You are here

Цирротический туберкулёз ... или что-то "другое".

Пол пациента: 
Тип патологии: 
Методы исследования: 

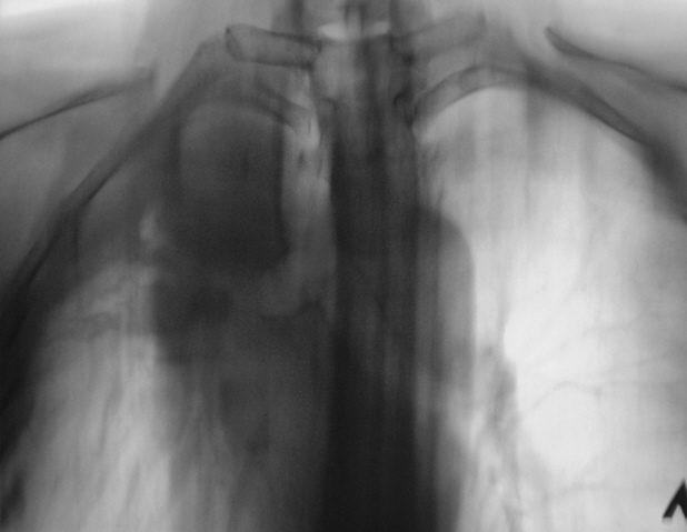
Пациент в течение ряда лет, состоит на диспансерном учёте по поводу "цирротического туберкулёза" верхней доли правого лёгкого. Мы еще в прошлом году усомнились в данном диагнозе, но "диагноз" утвержден ЦВК. Ниже приводятся иллюстрации прошлого года.

21.CIRR_..JPG
21.CIRR_..JPG
22.CIRR_..JPG
22.CIRR_..JPG

 

 

 

 

 

 

 

 

 

 

 

 

 

23.CIRR_..JPG
23.CIRR_..JPG
24.CIRR_.jpg
24.CIRR_.jpg
25.CIRR_..JPG
25.CIRR_..JPG

 

 

 

 

 

 

 

 

 

 

 

 

 

26.CIRR_..JPG
26.CIRR_..JPG
27.CIRR_..jpg
27.CIRR_..jpg

 

 

 

 

 

 

 

 

 

 

 

 

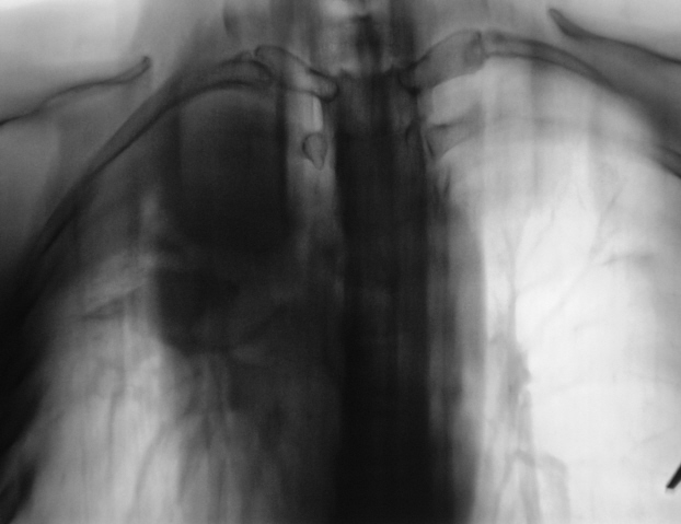
Сегодня пациент явился на "плановое обследование". Сомнения в правильности диагноза увеличились "в разы".

ВАШЕ МНЕНИЕ УВАЖАЕМЫЕ КОЛЛЕГИ?.

30.CIRR_.JPG
30.CIRR_.JPG
31.CIRR_.jpg
31.CIRR_.jpg
32.CIRR_..JPG
32.CIRR_..JPG

 

 

 

 

 

 

 

 

 

 

 

 

28.CIRR_.JPG
28.CIRR_.JPG
29.CIRR_..jpg
29.CIRR_..jpg

 

AttachmentSize
Image icon 21.CIRR_..JPG82.72 KB
Image icon 22.CIRR_..JPG81.08 KB
Image icon 23.CIRR_..JPG80.7 KB
Image icon 24.CIRR_.jpg64.69 KB
Image icon 25.CIRR_..JPG81.72 KB
Image icon 26.CIRR_..JPG78.65 KB
Image icon 27.CIRR_..jpg60.19 KB
Image icon 30.CIRR_.JPG68.44 KB
Image icon 31.CIRR_.jpg56.15 KB
Image icon 32.CIRR_..JPG68.25 KB
Image icon 28.CIRR_.JPG73.86 KB
Image icon 29.CIRR_..jpg65.5 KB
tatyana's picture
Offline
Last seen: 4 years 2 months ago
Joined: 24.06.2009 - 08:33
Posts: 2090

И правильно засомневались, очень на центральный рак похоже. Кстати рак на фоне туберкулеза совсем не редкость, как полагали раньше. А что в заднем отрезке 6 ребра справа - деструкция?,

"самоуверенность дилетантов - предмет зависти профессионалов"

Катенёв Валентин Львович's picture
Offline
Last seen: 7 years 2 months ago
Joined: 22.03.2008 - 22:15
Posts: 54876

Об этом и думали после прошлого исследования, но ЦВК, есть ЦВК. Сейчас размещу сегодняшние снимки, но я не так "круто", как Вы - "рак". Просто констатировали "культю", и пускай "поставившие" расхлебывают.

tatyana's picture
Offline
Last seen: 4 years 2 months ago
Joined: 24.06.2009 - 08:33
Posts: 2090

но узел то есть, не только культя...

"самоуверенность дилетантов - предмет зависти профессионалов"

tatyana's picture
Offline
Last seen: 4 years 2 months ago
Joined: 24.06.2009 - 08:33
Posts: 2090

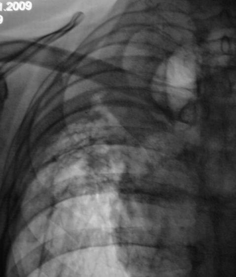
А боковой покажете?

"самоуверенность дилетантов - предмет зависти профессионалов"

Катенёв Валентин Львович's picture
Offline
Last seen: 7 years 2 months ago
Joined: 22.03.2008 - 22:15
Posts: 54876

Боковой найду, где-то должен быть. А если по большому счету, то в течении 5-лет "бьюсь" с коллегами, ибо "выращивают" они, и весьма успешно, под эгидой "динамического наблюдения" весьма "запущенные раки" лёгких.

tatyana's picture
Offline
Last seen: 4 years 2 months ago
Joined: 24.06.2009 - 08:33
Posts: 2090

Конечно же такие случаи надо сразу дообследовать (бронхоскопия, КТ), а не "наблюдать" раз в год... Ребро на новых снимках вроде целое, на предыдущих наверное наслоилась  плевра. Хотелось бы еще разобраться, что с восходящей аортой происходит.

"самоуверенность дилетантов - предмет зависти профессионалов"

Катенёв Валентин Львович's picture
Offline
Last seen: 7 years 2 months ago
Joined: 22.03.2008 - 22:15
Posts: 54876

А может, то не "чистая аорта", а аорта + конгломерат? Поищу боковой.

tatyana's picture
Offline
Last seen: 4 years 2 months ago
Joined: 24.06.2009 - 08:33
Posts: 2090

Скорее всего, но: подрастает ли опухоль к аорте и нет ли аневризмы?

"самоуверенность дилетантов - предмет зависти профессионалов"