You are here

Флюшка с "запашком"?

Пол пациента: 
Тип патологии: 
Методы исследования: 

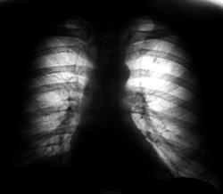
Просто был направлен на проффлюшку. Будут какие мнения?

  • https://radiomed.ru/sites/default/files/styles/case_slider_image/public/user/12/12.dscn0723a.jpg?itok=Z0JmK_b7
ID:24975
Nikolas's picture
Offline
Last seen: 1 month 3 weeks ago
Joined: 21.12.2010 - 20:37
Posts: 4560

нарушение бронхиальной проходимости 2 ст.

Катенёв Валентин Львович's picture
Offline
Last seen: 7 years 5 months ago
Joined: 22.03.2008 - 22:15
Posts: 54876

Смутила "палочковидная" плотная тень в 1 межреберье слева...

Nikolas's picture
Offline
Last seen: 1 month 3 weeks ago
Joined: 21.12.2010 - 20:37
Posts: 4560

повышенная воздушность левого легкого, смещение тени средостения вправо.

Катенёв Валентин Львович's picture
Offline
Last seen: 7 years 5 months ago
Joined: 22.03.2008 - 22:15
Posts: 54876

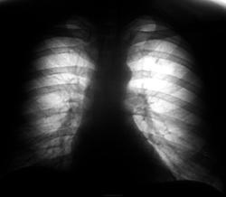
А, через год стало на "флюшке" уже так -

Приложения: 
31.dscn0721.jpg32.dscn0721a.jpg
Наталия Васильевна's picture
Offline
Last seen: 6 years 1 month ago
Joined: 25.09.2011 - 09:02
Posts: 754

Год-немало, периферическое образование, но медленный рост. Гамартома или нечто на плевре?

Катенёв Валентин Львович's picture
Offline
Last seen: 7 years 5 months ago
Joined: 22.03.2008 - 22:15
Posts: 54876

Вознило два предположения - маленькая туберкулёмка (с учетом включения), или "рачок"...

Приложения: 
11.dscn0724.jpg12.dscn0725.jpg13.dscn0725a.jpg14.dscn0726.jpg15.dscn0726a.jpg
Nikolas's picture
Offline
Last seen: 1 month 3 weeks ago
Joined: 21.12.2010 - 20:37
Posts: 4560

в рубце

Катенёв Валентин Львович's picture
Offline
Last seen: 7 years 5 months ago
Joined: 22.03.2008 - 22:15
Posts: 54876

Nikolas wrote:

Рак в рубце

Такая версия была, но фтизиатры были несогласные...

Nikolas's picture
Offline
Last seen: 1 month 3 weeks ago
Joined: 21.12.2010 - 20:37
Posts: 4560

несогласие?

Катенёв Валентин Львович's picture
Offline
Last seen: 7 years 5 months ago
Joined: 22.03.2008 - 22:15
Posts: 54876

Даже сказать не смогу почему несогласие возникло, не пригласили.

Туберкулёму выставили.

Или ошиблись фтизиатры?

Nikolas's picture
Offline
Last seen: 1 month 3 weeks ago
Joined: 21.12.2010 - 20:37
Posts: 4560

покажет. Но, в 21 веке этот метод диагностики (динамическое наблюдение при круглой тени) плохой.

Катенёв Валентин Львович's picture
Offline
Last seen: 7 years 5 months ago
Joined: 22.03.2008 - 22:15
Posts: 54876

Поставили на учет, лечили, но туберкулёма "замерла", ни туду, ни сюда, а потом и вовсе исзезла, но интересно исчезла..., но та "палочка" в межреберье осталась...

Надоело это все фтизиатрам и отпустили они клиета на все четыре стороны...

Но клиент гордился той туберкулёмой и с гордостью упомянул мне о ней при нашей последней встрече!

Nikolas's picture
Offline
Last seen: 1 month 3 weeks ago
Joined: 21.12.2010 - 20:37
Posts: 4560

есть продолжение истории заболевания.

Катенёв Валентин Львович's picture
Offline
Last seen: 7 years 5 months ago
Joined: 22.03.2008 - 22:15
Posts: 54876

Nikolas wrote:

есть продолжение истории заболевания.

Вы правильно чувствуете уважаемый коллега, продолжение имело место быть.

Что сподобило меня выставить этот случай на сайт?

Совсем недавно, одна из наших коллег выставила свой случай на сайт, который весьма широко был обсужден в плане д/д между периферическим и возможной туберкулёмой. В одном из комментариев, я упомянул, что выставлю не такое же, а аналог...

Ниже аналог.

Катенёв Валентин Львович's picture
Offline
Last seen: 7 years 5 months ago
Joined: 22.03.2008 - 22:15
Posts: 54876

Пациент решил устроиться на работу, связанную с "мясной промышленностью", но в этот раз про "туберкулёму", которой он очень гордился промолчал и попал на "флюшку"...

Приложения: 
11.dscn0716.jpg12.dscn0716a.jpg13.dscn0718.jpg14.dscn0719.jpg15.dscn0719a.jpg
Алексардр Придченко's picture
Offline
Last seen: 12 years 7 months ago
Joined: 03.12.2012 - 21:00
Posts: 39

Вообще-то,это очень похоже на ПТК,ищите петрифицированные л/узлы в средостении на КТ (болел в 13-15 лет).

Катенёв Валентин Львович's picture
Offline
Last seen: 7 years 5 months ago
Joined: 22.03.2008 - 22:15
Posts: 54876

Надо понимать, что ПТК - это первичный туберкулёзный комплекс?

А, петрифицированные лимфоузлы - это обызвествленные лимфатические узлы?

Mitkampfer's picture
Offline
Last seen: 11 years 6 months ago
Joined: 27.07.2010 - 07:43
Posts: 1454

как то оно стало разделяться, может ретенционная киста.

Не ограничивайте свою мысль

Живешь пока учишься

Ecrasez l’infame

Катенёв Валентин Львович's picture
Offline
Last seen: 7 years 5 months ago
Joined: 22.03.2008 - 22:15
Posts: 54876

Mitkampfer wrote:

как то оно стало разделяться, может ретенционная киста.

И, "карточное сердце" стало напоминать?

Mitkampfer's picture
Offline
Last seen: 11 years 6 months ago
Joined: 27.07.2010 - 07:43
Posts: 1454

Катенёв Валентин Львович wrote:

Mitkampfer wrote:

как то оно стало разделяться, может ретенционная киста.

И, "карточное сердце" стало напоминать?

да.

Не ограничивайте свою мысль

Живешь пока учишься

Ecrasez l’infame

vasyablack's picture
Offline
Last seen: 12 years 5 months ago
Joined: 22.03.2012 - 23:38
Posts: 53

Переферический рак.

Катенёв Валентин Львович's picture
Offline
Last seen: 7 years 5 months ago
Joined: 22.03.2008 - 22:15
Posts: 54876

vasyablack wrote:
Переферический рак.

Что, похож?

Алексардр Придченко's picture
Offline
Last seen: 12 years 7 months ago
Joined: 03.12.2012 - 21:00
Posts: 39

Нет, петрификаты во внутригрудных л/узлах (можно увидеть в данном случае только на КТ).

Катенёв Валентин Львович's picture
Offline
Last seen: 7 years 5 months ago
Joined: 22.03.2008 - 22:15
Posts: 54876

Вы занимаетесь КТ?

А, какой аппарат стоит у Вас, на котором Вы работаете?

Катенёв Валентин Львович's picture
Offline
Last seen: 7 years 5 months ago
Joined: 22.03.2008 - 22:15
Posts: 54876

Алексардр Придченко wrote:

Нет, петрификаты во внутригрудных л/узлах (можно увидеть в данном случае только на КТ).

Давненько я не слышал этот термин - "петрификаты"...