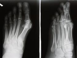
Пол пациента: Женский пол Тип патологии: Другое Область исследования: Скелетно-мышечная система Методы исследования: Rg Hallus valgus 1 пальца левой стопы. Как грамотно описать? ID:24084