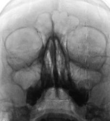
Пол пациента: Мужской пол Тип патологии: Другое Область исследования: Челюстно-лицевая область и шея Методы исследования: Rg Направлен на рентгенографию ППН с диагнозом хронический гайморит. https://radiomed.ru/sites/default/files/styles/case_slider_image/public/user/12/2.dscn0587.jpg?itok=udOrL36O https://radiomed.ru/sites/default/files/styles/case_slider_image/public/user/12/3.dscn0587a.jpg?itok=7Wzadi-t ID:24447 Wed, 14/11/2012 - 19:13 #1 Петр Николаевич Offline Last seen: 4 years 1 week ago Joined: 15.03.2011 - 13:22 Posts: 150 киста левой верхнечелюстной пазухи. Wed, 14/11/2012 - 19:29 #2 stovbav Offline Last seen: 2 years 5 months ago Joined: 20.12.2009 - 17:28 Posts: 7066 +1 Болезни ног: виды, симптомы, причины, профилактика и лечение Wed, 14/11/2012 - 22:56 #3 И.Бондаренко Offline Last seen: 7 hours 27 min ago Joined: 13.09.2011 - 22:55 Posts: 9208 Петр Николаевич wrote: киста левой верхнечелюстной пазухи. +1
киста левой верхнечелюстной пазухи.
+1
Болезни ног: виды, симптомы, причины, профилактика и лечение
+1