You are here

Наблюдение в динамике...

Пол пациента: 
Тип патологии: 
Методы исследования: 

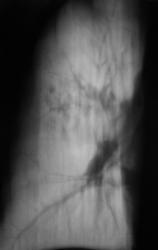
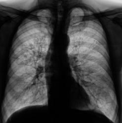
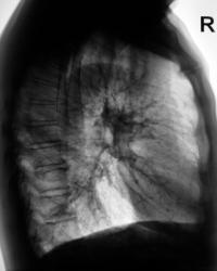
Пациент был направлен на рентгенологическое исследование органов грудной полости с диагнозом - "Пневмония?". Произведено стандартное исследование. Было решено провести противовоспалительное лечение, после которого провести "рентген-контроль".


1.K-l.JPG
1.K-l.JPG
2.K-l.JPG
2.K-l.JPG
3.K-l.JPG
3.K-l.JPG

 

 

 

 

 

 

 

 

 

 

 

 

 


4.K-l.JPG
4.K-l.JPG
5.K-l.JPG
5.K-l.JPG

 

 

 

 

 

 

 

 

 

 

 

 

После проведения противовоспалительного лечения проведен рентген-контроль.


6.K-l.JPG
6.K-l.JPG
7.K-d.JPG
7.K-d.JPG
8.K-l.JPG
8.K-l.JPG

 

 

 

 

 

 

 

 

 

 

 

 

 


9.K-l.JPG
9.K-l.JPG
10.K-l.JPG
10.K-l.JPG
11.K-l.JPG
11.K-l.JPG

 

 

 

 

 

 

 

 

 

 

 

 

 


12.K-l.JPG
12.K-l.JPG
13.K-l.JPG
13.K-l.JPG
14.K-l.JPG
14.K-l.JPG

 

 

 

 

 

 

 

 

 

 

 

 

Ваше мнение коллеги?

AttachmentSize
Image icon 1.K-l.JPG73.39 KB
Image icon 2.K-l.JPG78.01 KB
Image icon 3.K-l.JPG80.4 KB
Image icon 4.K-l.JPG56.74 KB
Image icon 5.K-l.JPG68.8 KB
Image icon 6.K-l.JPG70.37 KB
Image icon 7.K-d.JPG81.37 KB
Image icon 8.K-l.JPG90.3 KB
Image icon 9.K-l.JPG52.36 KB
Image icon 10.K-l.JPG64.64 KB
Image icon 11.K-l.JPG46.33 KB
Image icon 12.K-l.JPG63.04 KB
Image icon 13.K-l.JPG67.2 KB
Image icon 14.K-l.JPG62.11 KB