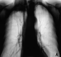
Пол пациента: Мужской пол Тип патологии: Другое Область исследования: Грудная клетка и верхние дыхательные пути Методы исследования: Rg Контроль после флюорографии. Верхушка вызвала недоверие https://radiomed.ru/sites/default/files/styles/case_slider_image/public/user/12/6.dscn0396.jpg?itok=dcnuKHCZ https://radiomed.ru/sites/default/files/styles/case_slider_image/public/user/12/7.dscn0396a.jpg?itok=wfK2iVjR ID:23836 Sun, 21/10/2012 - 12:17 #1 maker4ik Offline Last seen: 8 years 9 months ago Joined: 19.10.2011 - 17:49 Posts: 2682 Панкост? Sun, 21/10/2012 - 19:46 #2 И.Бондаренко Offline Last seen: 14 hours 57 min ago Joined: 13.09.2011 - 22:55 Posts: 9208 Возраст пациента? Sun, 21/10/2012 - 22:23 #3 Катенёв Валенти... Offline Last seen: 7 years 3 months ago Joined: 22.03.2008 - 22:15 Posts: 54876 В районе 50 лет. Mon, 22/10/2012 - 09:13 #4 Андрей Багаев Offline Last seen: 11 years 4 months ago Joined: 28.01.2011 - 19:14 Posts: 57 а 1 ребро целое? Mon, 22/10/2012 - 22:48 #5 И.Бондаренко Offline Last seen: 14 hours 57 min ago Joined: 13.09.2011 - 22:55 Posts: 9208 За периферический Tue, 23/10/2012 - 00:50 #6 Петрович Offline Last seen: 7 years 5 months ago Joined: 22.03.2009 - 01:13 Posts: 3908 Скорее воспалительная инфильтрация с мощной плевральной реакцией. Архив есть? Неоднозначно всё
Панкост?
Возраст пациента?
В районе 50 лет.
а 1 ребро целое?
За периферический
Скорее воспалительная инфильтрация с мощной плевральной реакцией.
Архив есть?
Неоднозначно всё