаю dr.Mario со временем откроет карты и будет дана гистология.

Dr.Mario's picture
Offline
Last seen: 11 years 2 months ago
Joined: 06.08.2008 - 08:44
Posts: 920

Циркулярная стенозирующая опухоль (аденокарцнома) толстого кишечника; с типичной КТ презентацией и признаками обструкции. Пациентка была оперирована на второй день после КТ.

 

Коллеги, выполнять ирригоскопию после КТ, это нонсенс. КТ позволяет не только диагностировать опухоли/полипы кишечника, но и оценить окружающие органы, провести стадирование процесса.

Let me see...

radiographia.ru

В.Б. Серов's picture
Offline
Last seen: 1 month 2 weeks ago
Joined: 16.07.2008 - 10:15
Posts: 1361

Dr.Mario wrote:

Коллеги, выполнять ирригоскопию после КТ, это нонсенс.

Дорогой, любимый Марио Улыбаюсь отказ от стереотипов требует и времени, и аппаратов.

Зри в корень!