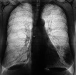
Пациентка направлена в рентгеновский кабинет врачом терапевтом для рентгенографии органов грудной полости. Пациентка предъявляет жалобы на наличие "сухого" кашля, субфебрильную температуру.
Произведена рентгенография в стандартных проекциях, томография в левой боковой проекции.








Ваше мнение коллеги?
Похоже на метастазы.
Может я выдумываю, но не нравятся эти округлые тени, вероятно - метастазы.