Да нет, Валентин Львович, не зажимала я )))))). Я этот случай выставляла на "радиографии", еще когда результаты не были известны. Я, в первую очередь, думала о туберкулезе. Но...результаты гистологии были неожиданны для всех - эозинофильная гранулема. Если хотите, посмотрите тут http://radiographia.ru/node/1792 , там есть и КТ.
Посмотрел. Конечно, "гистология - есть гистология", но жизнь несколько раз ударяла "фейсом о тейбл" и доказывала, что результат "гистологии" зависит от многих факторов, одним из решающих - является квалификация патолога. Ну да бог с ней с гистологией, но вот рентгенологически все мои симпатии - в сторону туберкулёза. А Ваша точка зрения, если запрятать гистологию в глубокий угол, чем эта патология может являться?
Отвлеченное мое бурчание в сторону - "ну конечно, "радиография" - мать родная" - шутка.
Валентин Львович, я думаю, что гистологи, все-таки, правы. Можно было бы и самой это предположить, ведь я потом вспомнила, что года два назад у нас была девочка, такого же возраста, только с левым т/б суставом, изменения аналогичные, по рентгенограммам - один в один, но КТ тогда еще не было. Там тоже была эозинофильная гранулема, просто тот случай совсем вылетел из головы. И в данном случае снова все зациклились на туберкулезе.
Ольга! Мы взрослые люди, совершенно не надо сомневаться. Вы умная женщина, прекрасный специалист, и Вы поймете меня правильно. Я анализу материала на "радиографии" уделяю очень большое внимание, хотя в последнее время "не оставляю комментов", и бываю на этом сайте в день не один раз, а не чуть не меньше, чем на "Радиомеде". Ибо - это "дружественный", аналогичного направления сайт, а модератор сайта обязательно должен знать, что-же делается у друзей-коллег.
Надо признать, что такая ситуация встречается довольно часто, и особенно "на периферии". Но вот вопрос, почему? Может быть все дело не только "в умелых руках".
Да нет, Валентин Львович, не зажимала я )))))). Я этот случай выставляла на "радиографии", еще когда результаты не были известны. Я, в первую очередь, думала о туберкулезе. Но...результаты гистологии были неожиданны для всех - эозинофильная гранулема. Если хотите, посмотрите тут http://radiographia.ru/node/1792 , там есть и КТ.
https://www.instagram.com/pediatricradiology/
Здравствуйте Ольга!
Посмотрел. Конечно, "гистология - есть гистология", но жизнь несколько раз ударяла "фейсом о тейбл" и доказывала, что результат "гистологии" зависит от многих факторов, одним из решающих - является квалификация патолога. Ну да бог с ней с гистологией, но вот рентгенологически все мои симпатии - в сторону туберкулёза. А Ваша точка зрения, если запрятать гистологию в глубокий угол, чем эта патология может являться?
Отвлеченное мое бурчание в сторону - "ну конечно, "радиография" - мать родная" - шутка.
Валентин Львович, я думаю, что гистологи, все-таки, правы. Можно было бы и самой это предположить, ведь я потом вспомнила, что года два назад у нас была девочка, такого же возраста, только с левым т/б суставом, изменения аналогичные, по рентгенограммам - один в один, но КТ тогда еще не было. Там тоже была эозинофильная гранулема, просто тот случай совсем вылетел из головы. И в данном случае снова все зациклились на туберкулезе.
https://www.instagram.com/pediatricradiology/
По поводу шутки - догадывалась, что Вы так и подумаете, даже сомневалась, давать ссылку или нет. ))))
https://www.instagram.com/pediatricradiology/
Ольга! Мы взрослые люди, совершенно не надо сомневаться. Вы умная женщина, прекрасный специалист, и Вы поймете меня правильно. Я анализу материала на "радиографии" уделяю очень большое внимание, хотя в последнее время "не оставляю комментов", и бываю на этом сайте в день не один раз, а не чуть не меньше, чем на "Радиомеде". Ибо - это "дружественный", аналогичного направления сайт, а модератор сайта обязательно должен знать, что-же делается у друзей-коллег.
Анатолий
Надо признать, что такая ситуация встречается довольно часто, и особенно "на периферии". Но вот вопрос, почему? Может быть все дело не только "в умелых руках".
А вот ещё одно направление в наше отделение:
"Знаешь, у некоторых врачей есть комплекс мессии — им необходимо спасать мир. А у тебя комплекс Рубика — тебе необходимо решать головоломки."
Не "хилое " обоснование.
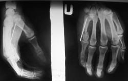
A что Вам не нравится в случае с пястной костью?