You are here

Здравствуй ...."пневмоторакс" ?

Пол пациента: 
Тип патологии: 
Методы исследования: 

Молодой человек уже в четвертый раз поступает к нам "почти без жалоб" по поводу "спонтанного пневмоторакса". Вот, и в этот раз, после работы " с дрелью" почувствовал, что что-то "кольнуло". "Предыдущий пневмоторакс" наступил по время рвоты. А перед этим - после прыжка с табурета. Какие мнения будут уважаемые коллеги?


50.Zdravstvuy..JPG
50.Zdravstvuy..JPG
51_Zdravstvuy..JPG
51_Zdravstvuy..JPG
52.Zdravstvuy..JPG
52.Zdravstvuy..JPG

 

 

 

 

 

 

 

 

 

 

 

 

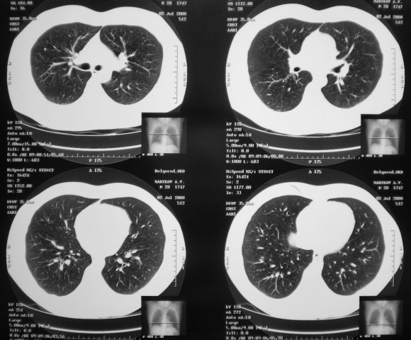
Итак, произвели КТ.


1.KT_..jpg
1.KT_..jpg
2.KT_.JPG
2.KT_.JPG

 

 

 

 

 

 

 

 

 

 

 

 


3.KT_.JPG
3.KT_.JPG
4.KT_.JPG
4.KT_.JPG

 

 

 

 

 

 

 

 

 

 

 

 


5.KT_.JPG
5.KT_.JPG
6.KT_.JPG
6.KT_.JPG
AttachmentSize
Image icon 50.Zdravstvuy..JPG68.61 KB
Image icon 51_Zdravstvuy..JPG66.23 KB
Image icon 52.Zdravstvuy..JPG81.12 KB
Image icon 1.KT_..jpg134.79 KB
Image icon 2.KT_.JPG130.95 KB
Image icon 3.KT_.JPG110.86 KB
Image icon 4.KT_.JPG110.68 KB
Image icon 5.KT_.JPG104.95 KB
Image icon 6.KT_.JPG106.34 KB
Anny's picture
Offline
Last seen: 11 years 9 months ago
Joined: 18.09.2009 - 15:59
Posts: 45

Справа пневмоторакс, а слева? Нет ли левого бокового снимка?

Катенёв Валентин Львович's picture
Offline
Last seen: 7 years 3 months ago
Joined: 22.03.2008 - 22:15
Posts: 54876

Нет "левого бокового снимка" не делали. Пациента поставил сначала "за экран", посмотрел, увидел правосторонний пневмоторакс и сказал лаборанту, чтобы он произвел "прямую" и "правую боковую".

Не лишним, считаю заметить, что все предыдущие пневмотораксы также были "правосторонними".

Anny's picture
Offline
Last seen: 11 years 9 months ago
Joined: 18.09.2009 - 15:59
Posts: 45

Может быть когда легкое расправят, тогда будет видна причина.

Катенёв Валентин Львович's picture
Offline
Last seen: 7 years 3 months ago
Joined: 22.03.2008 - 22:15
Posts: 54876

Его (лёгкое) расправляли уже не единыжды, вот, и в очередной раз расправили (на следующий день). Мне, лично причина не видна. А Вам?

ИзображениеИзображение

Ola-la's picture
Offline
Last seen: 1 year 2 weeks ago
Joined: 06.12.2008 - 09:33
Posts: 1786

Надо направить на КТ, там причину найдут)))) Скорее всего, парасептальная эмфизема, встречающаяся у молодых людей и проявляющаяся повторными пневмотораксами.

Dr.Mario's picture
Offline
Last seen: 11 years 3 months ago
Joined: 06.08.2008 - 08:44
Posts: 920

Порекомендуйте пациенту выполнить КТ грудной полости, у него может оказаться панлобулярная или парасептальная эмфизема, которую не снимках не увидишь. КТ покажет наличие булл.

Let me see...

radiographia.ru

Катенёв Валентин Львович's picture
Offline
Last seen: 7 years 3 months ago
Joined: 22.03.2008 - 22:15
Posts: 54876

Спасибо Льга за совет.

Мы с коллегами, точно также подумали, и расписав все в напралении подробно ...направили...на КТ.

 

Катенёв Валентин Львович's picture
Offline
Last seen: 7 years 3 months ago
Joined: 22.03.2008 - 22:15
Posts: 54876

Изображения КТ добавлены.

Dr.Mario's picture
Offline
Last seen: 11 years 3 months ago
Joined: 06.08.2008 - 08:44
Posts: 920


Очень плохо что не сделали контрастирование, очень очень плохо. Добавьте пожалуйста пару каудальных срезов, хочется посмотреть соотношение данного гиподенсного образования с диафрагмой и печенью. 

Let me see...

radiographia.ru

Катенёв Валентин Львович's picture
Offline
Last seen: 7 years 3 months ago
Joined: 22.03.2008 - 22:15
Posts: 54876

Dr.Mario: "Очень плохо что не сделали контрастирование, очень очень плохо. Добавьте пожалуйста пару каудальных срезов, хочется посмотреть соотношение данного гиподенсного образования с диафрагмой и печенью." 

Все очень плохо.

Написали "высокие КТ-шники" из области целомическую кисту перикарта. "Распилили" с середины грудной клетки до диафрагмы... и справились. Добавить нечего (в плане срезов), срезы выставлены все, больше нет - не сделали, не посчитали нужным.

И отправили со всем этим пациента опять к нам в "глубочайшую периферию"... с целомической кистой перикарда. А может они считают, что "целомическая киста перикарда" является пусковым моментом для "пневмотораксов?

Это не я, Марио, такой вредный и гнусный (по поводу КТ), это моя следовая реакция по поводу таких исследований, а они в большинстве случаев (моя статистика) именно такие. 

Dr.Mario's picture
Offline
Last seen: 11 years 3 months ago
Joined: 06.08.2008 - 08:44
Posts: 920

Да я уже понял... Очень жалко что таким классным методом, так плохо владеют... Но согласитесь; КТ не виновато, что на нём некоторые не умеют работать.

Let me see...

radiographia.ru

Катенёв Валентин Львович's picture
Offline
Last seen: 7 years 3 months ago
Joined: 22.03.2008 - 22:15
Posts: 54876

Вот, вот, и я о том-же.

Но, мы практические рентгенологи, имеем именно такой итог, и вынуждены и будем получать "максимальное" из того, "чем владеем"  и  "на чём работаем".

Dr.Mario's picture
Offline
Last seen: 11 years 3 months ago
Joined: 06.08.2008 - 08:44
Posts: 920

Согласен, по другому в ваших условиях не получается. Надеюсь что ситуация всё таки изменится со временем. Так как лучевая диагностика идёт вперёд, и двигается она очень быстро. Многие современные протоколы лечения в хирургии, онкологии и пр. опираются уже исключительно на данные КТ и МРТ, и надо стремится этому соответствовать.

Let me see...

radiographia.ru

v1tal's picture
Offline
Last seen: 4 years 12 months ago
Joined: 07.06.2008 - 19:41
Posts: 1779

Dr.Mario wrote:

Согласен, по другому в ваших условиях не получается. Надеюсь что ситуация всё таки изменится со временем. Так как лучевая диагностика идёт вперёд, и двигается она очень быстро. Многие современные протоколы лечения в хирургии, онкологии и пр. опираются уже исключительно на данные КТ и МРТ, и надо стремится этому соответствовать.

 

 Пока специализация по  МСКТ и МРТ будет всего длиться 1 месяц, а это стандарт, всё всегда так будет, если правда  некоторым больше повезет в плане подспорья -более опытные коллеги, так это ещё куда ни шло.

"Знаешь, у некоторых врачей есть комплекс мессии — им необходимо спасать мир. А у тебя комплекс Рубика — тебе необходимо решать головоломки."

Nela's picture
Offline
Last seen: 6 years 3 months ago
Joined: 12.05.2009 - 20:43
Posts: 1847

Что Вы, я была бы счатлива месяц проучиться по МСКТ!

Катенёв Валентин Львович's picture
Offline
Last seen: 7 years 3 months ago
Joined: 22.03.2008 - 22:15
Posts: 54876

Так в чем-же "тормоз" коллега Nela?

Nela's picture
Offline
Last seen: 6 years 3 months ago
Joined: 12.05.2009 - 20:43
Posts: 1847

Что-то никто не посылает. Надеюсь в начале следующего года проучиться на выездном цикле по общей рентгенологии, нужен сертификат.  Вряд ли после этого куда-нибудь пошлют. Спонсоры может быть, но это всего на неделю. Хотя тоже неплохо, но мало.

Катенёв Валентин Львович's picture
Offline
Last seen: 7 years 3 months ago
Joined: 22.03.2008 - 22:15
Posts: 54876

Nela: "Вряд ли после этого куда-нибудь пошлют. Спонсоры может быть, но это всего на неделю. Хотя тоже неплохо, но мало."

 

Значит надо искать более "толстых и богатых спонсоров".

Nela's picture
Offline
Last seen: 6 years 3 months ago
Joined: 12.05.2009 - 20:43
Posts: 1847

Да где же их найти бедному рядовому, уже немолодому рентгенологу из провинции!

Катенёв Валентин Львович's picture
Offline
Last seen: 7 years 3 months ago
Joined: 22.03.2008 - 22:15
Posts: 54876

Очень просто. Надо обнаружить у него в лёгких "круглую тень", которая нуждается в "наблюдении", чтобы стала понятна "необходимость и нужность" динамического наблюдения.

Можно аналогичное "обнаружить в мозгах".

v1tal's picture
Offline
Last seen: 4 years 12 months ago
Joined: 07.06.2008 - 19:41
Posts: 1779

Уважаемая Nela, а у Вас учёба для врачей не планируется на каждый год? Или допустим поездка на конференции?

"Знаешь, у некоторых врачей есть комплекс мессии — им необходимо спасать мир. А у тебя комплекс Рубика — тебе необходимо решать головоломки."

Nela's picture
Offline
Last seen: 6 years 3 months ago
Joined: 12.05.2009 - 20:43
Posts: 1847

На конференции за свой счет, пожалуйста. Учеба раз в 5 лет. В новом году обещают оплатить 50% выездного цикла по общей рентгенологии. 

Катенёв Валентин Львович's picture
Offline
Last seen: 7 years 3 months ago
Joined: 22.03.2008 - 22:15
Posts: 54876

Уважаемый v1tal !

Во многих регионах РФ, сертификационный цикл (1 раз в 5 лет) давно уже оплачивается самими врачами, желающими "продлить" сертификат, но отнюдь не ЛПУ. Такое положение, уже давно наблюдается в крупных областных центрах.

 

v1tal's picture
Offline
Last seen: 4 years 12 months ago
Joined: 07.06.2008 - 19:41
Posts: 1779

Катенёв Валентин Львович wrote:

Уважаемый v1tal !

Во многих регионах РФ, сертификационный цикл (1 раз в 5 лет) давно уже оплачивается самими врачами, желающими "продлить" сертификат, но отнюдь не ЛПУ. Такое положение, уже давно наблюдается в крупных областных центрах.

 

 

Да, Валентин Львович, как не печально, я об наслышан,  могу сказать только одно у нас в учреждение пока оплачивается сертификационные циклы, правда с "боями", кто его знает может мы тоже дойдём до "крайней меры".

"Знаешь, у некоторых врачей есть комплекс мессии — им необходимо спасать мир. А у тебя комплекс Рубика — тебе необходимо решать головоломки."

Ермолаев's picture
Offline
Last seen: 9 years 3 weeks ago
Joined: 07.02.2009 - 16:33
Posts: 670

Вот, уважаемые коллеги, мы снова столкнулись с парамедицинскими проблемами в лучевой диагностике. Пример - мой собственный опыт. Посмотрев и читая посты уважаемого доктора Марио по возможностям КТ(МРТ) диагностики и исчерпав доступные мне методы диагностики (Рентген и УЗИ) рекомендую пацинтам госпиталя с целью дифдиагностики провести КТ(МРТ) того или иного органа или системы. Заключения по проведенным исследованиям специалистов КТ (МРТ) г. Нижнего Новгорода (а в городе 4 МРТ и 5-6 КТ два из которых 32 и 64 спиральные МСКТ) ставят больше вопросов, чем ответов. Или снова порекомендуют провести рентгенографию поясничного отдела позвоночника, УЗИ печени, почек и т.д. Никого не хочу обидеть, но в данной ситуации "компьютер в руках дикаря - всего лишь кусок железа". Это к вопросу подготовки специалистов лучевой диагностики. 4 месяца первички по УЗИ и доктор заявляет, что он будет смотреть плод. Лично я и после 15 лет работы в УЗД не готов проводить УЗИ плода беременным женщинам. То же и со специалистами КТ и МРТ. 4 месяца первички крайне мало! Без знаний анатомии, основ лучевой диагностики (традиционная рентгенология), основ скиалогии и т.д. (что неоднократно обсуждалось на сайте) работать сразу в УЗ, КТ и МРТ диагностике не представляется возможным. Это мое, сугубо личное мнение.

dok

Катенёв Валентин Львович's picture
Offline
Last seen: 7 years 3 months ago
Joined: 22.03.2008 - 22:15
Posts: 54876

Уважаемый v1tal !

Да, мы весьма часто слышим правильные речи "зефирно-мармеладного" характера, но на поверку, на местах, мы видим всё с точностью "до наоборот". И по всей видимости, настало время "личной ответственности" руководителей ЛПУ за укомплектованность штатом, рациональное использование штата, уровень подготовленности штата и т.д. и т.п.

Катенёв Валентин Львович's picture
Offline
Last seen: 7 years 3 months ago
Joined: 22.03.2008 - 22:15
Posts: 54876

Уважаемый Владимир Васильевич!

Полностью согласен с Вами. Сей феномен встречается весьма часто. Да "от КТ" зачастую пациенты возвращаются еще с большими вопросами, чем представляемыми ответами. НО ВОТ ИНТЕРЕСНАЯ АНАЛОГИЯ.

Но меня весьма возмутил другой феномен. Не обижайтесь, воспринимайте с иронией, Вы всегда будете и останетесь военным врачом и офицером.

Но вот о феномене. Ликвидировали ВОЕННЫХ врачей. Наверно решили съекономить, чтобы не платить "за звездочки". Может и правильно? Но если-бы "не поставили в войска" батюшек всех видов вероисповеданий!!!   Слов нет. Интересно "батюшки" будут в каких званиях? Ну если закончили семинарию, то по всей видимости офицеры?

Огромный прогресс вижу в действиях "лейтенанта запаса" Министра Обороны Анатолия Сердюкова. По всей видимости, скоро возникнет вопрос о согдании "Военно-духовной семинарии"?  Во дела...