You are here

Направлен был традиционно...

Пол пациента: 
Тип патологии: 
Область исследования: 
Методы исследования: 

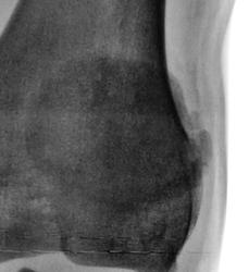
Направлен был традиционно из военкомата для рентгенографии стоп и позвоночника. Но лаборант заметил, что "клиент" полностью, в положении лёжа, ноги в коленных суставах не разгибает. Решили дополнительно "снять" коленные суставы...

  • https://radiomed.ru/sites/default/files/styles/case_slider_image/public/user/12/2.dscn0298bk.jpg?itok=WhbjRjei
  • https://radiomed.ru/sites/default/files/styles/case_slider_image/public/user/12/3.dscn0299.jpg?itok=tTo0V3rj
  • https://radiomed.ru/sites/default/files/styles/case_slider_image/public/user/12/4.dscn0300.jpg?itok=jh6oDUW-
  • https://radiomed.ru/sites/default/files/styles/case_slider_image/public/user/12/5.dscn0300ab.jpg?itok=h4MaDNFZ
  • https://radiomed.ru/sites/default/files/styles/case_slider_image/public/user/12/6.dscn0301.jpg?itok=stEGx740
  • https://radiomed.ru/sites/default/files/styles/case_slider_image/public/user/12/7.dscn0302.jpg?itok=_aXXzG_s
ID:23697
Сан Саныч1's picture
Offline
Last seen: 1 year 4 months ago
Joined: 07.06.2010 - 21:17
Posts: 2114

Хана менискам.

Хочешь сделать что-то нормально - сделай это сам!

stovbav's picture
Offline
Last seen: 2 years 7 months ago
Joined: 20.12.2009 - 17:28
Posts: 7066

Дисплазия это...

Наталия Васильевна's picture
Offline
Last seen: 6 years 2 months ago
Joined: 25.09.2011 - 09:02
Posts: 754

stovbav wrote:

Дисплазия это...

Похоже+дольчатое строение надколенников.

Соломин Виталий Юрьевич's picture
Offline
Last seen: 6 years 4 months ago
Joined: 04.04.2012 - 21:47
Posts: 1096

Кажущаяся нестабильность надколенников (их латерализация) связана с укладкой, или же это одно из проявлений дисплазии? 

Соломин Виталий Юрьевич's picture
Offline
Last seen: 6 years 4 months ago
Joined: 04.04.2012 - 21:47
Posts: 1096

Катенёв Валентин Львович wrote:

Направлен был традиционно из военкомата для рентгенографии стоп и позвоночника. Но лаборант заметил, что "клиент" полностью, в положении лёжа, ноги в коленных суставах не разгибает. Решили дополнительно "снять" коленные суставы...

Лаборанту выдали премию или хотя бы почетную грамоту?

Катенёв Валентин Львович's picture
Offline
Last seen: 7 years 5 months ago
Joined: 22.03.2008 - 22:15
Posts: 54876

stovbav wrote:

Дисплазия это...

Здравствуйте Виктор Григорьевич!

Как на ваш взгляд - это "вакуум-феномен"?

stovbav's picture
Offline
Last seen: 2 years 7 months ago
Joined: 20.12.2009 - 17:28
Posts: 7066

Катенёв Валентин Львович wrote:

stovbav wrote:

Дисплазия это...

Здравствуйте Виктор Григорьевич!

Как на ваш взгляд - это "вакуум-феномен"?

ДА! И еще какой!

Можно было бы обозвать его - "диспластическим", в такой ситуации встречаюсь впервые))))

Катенёв Валентин Львович's picture
Offline
Last seen: 7 years 5 months ago
Joined: 22.03.2008 - 22:15
Posts: 54876

Соломин Виталий Юрьевич wrote:

Лаборанту выдали премию или хотя бы почетную грамоту?

Здравствуйте Виталий Юрьевич!

У меня очень хорошие лаборанты! Они много чего замечают и примечают!

Нет, грамоты не выдали, они работают свободно и много мне помагают, с учетом, что я "тамочки" один...

Единственный у них "плюс" то, что на них никто не может "гавкать", из любителей "погавкать", а я уже не лаю, старенький стал..., да и "лаять" на них не за что.

Катенёв Валентин Львович's picture
Offline
Last seen: 7 years 5 months ago
Joined: 22.03.2008 - 22:15
Posts: 54876

stovbav wrote:

ДА! И еще какой!

Можно было бы обозвать его - "диспластическим", в такой ситуации встречаюсь впервые))))

Я думаю он пополнит Вашу коллекцию "вакуум феноменов". Как увидел этот феномен, сразу вспомнил Вас.

Катенёв Валентин Львович's picture
Offline
Last seen: 7 years 5 months ago
Joined: 22.03.2008 - 22:15
Posts: 54876

И, что коллеги? Годен, али не годен этот гражданин к военной службе?

stovbav's picture
Offline
Last seen: 2 years 7 months ago
Joined: 20.12.2009 - 17:28
Posts: 7066

Катенёв Валентин Львович wrote:

И, что коллеги? Годен, али не годен этот гражданин к военной службе?

Годен, но место службы ближайшее - Луна, а так - пусть дома посидит, пока там базу не открыли)))

Соломин Виталий Юрьевич's picture
Offline
Last seen: 6 years 4 months ago
Joined: 04.04.2012 - 21:47
Posts: 1096

Катенёв Валентин Львович wrote:

И, что коллеги? Годен, али не годен этот гражданин к военной службе?

Добрый вечер, уважаемый Валентин Львович!

Годен или нет, про то военкомат ведает :) А я бы ему (с учетом клиники) еще УЗИ коленных суставов и (при наличии такового) ЭНМГ назначил. И все-таки, как насчет надколенников? Особенность укладки или диспластическая нестабильность? 

Катенёв Валентин Львович's picture
Offline
Last seen: 7 years 5 months ago
Joined: 22.03.2008 - 22:15
Posts: 54876

Соломин Виталий Юрьевич wrote:

А я бы ему (с учетом клиники) еще УЗИ коленных суставов и (при наличии такового) ЭНМГ назначил. 

Недавно было сделано МРТ коленных суставов. Но, военкомат не "хотит" кушать МРТ, им привычнее сколиозы и плоскостопие...

Сан Саныч1's picture
Offline
Last seen: 1 year 4 months ago
Joined: 07.06.2010 - 21:17
Posts: 2114

Что МРТ говорит?

И дисплазию чего именно подразумевают коллеги?

Хочешь сделать что-то нормально - сделай это сам!

stovbav's picture
Offline
Last seen: 2 years 7 months ago
Joined: 20.12.2009 - 17:28
Posts: 7066

ДИСПЛАЗИИ ЭПИФИЗАРНЫЕ

Эпифизарные дисплазии — наследственные заболевания, характеризующиеся нарушением эндохондрального окостенения; как правило, проявляются невысоким ростом, тугоподвижностью суставов, болями и деформациями конечностей, особенно нижних.
 • Дисплазия эпифизарная, тип 1 Фэйрбэнка (\#132400, 19pter-19qter, дефект гена олигомерного белка хрящевого матрикса СОМР [600310], R). Клинически: врождённая карликовость с короткими конечностями, дисплазия бёдер, укорочение костей пястья и фаланг, брахидактилия, чрезмерный объём движений в суставах пальцев, незначительное расширение метафизов, укорочение шейки бедра, овальная форма тел позвонков, скошенный дистальный конец большеберцовой кости, задержка окостенения костей запястья.
• Дисплазия эпифизарная множественная, тип 2 (*600204, 1рЗЗ-р32, дефект гена COL9A21120260], R). Клинически: начало в возрасте от 2,5 до 6 лет, боли в коленных и голеностопных суставах, деформация и увеличение коленных суставов, маленькие сглаженные эпифизы в большинстве суставов, особенно коленных.
• Дисплазия эпифизарная множественная, тип 3 (*600969, R). Клинически: начало в детстве и пубертатном периоде, походка вперевалку, неподвижность и/или боли в коленных суставах, умеренная низкорослость, короткие руки, отсутствие патологии позвоночника, сглаженные эпифизы, деформация коленных суставов, постепенное развитие остеоартроза коленных и тазобедренных суставов.
• Дисплазия эпифизарная множественная Уолкотта-Ралшсона с ранним развитием сахарного диабета (*226980, р). Клинически: карликовость с коротким туловищем, инсулинзависимый сахарный диабет, множественная эпифизарная дисплазия, деминерализация кости, множественные переломы, ограничение отведения бедра, боли и тугоподвижность в суставах, изменение цвета зубов, спленомегалия, гепатомегалия, почечная недостаточность, спондилоэпифизар-ная дисплазия.
• Дисплазия эпифизарная множественная с миопией и кондуктивной тугоухостью (132450, R). Клинически: прогрессирующая миопия, истончение сетчатки, катаракта, кондуктивная тугоухость.
• Дисплазия эпифизарная множественная (*226900, р). Клинически: множественная эпифизарная дисплазия, плоские головки бедренных костей, нормальные фаланги и кости пястья. Лабораторно: нитевидные или гранулярные включения в хондроцитах.
• Дисплазия семейная эпифизарная типа Бёйкес (* 142670,R) — возможно, клинический вариант множественной эпифизарной дисплазии, названа по фамилии семьи с множеством поражённых в 6 поколениях. Клинически: боли в тазобедренных суставах, прогрессирующая скелетная дисплазия, выраженная сглаженность эпифизов головок бедренных костей, вторичный остеоартроз, кифосколиоз.
• Синдром Лоури-Вуда (*226960, р). Клинически: внутриутробная задержка развития, низкорослость, маленькие эпифизы, квадратные подвздошные кости, сглаженные вертлужные впадины, микроцефалия, нистагм, умеренная умственная отсталость.
• Дисплазия эпифизарная бедренной кости с задержкой роста и глухотой (601351, р). Клинически: задержка роста, лёгкая умственная отсталость, нейросенсорная тугоухость, двусторонняя атрезия слёзно-носовых протоков, паховая и пупочная грыжи, эпифизарная дисплазия бедра.
• Дисплазия макроэпифизарная с остеопорозом, складчатой кожей и поздним началом (248010, р). Клинически: низкорослость, недостаточное развитие подкожной клетчатки, сухие грубые волосы, складчатые ладони, аномалии ладонной дерматоглифики, снижение массы мышц, увеличенные эпифизы, остеопороз, повторные переломы.
• Дисплазия эпифизарная гемимелическая (болезнь Тревора, 127800; форма с остеохондроматозом, 127820). Клинически: асимметричное разрастание хряща эпифизов, особенно предплюсны и запястья. Преобладающий пол — мужской (3:1).

Литература

Al-Gazali LI et al: Wolcott-Rallison syndrome. Clin. Dysmorph. 4: 227-233, 1995; Beighton P et al: Beukes premature degenerative osteoarthropathy of the hip joint unlinked to COL2A1. Am. J. Med. Genet. 53: 348-351, 1994; Lowry RB, Wood BJ: Syndrome of epiphyseal dysplasia, short stature, microcephaly and nystagmus. Clin. Genet. 8: 269-274, 1975; TrevorD: Tarso-epiphysial aclasis: a congenital error of epiphysial development. / Bone Joint Surg. 32B: 204-213, 1950; Wolcott CD, Rallison ML: Infancy-onset diabetes mellitus and multiple epiphyseal dysplasia. /. Pediat. 80: 292-297, 1972

stovbav's picture
Offline
Last seen: 2 years 7 months ago
Joined: 20.12.2009 - 17:28
Posts: 7066
Катенёв Валентин Львович's picture
Offline
Last seen: 7 years 5 months ago
Joined: 22.03.2008 - 22:15
Posts: 54876

Сан Саныч1 wrote:

Что МРТ говорит?

И дисплазию чего именно подразумевают коллеги?

МРТ полностью подверждает дисплазию

maker4ik's picture
Offline
Last seen: 9 years 1 week ago
Joined: 19.10.2011 - 17:49
Posts: 2682

Что-то мне подсказывает, что это не призывник, а негодник...

Катенёв Валентин Львович's picture
Offline
Last seen: 7 years 5 months ago
Joined: 22.03.2008 - 22:15
Posts: 54876

Соломин Виталий Юрьевич wrote:

Годен или нет, про то военкомат ведает :) 

Ни хрена тот военкомат не ведает, хоть и меддокументацию на время работы комиссии (амб. карта) истребуется. Для костно-суставной системы у них два вектора - плоскостопие, да сколиоз.

Но, я карточку из тойного военкомата истребовал, и как же было мое удивление, что при постановке на (первичный учет) диагноз был уже установлен, хотя оказалось, что военкомат не ведает..., да и на диспансерный учет "клиент"  не поставлен. оказывается не ведает никть..., так было проведено исследование ради исследования...

Нашли мы и снимки выполненные ранее.

Приложения: 
1.dscn0305.jpg2.dscn0307.jpg3.dscn0307a.jpg
stovbav's picture
Offline
Last seen: 2 years 7 months ago
Joined: 20.12.2009 - 17:28
Posts: 7066

Валентин Львович, уважаемый,  озвучьте нам диагноз, в карточке записаный, что никак нак глаза воякам из военкомата не попадет))))

Катенёв Валентин Львович's picture
Offline
Last seen: 7 years 5 months ago
Joined: 22.03.2008 - 22:15
Posts: 54876

Эпифизарная дисплазия.

Катенёв Валентин Львович's picture
Offline
Last seen: 7 years 5 months ago
Joined: 22.03.2008 - 22:15
Posts: 54876

Оказалось, что и ранее снимки производились.

Приложения: 
11.dscn0308.jpg12.dscn0309.jpg