Пол пациента:
Тип патологии:
Область исследования:
Методы исследования:
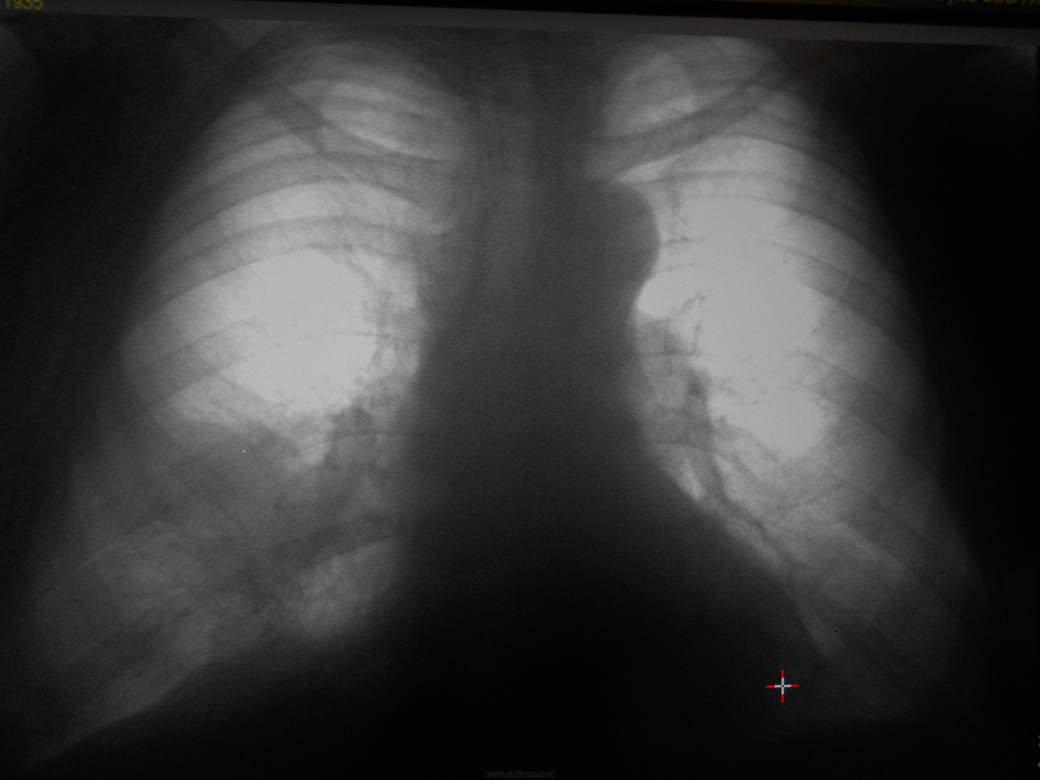
Бабуля, 1935 года. Направлена на ФЛГ с диагнозом хронический бронхит. Беспокоили повышение температуры до 38 градусов, слабость, кашель. На ФЛГ 2.10 выявлены изменения, бабушка лечится антибиотками и вроде ей становится лучше. На контроль приходит 18.10 - без динамики, направлена к пульмонологу. Пульмонолог присылает обратно к нам, чтобы мы сделали нормальные снимки, а не распечатку. Сегодняшние снимки - без динамики. На данный момент беспокоят слабость, кашель. До того как заболела говорит о частых пневмониях, периодических подъемах температуры до 38 на один-два дня в течение нескольких месяцев. О чем тут можно думать?
2.10
18.10
22.11
По-моему, очень похоже на классический среднедолевой синдром с гиповентиляцией.
О периферическом. Круглая тень где-то в области S10 намекает.
Пульмонолог написала среднедолевой синдром, рекомендовала СКТ. Я тоже написала что нельзя исключить центральный рак и рекомендацию КТ. Но нашим больным проще в космос слетать, чем плучить это исследование, поэтому скорее всего на этом все и закончится
По-моему, очень похоже на классический среднедолевой синдром с гиповентиляцией.
+++
А бронхоскопию можно сделать?
На бронхоскопию возможно она попадет от пульмонолога, я надеюсь. У нас ее не делают и не направляют даже
Тоже - за среднедолевой синдром!
Раз с КТ такие заморочки, так может пока хоть линейку сделать...получить хоть минимум информации, которая подстегнет пульмонолога...
Болезни ног: виды, симптомы, причины, профилактика и лечение
У нас с линейной томографией непонятно все, лаборанты сильно загружены и при упоминании о ней негодуэ, заведующая тоже против использования приставки и говорит типа все сломано и что никто не умеет делать срезы и что неинформативно итд итп, мне их не переубедить